我们知道上下后牙之间的咬合撑起了上下颌骨之间的垂直高度。
但正畸临床上常见的问题是:后牙部颌龈距离不足,或者后牙倾斜造成上下后牙高度不足,不能支撑上下颌骨之间的距离。

因此造成咬合力集中在前牙区,前牙出现深覆合,上前牙唇倾,下前牙拥挤。
但这种案例情况大多数人都觉得要拔牙才能获取空间改善,其实这种案例重点是后牙垂直高度不足,不拔牙矫正才是合理的解决方案。
(1)垂直向增加后牙高度,打开前牙咬合,内收直立上下前牙。

增加后牙高度,内收上下前牙,增加面下 1/3 距离,改善面型


对于很多患者不拔牙矫治是可以改变面型的,拔除上下智齿,控制好上前牙转矩,和下颌后部平面角度,是可以改变面型的。但需要足够长的治疗时间,而且有可能远超过拔牙矫治的时间。
不拔牙矫正改善面型的案例通常是骨性II类,错颌上颌前突,下颌后缩、反颌、深覆合。因此上前牙控制转矩内收,下前牙充分直立内收,是不拔牙内收前牙改善面型的关键。

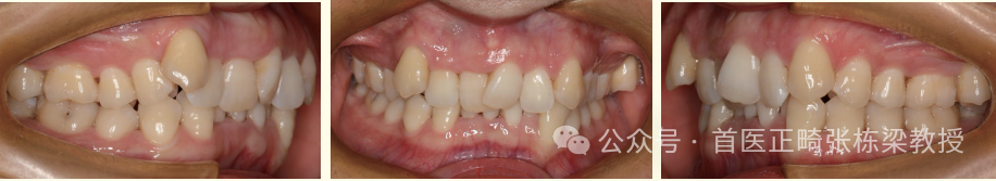
就像这位女士主诉深咬合、前牙拥挤,除此之外,临床检查牙根尖片检查见前牙牙根吸收。
因此如何帮助女士排齐前牙,打开咬合,保持前牙不松动,还要保持面型良好,这是牙齿矫正的目标。



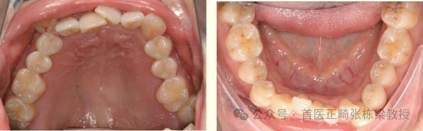
考虑到牙齿牙根和面型问题,我们设计不拔正畸牙的牙齿矫正方案,升高后牙解除前牙咬合创伤,这也是确保牙根不再吸收加重的关键点。
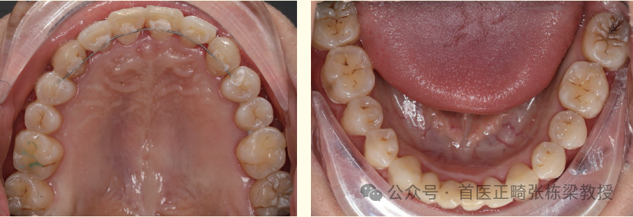
我们使用上下颌种植支抗,远中直立后牙获得间隙,配合必要的片切获得间隙排齐前牙。
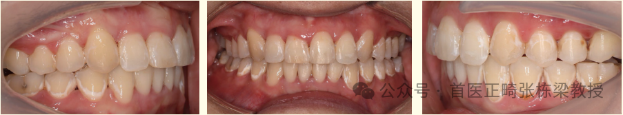
但是需要时间,这位女士的牙齿问题解除时间是两年,因此牙齿矫正中需要正畸医生的信心和患者的耐心。



当然每个人牙齿情况不同,深覆合的严重程度不同,所选择的打开咬合方式也会不同,需要正畸医生实际评估确定适合自己的正畸方案。