闭锁性深覆合一般是上前牙舌倾,上下前牙紧密贴在一起,完全没有覆盖的深覆合,专业上也称之为骨性II类二分类。
表现为上前牙舌倾、上颌骨位置正常、下颌位置后缩、深覆合、正常覆盖、露龈笑,一般认为II类二分类下颌骨发育正常,不属于真正的骨性II 类,由于上前牙舌倾压迫下前牙后退,导致下颌骨处于后退的位置,呈现II类关系。

另外大家要了解的是,方形的上牙弓形态和上前牙舌倾也是下颌后退位置的关键诱因。

所以像这种闭锁性深覆合矫正,是上牙要垂直向压低,同时牙根要内收,下前牙也要垂直向压低,下颌就会脱离开锁结关系,自然就会往前移了。
那同时还有2个关键点,就是后牙要相应的升高,要不拔牙同时扩弓,帮助下颌从上颌的舌倾的覆盖中跳出来,下巴来前移,这是闭锁性深覆合下颌后缩的牙齿矫正的原理。

这位女士主诉牙不齐、咬合深,想要通过牙齿矫正改善牙齿问题和协调面型。
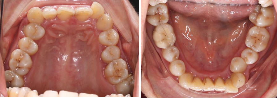
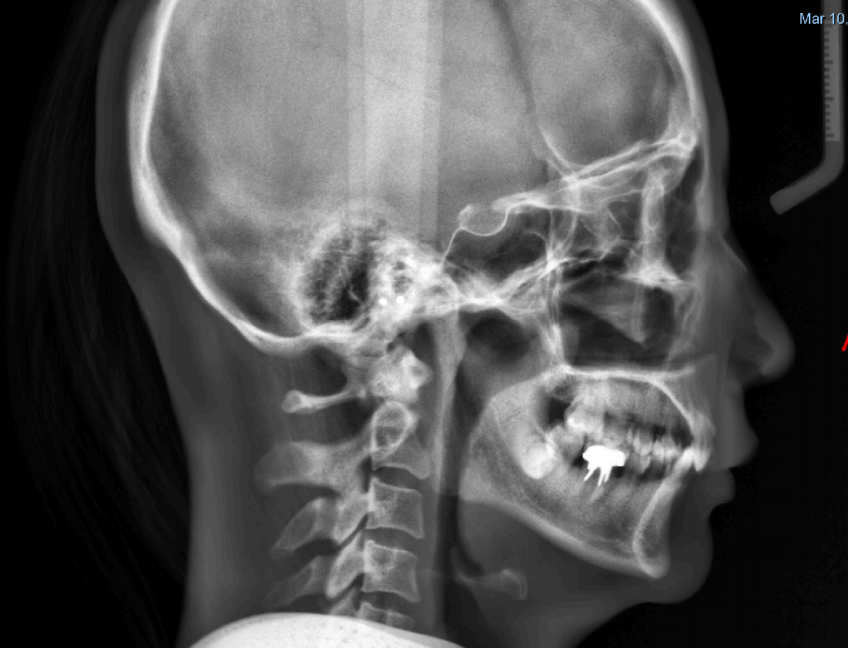
通过牙片资料可以看到女士是闭锁性深覆合,上牙几乎把下牙完全盖住,整个咬合关系并不是很理想,从侧貌看,她的下嘴唇相对靠后,下巴有点后缩,颏唇沟很深。

牙齿矫正的关键是:
(1)不拔牙矫治,远中直立后牙,增加后部垂直高度,上颌少量扩弓,协调上下牙弓形态匹配,通过获取的牙弓间隙,排齐前牙,控根调整恢复上前牙正常转矩,矢状向不做过多内收。


(2)升高后牙,压低下前牙,实现升高后牙的前提是上下后牙之间有空间。因此上II类牵引引导下颌向前(牵引力量要缓和,以利于关节的改建),创造出后牙的颌间距离,也有利于隐形牙套升高后牙,由于女士露牙龈程度不大,所以适量压低前牙即可。
(3)大部分II类二分类病例不需要种植支抗辅助远中直立,只用II类牵引也能很有效地维护前牙支抗。



整个牙齿矫正过程,女士配合良好,从牙齿、咬合、面型上看,都得到理想的变化,可以看到上下前牙排齐,牙弓形态对称,面型维持良好,兼顾了美观和健康。



每个人牙齿情况不同,深覆合的严重程度不同,所选择的打开咬合方式也会不同,需要正畸医生实际评估确定适合自己的正畸方案。