随着信息技术的普及,关于早矫的信息一茬接一茬,每天每时每刻都有人全方位无死角的告诉你,这个要注意,那个要关注,要等换完牙再来,还有说等换牙就晚了,让家长们分不清谁是对,谁是错!
我非常能理解家长的心情,也知道妈妈们担心的点,在面对孩子牙齿和面型问题时,既担心矫正过晚耽误孩子,又害怕孩子早早佩戴牙套受了罪,花了钱和时间却看不到明显效果。

1、上颌生长发育潜力。
一般孩子上颌骨生长发育是在10岁左右,就已经完成85%了,后期就相对比较少,甚至说缓慢下来,所以对上颌骨进行生长的抑制和促进,就需要在10岁以前进行早期矫正干预,这是比较好的时机。
如果说过了10岁之后,虽然也有一定的效果,但对骨骼的控制就相对弱一些,更多的是对牙齿上的改善和变化。
2、下颌骨生长发育潜力。
大家要知道整个生长发育期,重点还是在下颌骨,下颌骨要完成整个发育90%的内容,所以对于下颌骨的干预也是越早越好,包括下颌前凸、下颌后缩等问题。
所以从生长发育来说,一般建议在替牙期或恒牙列早期,这主要与下颌骨的生长发育高峰期有关。
当然考虑到有些牙齿情况会有外伤风险,比如深覆盖较大,或者闭锁性深覆合内扣盖住下牙,还有反颌咬伤牙龈,影响后续下颌骨发育,提前进行功能性矫治显然也是非常值得的。

因此如果孩子有闭锁性深覆合、反颌的问题,5岁左右就可以开始面诊检查早期矫正干预。
如果孩子是II类面型,嘴凸、下巴后缩、牙齿不齐等,可以在孩子恒牙2-2(上下牙4颗)萌出后,也就是8岁左右,这也是比较好的时机。
另外地再加上不良口腔习惯诱发的嘴凸、下巴后缩、反颌、牙齿不齐的情况较多,所以为避免这些情况继续加重,可以在早期矫正的同时,纠正不良习惯,锻炼唇舌肌,引导养成正确的舌位和闭唇的习惯,孩子的牙齿矫正效果也会事半功倍。

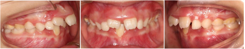
这位6岁的小朋友主诉嘴凸、没下巴、牙齿不齐,家长的早矫意识比较强,决定让小朋友及时进行早期矫正干预。
通过牙片资料检查孩子有骨性II类倾向,重度深覆合深覆盖,牙齿存在散在间隙。第一阶段佩戴隐形牙套,隐形矫正结束后,上颌内收,颏部前伸,侧貌形态改善良好,前牙达到正常覆合覆盖。



后续开展第二阶段时,将采用Grace定制化硅胶牙套,精细调整匹配上下颌弓形,整平颌平面,利用孩子生长发育潜力,继续引导下颌向前。
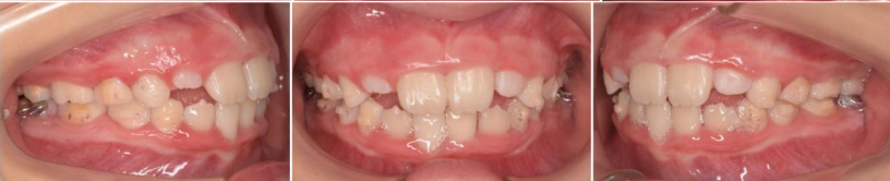
这位11岁孩子主诉嘴凸、下巴后缩,家长带孩子来做矫正,也是怕来晚了,孩子嘴凸、下巴后缩会越来越严重。
考虑到孩子还在生长发育阶段,还有一定的生长潜力,综合考虑孩子的牙齿、面型情况之后,制定不拔牙矫正方案,使用隐形牙套。
关键一点是通过推磨牙向远中+扩弓来获得间隙,解决前后牙距离大、内收排齐牙齿、把上下牙角度调直,调整咬合平面角度,创造下巴前伸的条件。


在临床正畸工作中,我发现有不少孩子由于外貌的影响发生了心理上的变化,充满着不自信。
再加上很多家长对孩子的外貌期望值较高,尤其是有的孩子换牙前还长得好好的,怎么换完牙不好看了,这让很多家长无法接受变得过于焦虑,也会潜移默化地影响孩子。
因为很多孩子当他换完牙,比如可能到了十二三、四岁之后,这个时候孩子更多出现的是骨骼的问题,往往嘴凸或下巴后缩,或者是下巴大,或者脸偏。
因此我们在孩子的替牙期,给孩子进行人为的干预和矫正,可以帮助牙齿引导到正确的位置,从而能改变骨骼的位置。
牙齿矫正的意义是我们可以去改变骨骼的位置,从而改变肌肉的形态和习惯,从而确定一个正常的生长的轨道,而这个正常生长的轨道,就是我们想让孩子达到的一个理想的面型。
之前我也看到一篇文献,结合我们临床看到的,青少年阶段的心理经历从对父母依赖性到年龄个性化独立的转变过程。研究也表明12岁以下的孩子依从性好,看来牙齿矫正还真得趁早,晚了,孩子的心理和骨骼都不听话了。
因此作为家长我们都希望自己的下一代,容貌会变得更好看一些,作为家长也需要及时关注孩子的颌面和牙齿问题,让孩子在黄金年龄开始牙齿矫正,可以少走弯路,让孩子矫正变化事半功倍!