『早矫求知』儿童地包天早期矫正有哪些思路?错过黄金期还能改善吗?
张栋梁医生
发布于2024-09-04 10:44
阅读量255
本文由张栋梁原创
说到儿童地包天,这也是儿童乳牙列常见的牙齿问题,它是指儿童的下颌骨发育过度,导致下牙咬合在上牙的前面,形成一种“地包天”的外观。
儿童出现地包天病因很复杂,通常分为遗传性和非遗传性。
除非非常明显的特征,比如爸爸是地包天,女儿是地包天 ,或者妈妈是地包天,儿子是地包天,如此可以明确是遗传性原因,大多数情况下都是多种因素共同作用的结果。

1、比如Crouzon 综合征,纤维生长因子突变导致上颌骨骨缝过早闭合,面中部不发育。
2、孩子颅底软骨生长受限,软骨发育主要由先天基因决定。
3、有些孩子出现地包天,是因为下颌牙大于上颌牙,其实牙齿的大小也与遗传有关。
4、牙齿的尖窝关系影响到下颌骨位置,磨耗能增加咀嚼功能,如果磨耗加重,下颌前伸明显,地包天也会随之加重。

5、也有后天诱发的,也是临床中比较常见的,孩子长时间吮手指、咬下唇、吐舌头等不正确的舌位习惯,也会导致牙齿生长异常,从而形成地包天。
6、再就是婴幼儿时期,孩子喂奶的姿势不正确,经常躺着吃奶,或者奶瓶拿的过高,孩子为了能喝到奶,就会迫使下颌骨的发力点转移,出现下颌用力前伸的情况,形成地包天面型。

因此一般关于地包天的早期矫正,我认为5岁就可以带孩子面诊检查看看,孩子能配合就可以矫正干预,另外小朋友大多数舌肌处于低位,还伴有舌肌肉力量不足导致的舌头肥大。
因此对应做舌肌功能训练,也有利于让下颌后退,也能在一定程度上预防孩子地包天问题复发。
如果一直到替牙期地包天问题还没得到及时纠正,孩子的地包天咬合会继续引导下颌继续向前生长,造成地包天加重,就像有的孩子能明显看到吃东西的时候,下巴往前伸,才能让咬合正常方便咀嚼。


因此临床上也会这样形象给家长解释——地包天的咬合关系,也是促进下颌生长和前突的功能促进器。
儿童地包天早期矫正有哪些思路?
对于儿童地包天早期矫正,不是看到就贸然戴牙套操作,我们也需要做好鉴别,到底是牙齿的问题还是骨骼的问题?
我们会给孩子拍X光片,设定FH平面,找出眶点、耳点、鼻根点,从鼻根点向下做垂线,分析上颌骨的A点和下颌骨的颏前点距离,这条线的距离,是我判断地包天骨骼问题,比较常用的方法。

当然5岁以下的乳牙列孩子出现地包天 ,通常不是真正意义上的骨性地包天,极少数的孩子的确是由于上颌骨发育不足造成的地包天,临床中绝大多数来找我做早期矫正的孩子都是由于肌功能问题导致的下颌骨位置前移。
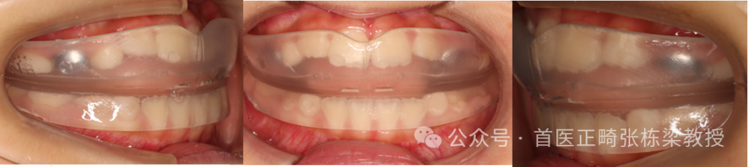
因此此时如果孩子能配合的话,我也会给他们做Grace个性化定制的硅胶牙套,这个比较薄,孩子戴着也舒服,而且佩戴时间短,也不会对孩子牙齿产生损耗,还能锻炼孩子的正确舌位习惯,同时辅助舌肌训练,几个月就能有好的变化。

那么如果说孩子不是骨骼的问题,是由于牙齿的倾斜造成的地包天,大概率都是上牙的舌倾,如果是这样的情况,可以选择使用活动矫治器,我们叫颌垫双曲推簧矫治器。
当然也可以用其他好的方法,比如说我可以做透明矫治器挂三类牵引,这也是很快速的解决地包天问题的方法。
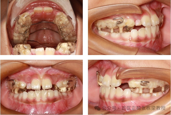
但是如果是骨性地包天的问题,那我们就需要使用RME+前方牵引,促进上颌骨往外拽。

那么我们在10岁以前通过加以外力,可以使得上颌骨往下往前生长,这时候骨缝就会撕裂开,那纤维组织就会形成新骨叫牵张成骨,这是一个促进上颌骨发育的方法。
那么前方牵引的反作用力,同时也可以控制下颌骨过度的生长,因此前方牵引是做反颌一个有效的方法。

一般我们在做前方牵引的时候,我们常规的需要的牙齿是3、4、5,但是有些孩子来的时候牙齿就已经坏了,这个非常可惜做不了。
要么就重新治好了然后你再做,要么治也治不好都剩残根了或者马上就要掉了,目前对于这种坏牙的话,我可能更多的是采用透明的压模矫治器,挂三类牵引的皮筋。
我们针对不同的地包天各有合适的方法,区别点就是要鉴别孩子的地包天是牙齿的问题还是骨骼的问题。

那事实上临床中我所遇到的这些病例中,绝对不是单一的原因,往往是很多复杂的原因,既有牙的问题还有骨骼的问题,那么既有牙齿很好还有牙齿比较乱,需要多因素考虑分析。
那么如果错过10岁之前的黄金期,还有改善空间吗?
其实我们有很多的病例,还真就不是5岁以后来的,有很多13、14岁来的孩子,其实在我看来方法也是一样的,前方牵引挂三类牵引,并不是说因为13、14岁了就跟早期矫正方法有什么太大的差别,我认为没有什么差别。

唯一不同的反应就是有的孩子骨骼依然还能有很好的反应,一拽上颌骨头就出来了且牙齿是直的,有的孩子骨骼就就没有反应,一拽上牙唇倾出去了,上颌骨头还没出来。
那接下来接下来一句话,13岁以后做前方牵引是骨头出来还是牙出来呢?
我认为没有哪个专家敢立刻下结论,只能说大概率10岁以前是A点前移,10岁以后可能上颌骨发育就骨缝闭合了,前移的量不是那么好,可能会出现牙前移。

根据我的临床经验啊,给大家说一下,就是不要去固定思维的,把某件事情想的那么肯定,不是肯定的不好也不是肯定的好。
我们需要去尝试,牵引一下看看效果怎么样,除此之外没有什么特别好的方法,除非家长愿意带孩子去做正颌手术。