作为家长们能做的就是早期发现并及时干预影响牙列正常发育的因素,就可以在一定程度的降低错颌畸形的发生率。

一方面是因为口腔医生少,其中专门的儿童牙医更是少之又少,不少孩子无法得到及时的专业治疗,对于孩子早期矫正干预知识了解不足或者案例少。
另一方面,有相当一部分家长对孩子的口腔健康不够重视,从小问题慢慢慢慢就拖成了大问题。
我身边就有很多这样的例子,孩子有了轻微的龋齿或者错颌畸形,家长们很少有这种意识,带孩子去及时就诊,等到控制不住了再去干预,这个时候孩子的情况已经发展的非常严重了,可能就需要去做正颌手术。

其实在生长发育过程中进行牙齿矫正这个是最重要的早期治疗的一个工作!
现在的家长对于口腔健康的意识越来越强了,我们都希望我们自己或者下一代,容貌会变得更好看一些,那从这一点来讲牙齿矫正错颌畸形一定是越早越好。
因为我们观察很多孩子当她换完牙的时候,比如说可能到了十二三、四岁之后,这个时候孩子往往会出现骨骼的问题,比如嘴凸或下巴小,或者是下巴大,或者脸歪大小脸。

但是你们知道吗?这种骨骼的问题,实际上在最初它都是牙齿拥挤不齐所导致的,而牙齿拥挤不齐,它会带来下颌骨位置的移动,会带来肌肉的变化、牙齿咬合的变化、牙齿的位置的变化,也就是说牙齿的因素与肌肉、骨骼,这几个因素就相互缠绕在一起了。
因此我们必须在孩子换牙期间,给孩子进行人为的干预和矫正。我们就可以帮助牙齿引导到正确的位置,从而能改变骨骼的位置。
因此早期矫正的意义就是我们不仅能矫正牙齿,我们更可以的去改变骨骼的位置,从而改变肌肉的形态和习惯,从而确定一个正常的生长的轨道,而这个正常生长的轨道,就是我们想让孩子达到的一个理想的面型。

那骨骼位置稳定了牙齿位置,牙齿萌出轨道生长好了,肌肉自然也就对称了,这样的话孩子就会长得会更好看一些,因此,站在这个角度来讲,牙齿矫正一定是越早做越好。
我觉得重点看两个方面,第一个方面就是牙齿的拥挤不齐,第二个方面呢就是颅颌面的也就是上下颌骨发育的异常,上下颌骨发育的异常。
如果是出现这个问题那我认为应该一定要早做,应该是在换牙期间就做。
一般孩子换牙期,通常是在7岁的时候开始换下面的第一颗下切牙,然后马上就会再换上切牙,主要换牙时间比较快的是在8岁到10岁之间,因此早期矫正重点集中在8岁到10岁之间这个过程。另外孩子在8岁到10岁之间同时,他们的颌骨也在发育。

我们的研究结果表明85%的人,上颌骨的发育在10岁之前就已经都完成了,而下颌骨的发育在10岁之后依然继续发育,站在这个角度来讲,8岁到10岁属于儿童矫治的最佳时期。
如果说让我来分类的话,我觉得站在家长的角度来看呢,我觉得就可以分成三类:
1、孩子的面型挺好看挺漂亮,但好不好看其实没有一个客观指标,我们看换牙期间的牙挤不挤、齐不齐,我想这是一类情况,就是牙不齐但是面型好。
2、面型不好看,尤其是嘴凸没有下巴,我觉得这一点会涉及到健康,当这个孩子是小下颌畸形的时候,它会带来整个呼吸道狭窄。

如果我们拍一张片子的话,有些孩子呼吸道就很窄,下颌骨有跟舌骨是连着的,舌骨再往下是跟气道连着的,所以小下巴的孩子有的时候睡觉就会打呼噜,呼吸不通畅。
如果你呼吸不通畅,也会影响全身发育,可能个子长不高,智力也会受到一定的影响。
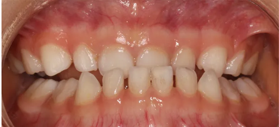
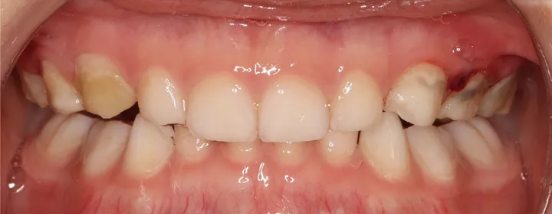
就像这位小朋友是嘴凸的问题,上颌前凸,下颌后缩,通过早期矫正后10个月时间面型和牙齿咬合带来的巨大变化。

孩子家长也比较注重孩子的牙齿咬合健康,所以利用孩子寒暑假的时间给孩子做早期矫正,通过早期矫正,使孩子的牙齿咬合和面型都得到很好的改善。
3、地包天的面型,我认为5岁左右就可以开始做,我有的患者最夸张的时候,一对双胞胎的地包天,他爸他妈抱着来的,当然这是一个极极特殊的例子,还是等到孩子能配合的时候再来。

实际上地包天的主要产生原因,他的上颌骨长得小,我们叫上颌发育不足,下颌骨长得比较大,上颌骨是像积木一样,是由很多块骨头拼接在一起,孩子越小的时候,骨缝之间是纤维组织连接。
当我们给外力的时候,纤维组织间的骨缝,很快就被拽开了,因此我们可以移动整个上颌骨的结构,由于这个时期骨缝之间是软的,孩子也不会觉得疼。
这位小朋友是3岁的时候,妈妈带来做早期矫正改善地包天问题的,因为孩子妈妈也是地包天的情况,在我这里做的矫正。


这就不得不想到遗传因素的重要性了,由于孩子妈妈是反颌,并且孩子有躺着喝奶的习惯,妈妈担心孩子以后反颌越来越严重,所以找我一起做了矫正。
我给孩子用的是硅胶个性化功能矫正器,历时1年的矫治时间,地包天问题得到改善。


在这里也要告诉家长们一般5岁以下的婴幼儿地包天,通常并不是真正意义上的骨性地包天,极少数的病例是由于上颌骨发育不足导致的,绝大多数是由于肌功能问题导致的下颌骨位置前移。
当喂养孩子的姿势不对,下颌被引导向前,久而久之下颌骨肌肉功能异常导致下颌髁状突前移,并超过关节结节的限制,实际上,下颌髁状突处于关节脱位的状态。

因此,5岁以下的这种功能性前移造成的前牙地包天问题,使用早期功能矫治器可以得到很好的改善。
今天的分享就到这里,我们下期再讲:
1、哪些情况不用着急做牙齿矫正?
2、错过早期矫正最佳时机还有哪些补救措施?
3、儿童牙齿畸形有哪些可以预防?
4、遗传性的嘴凸问题早期矫正可以纠正吗?