『正畸求知』孩子骨性嘴凸下巴后缩,牙齿矫正如何导出下巴?

张栋梁医生 发布于2024-09-19 10:28 阅读量2002

本文由张栋梁原创

骨性嘴凸下巴后缩问题,存在上颌生长过度,下颌生长不足问题,而且通常不会随着生长得到自我纠正。

因此,出现以下情况需要早期矫正干预:


1、孩子已经因为牙齿和面型的问题出现自卑的心理。

2、孩子嘴凸会造成咬合创伤,牙外伤。

3、高角倾向,早期矫正一定机会能改善骨性问题和骨骼的生长型。



骨性嘴凸下巴后缩的矫正难点在于下颌后缩,而孩子在替牙期的生长发育潜力,对于改善下颌后缩是很有帮助的,但是我们还要考虑下颌骨的生长型。


鉴别下颌骨生长发育的潜力要从这几点来看:


(1)髁状突颈部越粗,说明下颌骨发育越好,越细说明下颌骨发育越差。

(2)下颌骨正中联合越厚,说明下颌骨发育越好,越薄说明下颌骨发育越差。

(3)下颌角前切迹越小,说明下颌骨发育越好,越深说明下颌骨发育越差。

(4)下颌升支越宽,说明下颌骨发育越好,越窄说明下颌骨发育越差。

(5)下颌升支长轴倾斜角度越向下,说明下颌骨发育越好,越向前说明下颌骨发育越差。


人类的生长模式是千变万化的,这并不是千真万确的标准,只是我们的临床经验,大概率上预测是合理的。


即便遇到生长趋势不好的患者,在家长能理解接受的前提下,我们依然要给予积极的矫正治疗。


因此牙齿矫正骨性嘴凸、下颌后缩想要达到好的变化,有三个关键点要做好:


(1)上前牙压低, 控制转矩内收 , 为下颌逆时针旋转生长创造空间。

(2)下前牙压低, 直立内收, 创造前牙咬合的覆盖, 上下前牙之间的水平向和垂直向的距离是下颌逆时针旋转生长的空间。

(3)整平下颌后部 Spee 曲线,是通过咬合引导下颌逆时针旋转生长的关键。



我们比较过固定托槽矫治和隐形牙套矫治技术整平下颌后部颌平面的效果,发现隐形牙套压低后牙整平下颌后部颌平面效果更好。


隐形牙套矫正如何引导下颌向前生长?

引导下颌向前戴二类牵引是很有效的方式,尤其隐形矫正技术中的上下牙套去除了上下后牙的咬合接触, 因此去除了下颌后退的咬合锁结关系。



同时隐形牙套对牙冠的全包裹固位方式产生足够大的力矩,对牙根的控制力更好,因此二类牵引能够有效地促进下颌前伸。


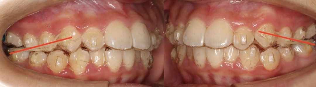
这位小朋友主诉牙不齐,嘴突,没下巴,来面诊时刚刚结束替牙期,正处于年轻恒牙列,生长发育高峰期。



根据牙片资料和口内检查发现骨性,上前牙唇倾,lll度深覆盖,上下颌牙弓狭窄,右下4左下5先天缺失,上颌轻度拥挤,下颌牙齿散在间隙,颏唇沟较深,闭唇时颏肌紧张。



牙齿矫正目标:


1、改善外貌:
正面观:协调面部比例,牙列整齐,中线一致
侧面观:内收上颌,前伸颏部


2、纠正牙列牙弓问题:
排齐上下牙齿,扩弓协调匹配上下颌牙弓宽度


3、纠正矢状向问题
上下前牙丢失转矩内收,二类牵引内收上颌,引导下颌向前,改善上下颌矢状关系。


4、纠正垂直向问题
适当压低下后牙及下颌前牙,升高下颌双尖牙,整平下颌颌平面,调整牙齿咬合,建立前牙正常覆合覆盖。



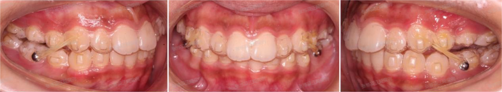
可以看到佩戴4个月的时候,孩子的牙齿和面型有了不错的变化,上下颌牙套贴合,双侧兔子皮筋二类牵引佩戴良好。



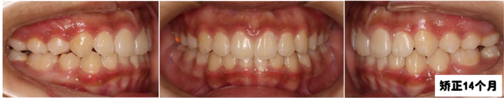
牙齿矫正14个月后,上下颌中线对正,上下牙齿排列整齐,牙弓卵圆形,上下牙弓匹配,前牙达到正常覆合覆盖,牙齿尖窝关系良好。



从牙片资料看上下前牙内收直立,颌平面整平,上颌内收,前牙达到正常覆合覆盖,颏部前伸良好。

青少年时期骨骼有一定的生长发育潜力,适应能力强,牙齿矫正时长相对成人也会较短。


建议各位家长朋友们,要定期带孩子面诊正畸医生做检查,避免错过孩子牙齿矫正的生长发育时期,可以多去面诊检查看看!



相关疾病: