『早矫求知』儿童牙齿矫正可以不拔牙吗?有哪些空间能利用?
张栋梁医生
发布于2024-08-05 09:45
阅读量1884
本文由张栋梁原创
当涉及到孩子牙齿矫正时,家长们通常会有许多顾虑,我很清楚知道家长们这些顾虑。
往往源于对早期矫正过程的不了解和对孩子口腔健康的担忧,毕竟拔掉孩子的4颗好牙,的确是比较可惜的。

为什么牙齿矫正中会拔牙?
拔牙在牙齿矫正中只是一个可能的选择,通常是严重的牙齿拥挤和严重的嘴凸下巴后缩,综合考量后实在没有空间可以利用下,才会选择拔牙。拔牙主要是为了解决牙齿拥挤或错位的问题,为其他牙齿提供足够的空间,但医生通常会在综合考虑所有方法后才做出决定。
牙齿矫正中不拔牙有哪些空间可以利用呢?
灵长间隙主要指的是乳牙,也就是乳牙上牙的2、3之间、下牙的3、4之间,这叫灵长间隙,所以当她换完牙时候就是灵长间隙,自然就可以用于排齐。

再加上有的孩子换牙后乳牙不掉,恒牙已经从舌侧靠舌头那个位置长出来,长了一个双层牙。像这种情况把乳牙拔掉之后,靠近舌向这个牙会慢慢前移到正确的位置上去,所以灵长间隙是可以帮助牙齿排齐的。
小的时候孩子牙弓狭窄,会导致牙齿凸,牙齿拥挤,可以通过牙齿矫正辅助扩弓的工具,扩大孩子的牙弓,匹配协调上下牙弓形态。
什么叫替牙间隙呢?一般是乳牙的4和5,它和恒牙的4和5的宽度不一样,等到了乳牙的4和5跟恒牙的4和5的过程中,乳磨牙的宽度就比恒牙的宽度就宽了就大了,上颌骨一侧会有1.5毫米的替牙间隙,下颌骨一侧会有将近2.5毫米的替牙间隙。

灵长间隙是不用做矫正自己就能用上,但是这个替牙必须得做早期矫正才能利用上,因为替牙间隙因为在后方,只能靠人为的干预才能把它充分利用上,要不然的话换完牙之后所产生的空间,会被6号牙往前挤,所以需要人为干预利用这个空间。
在生长发育高峰期之前,女孩子生长发育高峰期可能是到14岁,男孩子生长发育高峰期可能是16岁。

在这段年纪之间,那么在上颌骨的后壁每一年都会长2毫米的新骨,在下颌骨的后壁每一年都会长2.5-3毫米的新骨,这个可以利用上生长发育的潜力。
有的孩子智齿长得早,只是一个小小的牙囊,比较软,可以选择推磨牙向后结合生长发育空间,这样就可以获取空间改善牙齿问题。
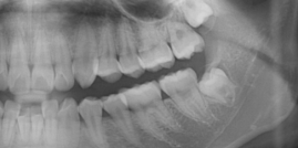
这是非常重要的一个获取空间的方式,可以看到很多牙齿唇倾、牙齿不齐的孩子,从片子上看,她的牙齿都是近中倾斜的,当把牙齿向后直立,每直立10度会获得1.5毫米的空间,如果直立4颗牙那就是6毫米。

因此对于孩子们在牙齿矫正过程中,还有这些空间可以充分利用上,就可以通过不拔牙矫正的方法改善牙齿问题。
1、可以引导骨骼的问题,包括上颌前凸、下颌后缩、地包天等问题。
2、大部分的孩子们的牙齿情况,是可以用不拔牙方法来完成的。
3、孩子的骨头还在发育中比较软,再加上牙齿矫正更多的是加以引导,并不是过大加力,所以说舒适性相对成年会好一些。

4、如果孩子在替牙期就开始矫正的话,那么在换完牙之后是一次就能做好,很大几率不需要再做第二次正畸了。
所以我认为目前早期矫治现在的治疗的理念和思想,可以确保我们能够用不拔牙的方法来完成排齐、控制颌面骨的生长。
其次我们能够用通过正畸的手段,不需要孩子换完牙再做第二次正畸,这是我坚持认为的早期矫治的好处吧。