『早矫求知』孩子门牙突都说要拔牙,牙齿矫正不拔牙可以改善吗?家长必看!
张栋梁医生
发布于2024-09-12 10:14
阅读量569
本文由张栋梁原创
随着暑期的到来,最近找我面诊的孩子也多了起来,很多“地包天”、“嘴凸小下巴后缩”、“牙齿不齐”“深覆合”等急需牙齿矫正的孩子。当涉及到孩子牙齿矫正时,家长们通常会有许多顾虑,我很清楚知道家长们这些顾虑。很多家长带孩子来面诊咨询时,一听到方案是“拔牙矫正”,就比较担心和抗拒,觉得孩子还小,拔掉4颗牙后,担心会影响面型美观和后续生长发育。
我很理解家长的担忧,拔掉孩子的4颗好牙,真的非常的可惜,担心对孩子出现不可逆的嘴瘪面型和其他口腔不良的影响,作为家长也会对孩子非常的愧疚。
因此不管拔牙不拔牙,我们都希望把嘴凸牙凸收回去,让面型好看,所以在于解决前凸,那么我是如何来获得间隙,用不拔牙矫正来解决问题呢?
那什么叫替牙间隙呢?
你会发现在孩子的乳磨牙跟里边的恒牙双尖牙,会有一个大小的差异,而乳磨牙都会比恒双尖牙大,那么对于上颌一般是一侧会大2毫米,下颌一侧大概是大2.5毫米。
所以你看两侧就是4毫米,那下颌两侧就是5毫米,这是利用乳恒牙交替所产生的空间,但是这个替牙间隙,如果不人为的干预,它会被恒牙6前移而损失掉。
所以这个替牙间隙如果家长不想给孩子拔牙的话,就可以利用上这个替牙间隙,只有做牙齿矫正加以人为的干预,把这个空间充分利用起来。
那什么叫生长间隙呢?
比如说一个小孩9岁或者10岁,等她成20岁大姑娘了、小伙子了,你们想她的脑袋还是像儿童时期那么小吗?至少要比8、9岁或者10岁大两圈,那么大的这个头颅部分就是我们所说的生长空间。
那么在生长发育高峰期之前,我们的研究表明上颌骨的后部每一年也会长2.5毫米的空间,对于下颌骨的后部也就是升支的前缘,每一年会长3个毫米的空间。
所以生长所产生的骨量的增加,也是可以利用起来,让孩子在这个时期,可以用不拔牙的方法解决前凸的问题。
唯一不同的就是不管是上颌骨还是下颌骨,那么它的骨量都是在向后生长,而我们的牙齿是往前移动,因此同样也得需要做牙齿矫正,推磨牙后移排齐内收牙齿。
另外很多孩子牙拥挤的的时候,大多后牙是往前倾斜生长的,当我们把牙向后直立就会获得空间。每直立10度会产生1.5毫米的空间,如果直立4颗牙那就是6毫米,所以直立后牙也是可以产生空间的。

因此孩子们在换牙期间矫正,可以利用好替牙间隙和生长间隙,我们可以很有效的内收上牙解决嘴凸,因此这是孩子可以不拔牙矫正牙齿问题的基础。
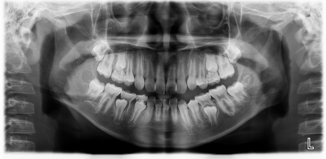
就像这位小朋友主诉嘴突、没下巴,牙齿拥挤,家长带孩子来也是希望能通过不拔牙矫正改善好孩子的牙齿情况。

考虑到孩子面型上颌突,下颌后缩,牙齿矫正不拔牙排齐牙齿,调整牙齿咬合,内收前牙,引导下颌前伸。


1、可以引导骨骼的问题,包括上颌前凸、下颌后缩、地包天等问题。
2、大部分的孩子们的牙齿情况,是可以用不拔牙矫正的方法来完成的。
那什么情况孩子牙齿矫正需要拔牙?
拔牙在牙齿矫正中只是一个可能的选择,通常是严重的牙齿拥挤和严重的嘴凸下巴后缩,综合考量后实在没有空间可以利用下,才会选择拔牙。