
当人类缩小到只剩下1/10后
会发生什么?

1米8的大高个
变成了5.4寸手机的高度
曾经的宠物可能会变成天敌
脑细胞急剧减少会导致智商下降
.....
种种问题开始逐渐暴露
同样
当我们的“心门”大小
也变成原有的1/10时
身体也会出现一系列问题

图片来源于:soogif
“心门”大小仅剩1/10
心脏随时快要崩溃
赵老伯(化名)今年78岁。近几年来,他感到反复胸闷。最近半年,症状不仅没有得到缓解,反而愈加严重。
来到中国医学科学院阜外医院深圳医院心外科,不查不知道,一查吓一跳!赵伯的病情可真不简单......
检查结果显示TYPE0型二叶式主动脉瓣重度狭窄伴重度钙化、二尖瓣中度反流、三尖瓣轻度反流、左房压高、肺动脉高压、左室收缩功能减退。
原来,赵老伯有冠心病,十年前已经放过支架,现在再次发现重度狭窄,病情不断加重,急性心衰再入院,目前药物治疗的效果不明显,只能通过手术治疗。

如果把人的心脏比喻成一个房子,主动脉瓣就是位于心脏最中心的一扇“大门”,是血液离开心脏,供给全身其他器官的唯一“门户”。
正常情况下,血液从心脏出发,门打开,血液通过后,门关闭。一开一闭,如此良性循环。
而主动脉瓣狭窄,就相当于这扇门生锈卡住了,不能完全敞开。想想,如果门内都是人,都想往外挤,是不是迟早把这扇门直接挤崩了?

图片来源于:soogif
快挤挤挤挤挤爆了!
心脏也是一个道理,血液出不去,久而久之心脏的负担就越来越大。而且赵老伯还属于重度狭窄!他的主动脉瓣膜口只有约0.3cm²,而正常人应该是3—4cm²。
也就是说,赵老伯的“心门”就只剩常人的1/10大小了!
这得多窄?你品,你细品!
在如此高压的“工作”环境下,心脏随时可能会因为不堪重负而停跳猝死。
多学科保驾护航
彰显不俗团队实力
宋会军
阜外医院深圳医院
结构性心脏病中心副主任
人体的主动脉瓣就像是心脏的一道“门”,随着年龄增长,长期不停运转会导致这扇“门”老化变窄。
主动脉瓣狭窄的早期症状不明显,一旦出现胸痛、乏力、昏厥等临床症状,未经治疗或长时间通过内科保守治疗后仍旧效果欠佳的话,患者预后极差。

相比较欧美患者,中国主动脉瓣膜狭窄患者的二叶瓣畸形比例很高,这类患者通常表现出钙化重、不对称、角度大且合并升主动脉疾病等特点,手术难度很大,因此团队的配合至关重要。
术前会诊
术前,我院多次组织心外科、心内科、手术室、麻醉科、体外循环科、术后恢复室、超声科等学科会诊讨论,确定了多种术中出现意外情况时的应急预案。
最后确定,先由我院心内科用药物球囊处理病变部位,一个月后再由ECMO保驾,房间隔穿刺引流左房降压下实施TAVR手术。
极危重、高龄成治疗难题
TAVR手术助“心”生

4月19日,中国医学科学院阜外医院结构性心脏病中心主任潘湘斌教授带领麻醉、体外循环、超声、血管科团队,首次应用VenusA自膨式瓣膜,为赵老伯进行经导管主动脉瓣置入术,将“心门”修复。
术后第二天,赵老伯的胸闷、气喘、心衰症状明显好转。
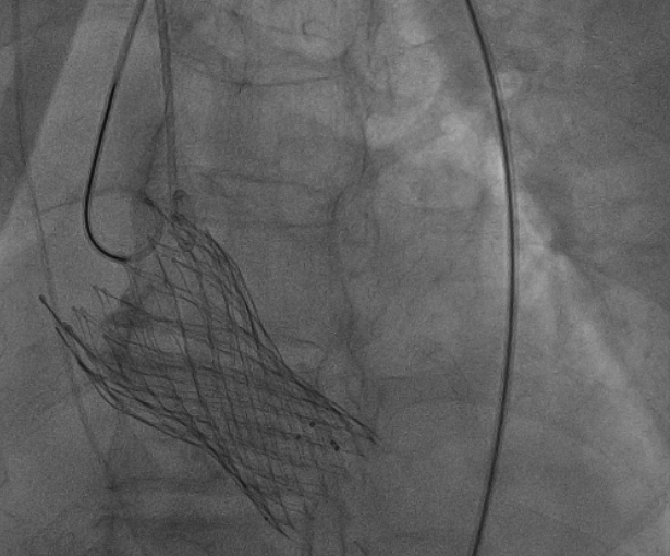
瓣膜释放



▲瓣膜最终形态
TAVR:创伤小、恢复快,无需开胸
“传统的主动脉瓣置换术需要在全麻下进行开胸、剖心、体外循环、瓣膜置换等,术后恢复时间长,同时还面临感染和多并发症等风险。
考虑到患者年龄较大,并发症多且复杂,心功能差,身形瘦小,无法耐受常规的开胸手术,经过术前综合评估,我们建议患者实施经导管主动脉瓣置换术(TAVR),通过介入的方式,将组装好的主动脉瓣经导管置入体内,完成主动脉瓣的置换。
与传统的开胸换瓣手术相比,经导管主动脉瓣置换术(TAVR)具有创伤小、风险低、术后恢复快、并发症较少等优势。部分患者甚至在术后第二天就能下地活动。”
——潘湘斌教授

该手术在深圳开展已有2年多的时间,临床应用逐渐广泛。该例患者的成功治疗,展现了我院团队的合作精神,显示出我院TAVR团队实力,为广大高龄高危主动脉瓣狭窄患者带来了福音。

部分图片来源:网络、soogif