的确有很多家长疑惑,带孩子去看正畸医生,有的正畸医生说要早期矫正,有的正畸医生说要等孩子换完牙?
首先,儿童口腔结构的发育,在12岁左右会进入一个相对稳定的阶段。
像不做早期矫正的正畸医生,通过等到孩子12岁左右再进行牙齿矫正,可以更准确地评估儿童的口腔状况,但更多的这个时候大概率是需要孩子拔正畸牙,来改善牙齿畸形问题。

其次,12岁左右是乳牙脱落、恒牙替换的关键时期。在这个时候,正畸医生可以更好地判断孩子是否存在牙齿拥挤、错颌等问题,而且孩子换完牙再矫正,对于正畸医生来说,避免了换牙时的麻烦,相对更轻松一些。
最后,12岁左右的儿童更容易配合正畸治疗。相对于较小的儿童,12岁的孩子更加懂事,能够更好地遵循正畸医生的建议,如按时佩戴固定托槽或者隐形矫正器、保持口腔卫生等。
但是我们观察很多孩子当她换完牙的时候,比如说可能到了十二、三、四岁之后,这个时候孩子往往会出现骨骼的问题,比如骨性嘴凸或下巴后缩,或者是骨性的地包天、下巴大,或者脸歪大小脸。


这种骨骼的问题,实际上在最初它都是牙齿拥挤不齐所导致的,而牙齿拥挤不齐,它会带来下颌骨位置的移动,会带来肌肉的变化、牙齿咬合的变化、牙齿的位置的变化,也就是说牙齿的因素与肌肉、骨骼,这几个因素就相互缠绕在一起了。
因此我们需要在孩子换牙期间,就要给到孩子人为的干预和早期矫正,帮助牙齿引导到正确的位置,从而能改变骨骼的位置。
对于在生长期有严重上下颌骨发育异常的孩子,可在生长发育高峰期前早期矫正引导颌骨,促进和抑制颌骨的生长,改变其生长方向、空间位置和比例关系,引导颅颌面正常生长,另外也可以减轻后续可能需要的治疗难度和时间。
早期矫正通过利用各种牙弓内的间隙,这个间隙包括灵长间隙、替牙间隙、甚至上颌后部的生长间隙、下颌后部的生长间隙,来为恒牙的萌出,解决前牙的拥挤,获得足够的间隙而促进牙齿排齐,因此早期矫正时,孩子可以不用拔正畸牙。
如果孩子出现牙齿的拥挤不齐,以及上下颌骨发育的异常,我认为应该一定要早做,应该是在换牙期间就做。
一般孩子换牙期,通常是在7岁的时候开始换下面的第一颗下切牙,然后马上就会再换上切牙,主要换牙时间比较快的是在8岁到10岁之间,对于要矫正嘴凸、下巴后缩问题的孩子,最好重点集中在8岁到10岁之间这个过程。
像这位8岁的小朋友,嘴凸、下巴后缩,利用好了替牙期的生长发育潜力,通过佩戴Grace个性化定制硅胶牙套,5个月就有很好的面型变化。

但有一个例外,就是地包天的情况,我认为5岁左右就可以开始做,这个时期早期矫正上颌发育不足,下颌骨发育过度的问题,就会变得很简单。
因为此时孩子的上颌骨是像积木一样,是由很多块骨头拼接在一起,孩子越小的时候,骨缝之间是有纤维组织连接,当我们给外力的时候,纤维组织间的骨缝,很快就被拽开了。
因此我们可以移动整个上颌骨的结构,由于这个时期骨缝之间是软的,孩子也不会觉得疼,可以有事半功倍的效果。
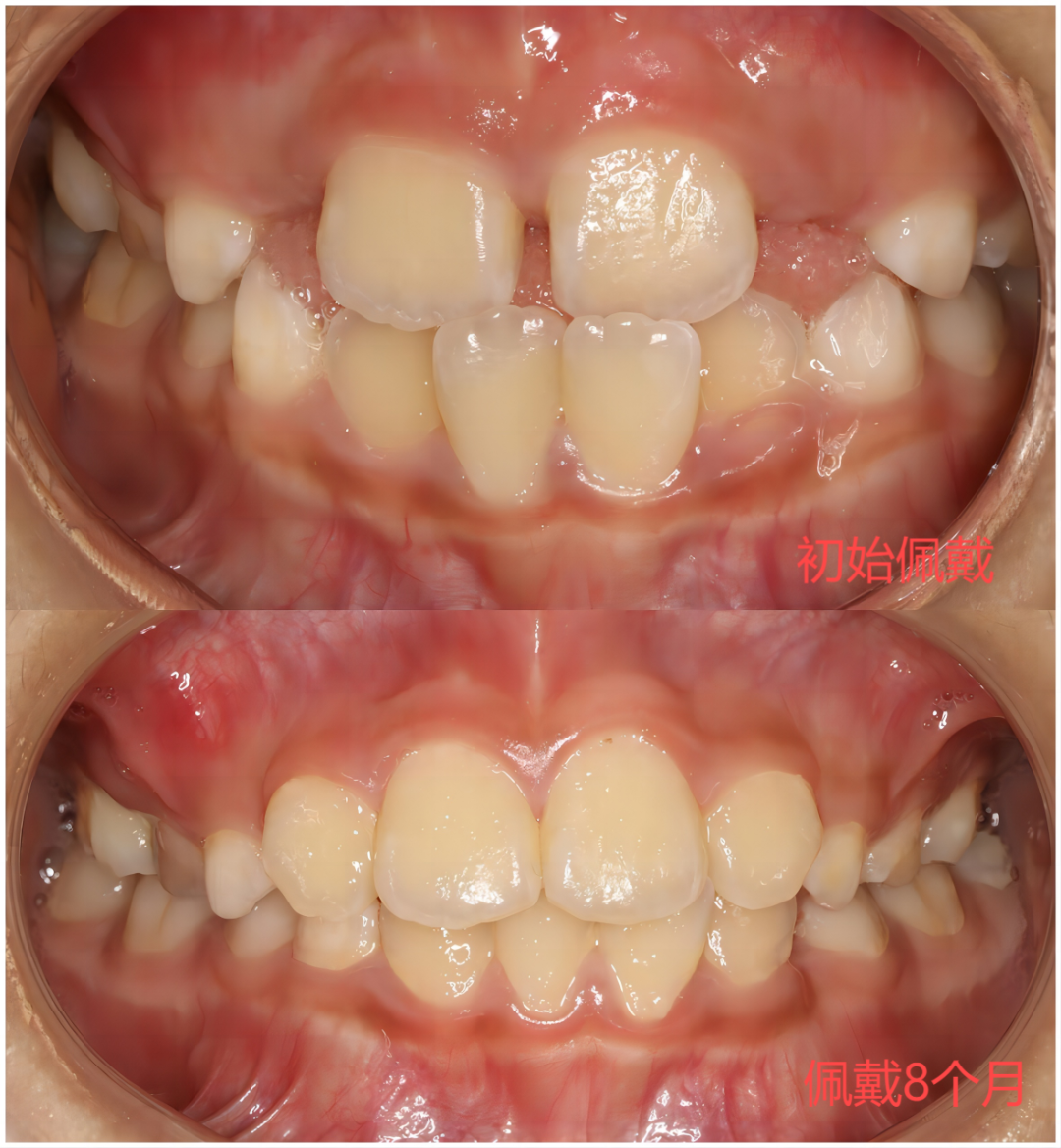
这位小朋友是7岁来的,通过早期矫正干预佩戴FRIII肌功能矫治器8个月后,牙齿反颌问题解除,孩子的覆合覆盖也恢复正常。


所以,在换牙期做早期矫正,孩子骨骼发育问题可以得到改善,并且这个时期也与孩子下颌生长发育高峰期一致,矫正效率会更高。
早期矫正完成会持续到恒牙列完全萌出,这会使孩子整体的咬合关系得到进一步调整,保证了整体牙齿矫正效果的稳定,也能减少孩子后续保持的时间,降低二次矫正的几率。总之,家长在考虑早期矫正时,不要过度超前焦虑,也不要不当回事儿,需要明白早期矫正不是一蹴而就的过程。一定要有耐心支持孩子的治疗过程、定期复诊和保持良好的沟通也是非常重要的。