随着暑期的到来,我能感受到越来越多的家长带孩子来面诊,以及线上咨询关于孩子是否需要做矫正的问题,尤其以孩子换牙前做矫正还是等换完牙后做矫正的问题最多。
我知道网上的各种知识科普,让很多爸爸妈妈存在各种疑问,其实并非所有的牙齿问题,需要等到全部换完牙以后才能开始矫正。

对于一些牙齿咬合、不良习惯以及颌骨发育导致面型美观问题,早期矫正可以取得事半功倍的效果。反颌(地包天)是正畸中的一个“急诊”的问题,发现孩子出现反颌的问题就应该做矫正干预。
反颌如果不做会发生什么呢?大量的研究表明,反颌如果不做矫正干预,上颌骨发育不足不会变差,但也不会变好。

但是下颌骨问题不管的话,以前可能只是上颌发育不足,下颌并不凸,时间久了下颌自然就会越来越前凸,不前凸的也凸,凸的会变得更凸。
因此反颌一定是在5岁左右必须要去完成的,通常通过活动矫治器或者Grace个性化定制硅胶牙套,通常在3-6个月就可以有明显的变化。
2、严重的深覆合问题
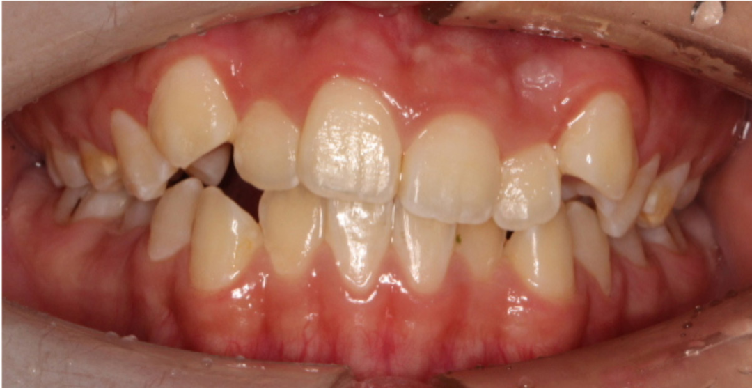
如果孩子闭锁性深覆合的问题,尤其是上前牙覆盖下前牙,甚至内扣盖住下前牙,如果孩子是高角或者是高角偏均角的话,这个就容易出现未来下颌骨发育的受限。
但如果发现是典型的低角,那么孩子颏部形态长得会比较好,只是因为下前牙唇倾会导致下巴被迫后退,当早期矫正改善下前牙位置后,孩子的下巴自然而然就会出来了。

其实这也是错颌畸形先天基因的表达和后天相关影响,这两个因素作斗争时谁会更强的结果吧。因此出现闭锁性深覆合,在5岁左右或者替牙期换完上下门牙时进行矫正,可以引导牙齿和颌骨的正常生长,还有机会改变骨骼生长型。在生长发育过程中,由于遗传因素、环境因素、口呼吸习惯等导致颌骨发育异常,会出现上颌前凸、下颌后缩、腭盖高拱、腺样体面容等问题。

这些异常不仅影响美观,还会影响口腔的咬合功能,在替牙期换完上下门牙时,也就是8-9岁左右进行矫正,有机会利用儿童骨骼生长潜力,调整颌骨位置关系,促进颌面部正常发育,还能锻炼孩子正确的唇舌肌习惯。
乳牙列期的不良习惯,如吮指、长期使用安抚奶嘴、吐舌吞咽以及口呼吸等,都容易造成前牙开颌、反颌,嘴凸,下巴后缩问题。
这些习惯需要及时干预,以免影响上下颌骨的正常发育,所以家长们在日常生活中需要密切观察孩子的行为,一旦发现不良习惯,可以在4-6岁开始进行干预。
尤其孩子简单的唇舌肌训练坚持不下来,或者对于不良口腔习惯的言语纠正不管用,可考虑采用舌挡、舌刺、肌功能矫治器进行辅助矫正。
5、后牙锁颌、偏颌、开颌问题
由于孩子的不良习惯或乳尖牙引导等因素,部分孩子在乳牙列完整萌出后,会出现后牙锁颌伴下颌功能性偏斜,这种情况相对严重且容易被忽略。
还有因遗传、吮指、吐舌、咬硬物,以及磨牙过度萌出等因素导致的开颌问题,也不要忽略,不仅会引起饮食上的不便,危害孩子关节的健康,主要影响说话发音清晰问题,甚至导致面型出现下巴后缩。

如果在定期的面诊检查中发现问题,可以在替牙初期或者替牙期阶段及时干预,可以引导颌骨发育恢复正常。
如果只是说有些轻微的扭转,这个没事,如果是严重的拥挤,就会导致整个咬合出现异常,咬合出现异常也会导致骨骼发育的异常。

另外在替牙期阶段矫正,不仅能利用好生长发育潜力改善骨骼发育异常的问题,还可以利用替牙间隙和生长发育空间,如果不能接受孩子拔牙的话,可以考虑替牙期或者恒牙列初期进行矫正干预。
7、乳牙早失、缺牙的间隙管理
孩子如果乳牙掉的早所产生的间隙,一定要及时佩戴间隙保持器,维持替牙间隙的稳定,这也是防止邻牙移位导致恒牙萌出位置异常,也避免因为缺牙出现脸偏和咬合不对称的问题。

家长也根据孩子的牙齿情况,有不良习惯的话,该纠正就纠正,有牙齿问题比较严重的,该干预就干预,把握好牙齿矫正的时机,这样对孩子的牙齿健康和面型美观变化也能达到事半功倍的效果。