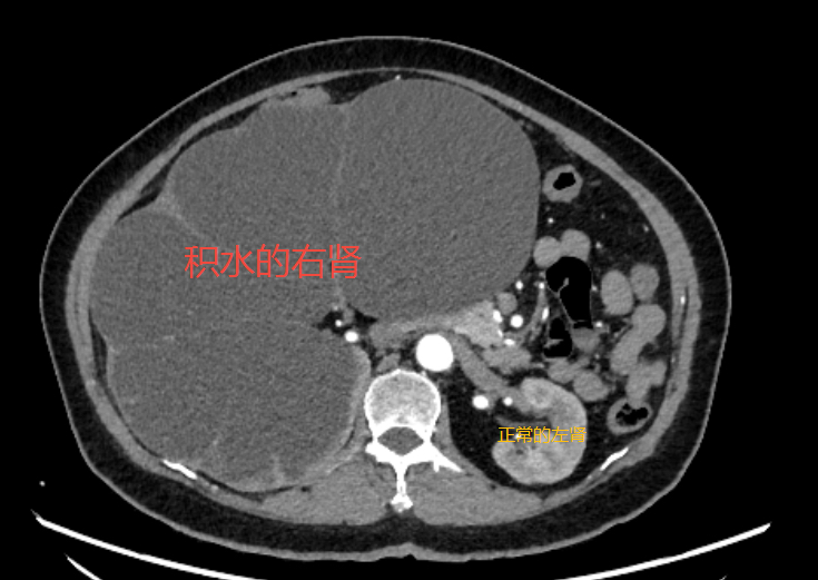
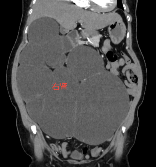
春节回家,长年在深圳打拼的小李(化名)看到自己60岁的老母亲比以往胖了不少,尤其是肚子,胖了两圈还不止,说是“怀胎十月”都不为过,可老人家说并没有感到不舒服,偶尔有点腰酸腰胀,忍一忍也就过去了。小李听后不放心,过完春节便马上带母亲来到大医院检查,结果发现老母亲的肚子居然是被右肾给填满了,此时的右肾已经像气球一样被吹到了将近40cm,并且里面充满尿液,功能也已丧失,而罪魁祸首竟是一颗“潜伏”在输尿管内的仅有0.8cm的结石。这颗从未引发疼痛的结石,像一道闸门,让她的肾脏在不知不觉中被积水“淹没”。

一、沉默的结石,为何能“杀肾于无形”?
输尿管结石的隐匿性源于人体的代偿机制,少部分患者可能仅表现为轻微腰酸或偶发尿频等症状,这些信号极易被误认为疲劳或亚健康状态。更危险的是,当结石引发慢性梗阻时,肾脏的耐受力远低于我们的想象,在积水形成的早期,及时解除梗阻后肾功能可完全恢复,但到了中期,部分损伤就不可逆了,而到了晚期,即使手术取出结石,肾功能也难以挽回。
小李母亲的影像结果显示,她的右肾皮质已薄如纸片,且无血流信号——这正是肾脏“死亡”的表现。

二、拯救肾脏:抓住三个时间窗口
筛查窗口、干预窗口、挽救窗口
随着医疗技术的进步,结石治疗已进入“精准微创时代”,不同的时间窗口都有对应的治疗手段,但是再先进的技术,也追不回被耽误的挽救时机。
肖医生说:泌尿系结石的破坏力与其大小不成正比,与其症状更不成正比,一定要警惕结石的无声侵袭,有时候结石疼痛自行缓解可能是更大危机的开始!一颗沉默的结石,足以在两年内摧毁一颗肾脏,定期体检和及时干预,才是守护健康的最好方式。