在了解龋齿的各阶段之前,让我们先了解牙齿的基本结构以及龋齿究竟是什么,这将有助于理解牙齿龋坏发展的过程,以及将来为什么会产生其他的并发症。
牙齿的基本结构,我们的牙齿分为:牙冠:牙齿在牙龈上面的部分。牙根:牙齿隐藏在牙龈里面的部分,从内到外又可以分为:牙髓:牙齿最里面的部分,由血管、神经组成。牙本质:围绕牙髓外的一层牙体组织。牙釉质:覆盖冠部牙本质外的一层坚硬的牙体组织。牙骨质:覆盖根部牙本质外的一层坚硬的牙体组织。
什么是龋齿?
龋齿是牙体硬组织发生的慢性、进行性破坏的一种疾病,我们通常称作“蛀牙”,随着牙齿龋坏的不断深入和扩大,感染会逐渐扩散到牙髓,甚至牙齿的根尖部。
致龋的两个主要因素:饮食中过多的糖,很差的口腔卫生状况,进食后,食物残渣附着在牙齿表面,如果不及时清理干净,口腔内的细菌将把这些残渣中的糖分转化成酸,这种酸将会破坏我们的牙齿结构。
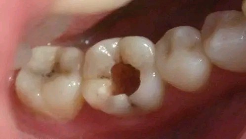
龋齿从开始一直波及根尖部,将经历哪些阶段?
龋齿发展有五个重要的阶段,其典型的特征如下:
第一阶段:牙釉质脱矿
龋齿的第一阶段表现为牙齿表面出现的淡黄色或者白色斑块,这些斑块是因为牙齿脱矿造成的;牙齿还没有出现大的缺损。这个阶段的龋坏通过相应的治疗是可以恢复的。这个阶段的龋坏可以被局部氟化物的应用以及唾液中的某些矿物质所挽救。龋齿的最初阶段相对比较容易治疗。
第二阶段:牙釉质龋
在这个阶段,牙釉质内部开始被破坏;如果龋坏持续,牙齿的完整性将会被破坏,这种损伤是不可逆转的。在这个阶段,需要找牙医清理牙齿龋坏的部分,并充填牙科修复材料恢复牙齿外形。
第三阶段:牙本质龋
在这个阶段,牙齿龋坏部分超越牙釉质进入牙本质;这个阶段,牙医依然可以通过补牙来恢复龋坏的牙齿。从这个阶段开始,疼痛将随着龋坏的进展而逐渐加重。任何牙齿的疼痛都应该及时关注以便在病程早期得到治疗。
第四阶段:牙髓感染
在细菌的作用下感染波及牙髓;牙髓腔里脓液形成,导致牙齿神经血管坏死,在这个阶段,根管治疗是唯一可行的办法。
第五阶段:脓肿形成
感染到达牙齿根尖部;牙根周围的骨质也被感染,导致严重的疼痛;在感染侧的牙龈甚至是脸颊会出现明显的肿胀;牙医会开抗生素药物以及止痛药。这个阶段医生会对患牙进行根管治疗或者拔除该牙齿。



事实上我们可以轻松地预防蛀牙。发现龋齿的早期症状,早期进行治疗很重要,因为在龋齿的后期,牙齿的损伤是不可逆转的。龋齿的这些阶段都很容易被观察到,我们需要做的就是保持口腔卫生以及定期的口腔检查。