对于乳牙列到替牙前期的孩子,可能会用到硅胶牙套,正如我说每种牙套的制作的方法,是不一样的。
最简单的一种,是不管这人是白种人还是黄种人,都拿一个标准的模型,来做出这样的牙套来,一个标准的牙齿的位置,标准的咬合关系,这是一个典型的预成。就像我穿衣服一样,给我来一个均码的衣服,这个衣服只不过是弹性大,什么人都可以穿。

那还有一种稍微做了一些改变,按照牙弓的宽度做一些挑选,无非就是把样本多增加了几个号,但是这些号我觉得还不够个性化。
因为真正决定着颌骨的发育,可不是单纯的宽度和长度,它至少是需要四个数据,上牙的转矩的角度、覆合覆盖的关系、后部的咬合平面、还有牙弓的宽度,满足这些要素才能真正的称之为三维个性化设计硅胶牙套。

那我们目前使用的Grace个性化矫治器,可以根据孩子的骨骼生长型,来决定后牙的垂直高度,根据孩子的面型来决定他的宽度,根据孩子的嘴型来决定转矩的位置和前牙覆合覆盖的关系,引导骨骼和牙齿的生长。

尤其是当孩子牙凸下巴后缩的情况,过度倾斜的上颌前牙容易收到外伤,继发上颌骨发育异常,佩戴轨道式Grace矫治器,可有效引导恒牙萌出,配合唇肌训练,矫治器和唇肌的力量内收上颌前牙,对新萌出的恒牙较为安全,孩子牙齿不会疼。
下颌后缩,对于低角患者,使用功能矫治器导下颌向前,使颞下颌关节、面部肌肉适应并形成记忆位,对于部分孩子效果会很明显。
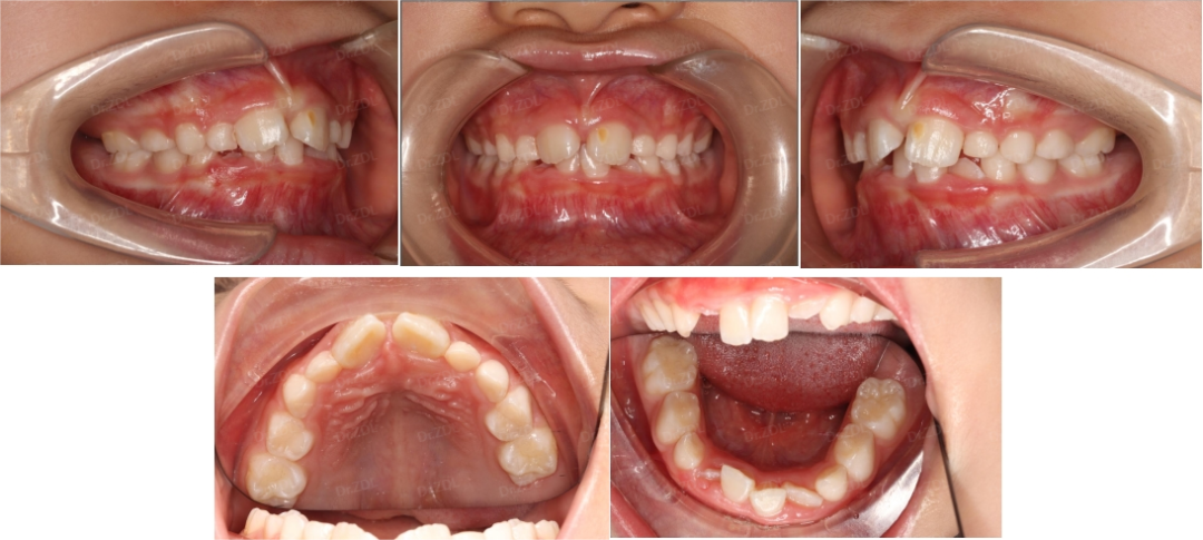
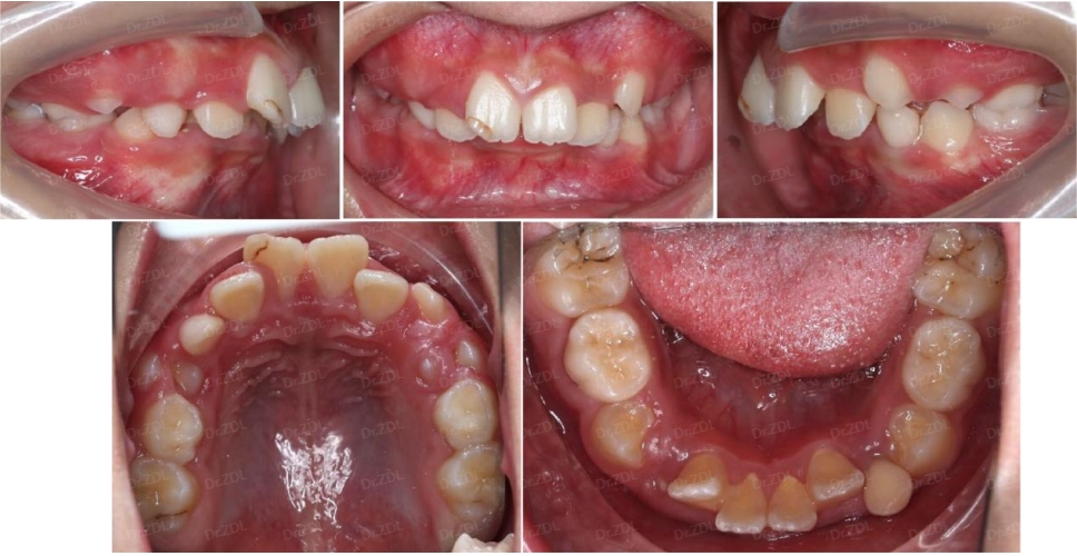
Grace硅胶牙套案例1:
像这位8岁小朋友主诉门牙有缝、牙不齐、嘴凸,家长也比较重视孩子的口腔健康和颌面发育问题。根据牙片资料和口内检查发现,孩子恒牙胚数量无缺失,牙根发育正常,骨性I类,均角面型,生长方向正常,上前牙唇倾不齐,上颌稍前突,下颌稍后缩。


根据孩子牙齿情况,采用Grace轨道式硅胶矫治器,恢复上下颌正常牙弓宽度,匹配上下颌牙弓形态,引导上下恒牙正常萌出,引导下颌前伸,并日常辅助唇肌功能训练。
Grace佩戴6个月,上颌中切牙间隙完全关闭,牙弓形态调整良好,下前牙萌出排齐良好。


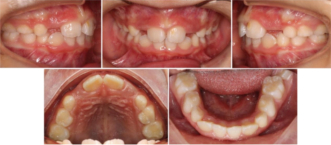
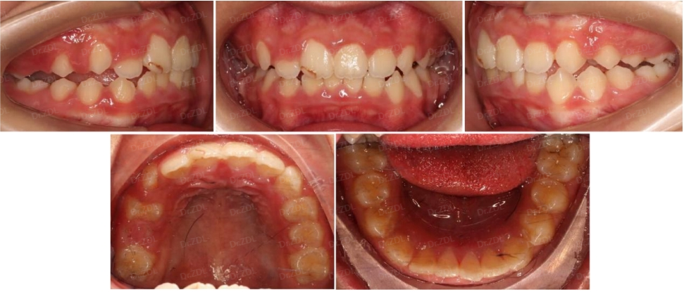
Grace硅胶牙套案例2:
这位6岁小朋友,主诉牙凸,临床检查看上前牙III度深覆合深覆盖,上颌牙弓狭窄,牙齿存在散在间隙。


早期矫正方案利用好孩子替牙期的生长发育潜力,结合孩子的牙齿情况和面型情况,制作Grace个性化定制硅胶牙套佩戴。
佩戴 Grace12 个月,上下颌牙弓形态恢复正常,牙齿排齐良好,上前牙角度恢复良好,前牙咬合打开良好,前牙正常覆合覆盖。


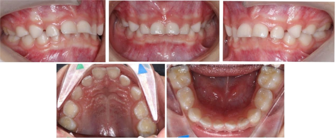
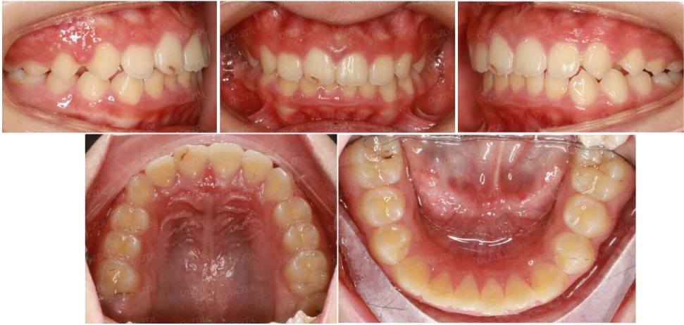
Grace硅胶牙套案例3:
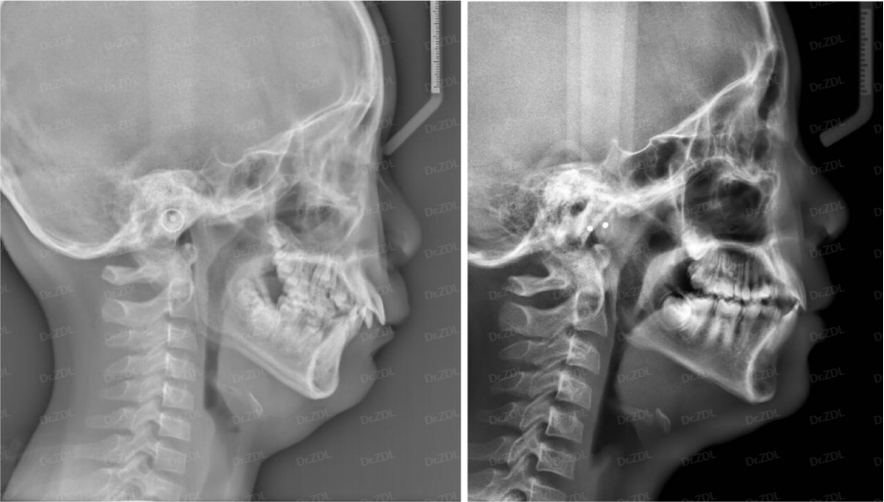
这位小朋友,主诉牙凸、牙不齐、没下巴,临床检查看上前牙III度深覆合深覆盖,骨性II类倾向,上颌牙弓狭窄,鼻唇角偏大、颏唇沟比较深。


根据孩子牙齿情况,采用Grace轨道式硅胶矫治器,恢复上下颌正常牙弓宽度,匹配上下颌牙弓形态,引导上下恒牙正常萌出,引导下颌前伸,并日常辅助唇肌功能训练。
佩戴 Grace10 个月,上下颌牙齿排齐良好,咬合打开良好,深覆合深覆盖得到改善,侧貌形态良好。


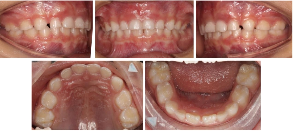
佩戴 Grace24 个月,上颌内收,下颌前伸,上下颌乳牙完全替换完成,牙弓形态正常,牙齿排齐良好,前牙正常覆合覆盖。



因此在早期矫治中,需要密切观察患者的生长发育趋势,利用生长潜力,有效治疗或者缓解错颌畸形的严重程度。孩子如果矫治意愿强烈,配合度高,也是早期矫治成功的重要条件。