我认为越早矫正越可以早期阻断错颌畸形问题,引导骨骼正常生长发育!避免因为错颌畸形影响青春期心理健康,对孩子的身心健康和颜值美观都是有益的!
今天来讲的是关于II类面型儿童一些研究,对于II类面型尤其是伴有骨性不调的儿童,表现为上颌前凸,下颌后缩,导致侧貌呈现凸面型。
骨性II类的特点:
II类高角,咀嚼功能差,咀嚼效率只有正常的 60%,咀嚼肌力弱。II类的发生率6~11岁儿童为 20.4%,12~17 岁青少年为 14.5%。
需要了解导致骨性II类的病因是:
(3)II类高角是真性的骨骼问题:不良习惯,口呼吸,咀嚼肌肉力量弱。导致下颌骨长期处于向下向后的位置,上下颌骨后部牙槽突和牙齿萌出补偿颌骨后部空间,导致II类高角。(4)舌体位置下降,使得上颌牙弓狭窄,也是骨性II类的特点,且随着生长发育不会自愈。
决定着II类下颌后缩矫治的关键因素是垂直向的控制。
由于上下颌生长差异,在生长发育期下颌相比上颌向前向下生长的速度更快些,生长量也更多些。因此在上颌和下颌之间应该存在一个空间。这个上下颌骨之间的空间能够允许下颌逆时针旋转,这个空间就是颌间间隙,这是正畸医生唯一一次能够利用儿童生长发育能力,引导下颌逆时针旋转的生长调控的机会。


但是临床上我们观察不到颌间间隙的存在,因为随着上下颌骨差异性生长,上下后牙逐渐萌出填塞了颌间间隙。因此II类功能矫治的重点就是在引导下颌向前的同时,抑制上下后牙萌出,从而保留颌间间隙,引导下颌逆时针旋转,颏部前移,获得面型的改善,所以家长们需要把握住这个黄金时期。
接下来可以看一下这位小朋友孩子家长比较注重孩子的牙齿咬合健康,所以利用暑期的时间找到我给孩子做早期矫正,通过早期矫正,使孩子的牙齿咬合和面型都得到很好的改善。
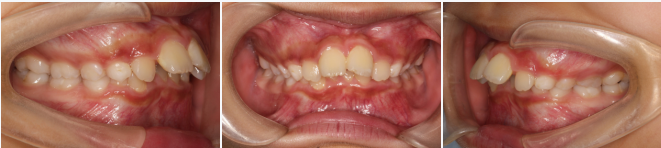
II类上颌前凸、下颌后缩的早期矫治
II类上颌前凸、下颌后缩病例。


上颌采用2×4口外弓内收直立上前牙。

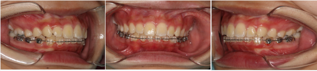
上前牙直立后,使用Twin Block引导下颌向前,Twin Block 佩戴10个月,磨牙呈I类咬合关系,下颌前伸。


上颌内收,下颌前伸,孩子的面型改善良好。


因此II类前凸下颌后缩进行早期干预的时机很重要,出现以下三种情况需要进行早期干预:
目前国内7成以上孩子都有不同程度的错颌畸形,最为常见的就是II类面型的孩子,因此家长们还是需要重视起来,及时的带孩子干预矫正,避免发展为更为严重的骨性问题,最后只能拖到做正颌外科手术来解决。