腹膜后血管平滑肌脂肪瘤

史宪杰医生 发布于2025-09-26 14:48 阅读量226

本文由史宪杰原创

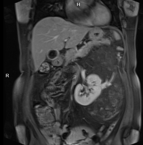
图片发自160App



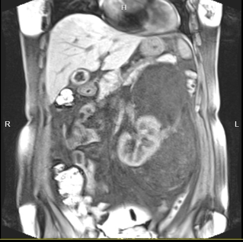
图片发自160App

腹膜后血管平滑肌脂肪瘤的基本概述

腹膜后血管平滑肌脂肪瘤是一种较为少见的良性肿瘤,它主要由平滑肌、血管及成熟型脂肪细胞这三种组织学成分构成。该肿瘤可发生在0~77岁的任何年龄,且无明显性别差异。

腹膜后血管平滑肌脂肪瘤的临床表现

- 早期症状:在肿瘤体积较小时,通常无明显症状,大多是在进行体检时被发现。

- 后期症状:当脂肪瘤生长速度过快,体积长到一定大小的时候,有可能会压迫邻近的组织,导致局部的血液回流受到阻碍,此时患者可能会出现腹部肿块、腹部不适、腹胀等症状,部分患者还会出现腹痛。

腹膜后血管平滑肌脂肪瘤的诊断检查

|检查项目|作用|发现率/表现|

消化道钡餐和钡剂灌肠|排除消化道肿瘤,当瘤体足够大时,可发现胃肠道的移位或扭曲|发现率在50%以下|

|静脉肾盂造影和逆行肾盂造影|多数有肾盂、输尿管、膀胱移位、受压|发现率为66%|

|B超|明确肿瘤部位、大小、数目,以及与周围脏器的关系,了解肿瘤是实性或囊性|发现率为80%|

|CT|准确性高于B超,对肿瘤的定位、大小、范围、与邻近脏器的关系显示更为直观和清楚,增强扫描可以显示肿瘤和周围血管的关系,肿瘤内出现脂肪密度为其特征|发现率89%|

|磁共振|在发现肿瘤范围及其与周围组织和血管的关系时,优于CT||

|选择性动脉造影|因肿瘤成分之一是血管,通过肝动脉造影可显示肿瘤血管从而作出诊断||



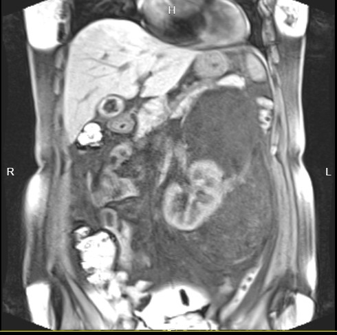
图片发自160App


腹膜后血管平滑肌脂肪瘤的治疗方法

- 手术切除:手术切除是治疗腹膜后血管平滑肌脂肪瘤的主要方法。对于较小的肿瘤,可以通过微创手术切除;对于较大的肿瘤,可能需要进行开放性手术。手术的目标是完整地切除肿瘤。

- 密切观察:如果肿瘤较小且无症状,也可以选择密切观察,定期进行影像学检查,监测肿瘤的变化情况。

腹膜后血管平滑肌脂肪瘤的注意事项

患者在治疗后应定期进行复查,通过影像学检查如CT扫描或MRI等,监测肿瘤是否复发。同时,保持良好的生活习惯,如合理饮食、适度运动等,有助于提高身体免疫力,促进身体恢复。需要注意的是,科普问答内容不能作为疾病治疗依据,如有不适请前往正规医院就诊。

相关疾病: