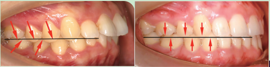
(1)上前牙内收的同时,还要压低。
上前牙内收,改善上颌前凸。上前牙内收时出现的直立通常会随之出现伸长,但是上前牙伸长,会使下颌不得不处于向后的位置,不利于改善颏部形态,因此要压低上前牙。

(2)远中直立上后牙。
使得上后牙长轴垂直于颌平面,整平下颌Spee曲线,使得下后牙长轴垂直于颌平面,通过咬合引导下颌向前。反之,倾斜的Spee曲线,咬合会使得下颌向后滑动,下巴后缩因此会加重。

(3)上下后牙高度降低。
将后牙咬合的支点前移,促进下颌逆时针旋转,下颌颏部明显,改善嘴凸下巴后缩问题。

(4)下前牙充分直立,同时压低。
我们需要知道一个原则:牙齿移动的方向与骨骼移动的方向是相反的。如果下前牙唇倾,上下前牙的咬合会使下颌被迫处于后退位置。
只有下前牙充分内收,才能有下颌向前移动的空间。但是下前牙内收时,还要注意控制下前牙的高度,如果下前牙伸长,前牙的深覆合同样也会限制下颌的前伸移动,不利于改善高角骨性嘴凸下巴后缩。

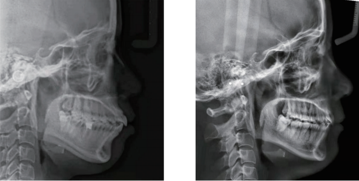
另外,大家也要了解一下,牙齿矫正下巴后缩改善程度是从5个方面来考虑:
1、颌骨形态发育
一般来讲我们会观察下颌骨的x光片,从头侧片上就能看到髁状突颈部的形态。
(1)如果髁状突颈部形态比较细,那它的一定长得不好;
(2)如果这个髁状突颈部形态长得比较粗,那下颌骨发育的就会好。
2、下颌升支长短
一般来讲下颌升支越宽,下颌骨发育也就越好,升支越窄,下颌发育就越不好。

3、升支的角度
一般下颌升支越往前往下,这个人的下巴是往前出去的,这种状态下颌骨发育也不好。
相对来讲垂直向下会更好一些,但也不能太垂直向下,太垂直向下发育就会发展成国字脸了,也就是低角面型。
在下颌角靠后的这个地方,如果你摸到一个深沟,我们叫角前切迹,有角前切迹的发育的也不好,没有的才是颌骨发育比较好的。

5、下前牙骨壁薄厚程度
当下前牙骨壁越薄,下颌骨的正中联合发育的也不好,骨壁越厚,下颌发育越好。
所以我通常会根据这几个结构,来看下颌骨的发育的程度,比如说:越是均角、越是低角面型,这种下颌骨如果引导前伸,这一定改善是最好的。

所以作为正畸医生在牙齿矫正过程中,只是把咬合的一些因素去掉,把下巴行的情况,尽量引导出来,所以看起来下颌骨位置好了,有下巴了。这是在没有生长发育潜力下。
但如果这个患者有生长发育潜力,同样当我把异常咬合因素去掉,去掉深咬合,去掉牙齿的角度,让下颌骨自然的往前长,使咬合平面调平,那下巴后缩的改善效果,自然会更好。