拇外翻是一种复杂的三维畸形,治疗极具挑战性。除拇外翻畸形之外,患者还会伴有其他的问题,跖痛症是拇外翻晚期患者的常见并发症。跖痛症是指在行走过程中,由于局部的应力增加,拇趾毗邻的第2或第3跖骨头下(足底侧)疼痛以及局部胼胝体形成,严重影响患者的行走。因此,在治疗拇外翻时,应全面评估患足的病理改变,制定个体化的治疗方案。
(一)什么原因导致跖痛症?
引起跖痛症的原因很多,这里仅聚焦拇外翻引起的转移性跖痛症。正常足部的负重点主要在第1、第5跖骨头以及跟骨,其他的部位受力较少。近年来随着足部解剖及生物力学研究的深入,拇外翻引起的前足横弓塌陷逐渐被越来越多的医生所认识,最终会造成第2或第3跖骨头降低,局部应力增加,导致转移性跖痛症。因此,拇外翻的治疗中应注意恢复足底的正常生物力学,重建足弓,改善足底的应力分布。

正常足部的横弓和纵弓。红色线所示为前足横弓(ab线段),凹侧向足底,凸侧向足背,蓝色线为纵弓。拇外翻常导致前足横弓塌陷。

前足横断面示意图:上图为正常足部的横弓,下图为拇外翻患者的横弓,横弓塌陷导致第2和第3跖骨头下降,局部的应力增加,引起跖痛症。

拇外翻合并跖痛症患者足底侧外观,可见第2跖骨头下胼胝体(老茧)形成(红色箭头)。足印图示第2跖骨头下局部的应力增加。
(二)保守疗法能治愈跖痛症吗?
保守治疗的方法包括:
▶穿戴足横弓垫分散对疼痛部位的应力;
▶使用跖痛垫缓解疼痛;
▶通过理疗缓解症状。
保守治疗能暂时缓解疼痛症状,要想根治跖痛症还是需要手术治疗。

左图为横弓垫,右图为跖痛垫
(三)跖痛症手术适应证包括哪些情况?
▶拇外翻导致的转移性跖痛症;
▶跖趾关节背侧脱位;
▶跖趾关节内、外翻畸形;
▶交叉趾畸形。
(四)跖痛症的手术治疗
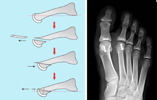
手术治疗的方法有很多种,目的是短缩并抬高跖骨,使之承受的应力降低,从而达到缓解疼痛的目的。

左图为跖痛症矫形手术示意图,通过截骨将跖骨短缩同时抬高跖骨头,红色虚线为水平线,矫形后跖骨头抬高约3mm。右图示跖骨截骨内固定术后X光片。