隐形矫治不拔牙改善前突⽅案设计思路!
张栋梁医生
发布于2022-09-06 16:33
阅读量967
本文由张栋梁原创
隐形矫治不拔牙改善前突⽅案设计思路!
现病史:自觉嘴突,下前牙不齐数年,影响美观,要求矫正
从面部基本特征看:软组织侧貌微前突,颏部形态良好。

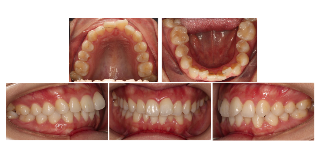
如图1-3⼝内情况所示:上下前牙轻度拥挤、上前牙唇倾、牙弓形态尚可。
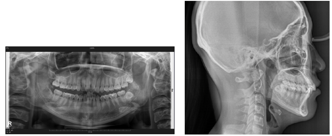
如图1-4曲断片所示:28、38阻⽣,未见牙根吸收,牙周状况良好。左侧髁突见吸收。
图1-7头影测量数据
上下颌后牙远中直立(如图1-8所示)(远中直立相比较磨牙整体远移更加节省支抗)。为了保护前牙支抗、增加患者佩戴矫治器信⼼,选择少量多轮移动先排齐前牙再内收原则,尽量减少双推(同⼀象限内两颗牙同时远移),矫治中观察前牙支抗、为了抵消推磨牙向后产⽣的反作用⼒前牙要设计强支抗(上下四个象限颌骨钉植⼊或者使用间接支抗的⽅式)。
⽮状向:前牙先以12为基准排齐再内收2 ㎜,通过磨牙远移+前牙3~3不超0.3㎜ IPR获得间隙,前牙内收过程当中参考11保持转矩内收。下前牙内收过程当中保持转矩内收(参考41)、前牙正常覆盖结束。移动序列使用改良V-PATTERN’序列(如图1-9所示)每轮2㎜,前磨牙分开移动,5移动到位之后再移动4,均分⽮状向远移量, 后牙在远移过程当中增加冠远中轴倾角度,以根尖点为旋转中⼼(如图1-10所示)

上下颌初始与终末位置重叠。上颌以21为基准内收6㎜(如图1-11所示),下颌以31为基准内收3㎜(如图1-12所示)。内收过程当中要时刻关注前牙支抗(是否出现前牙唇倾)要根据前牙支抗情况,选择不同⼒值的皮筋牵引,需要注意的是,合理的移动序列比支抗钉更加重要。关注前牙支抗的同时也要关注后牙段,防⽌已经推到位的磨牙出现近中移动,有效的⽅法是在已经到位的磨牙制作TPA或使用间接支抗(如图1-12所示)。垂直向:该患者为均角,设计为通过伸长前磨牙压低后牙与下前牙整平下颌SPEE曲线,前牙正常覆合结束。SPEE曲线整平⽅式:对于⾼角患者、后部HE平面较陡的SPEE曲线主要通过压低后牙的⽅式整平。均角患者设计压低后牙与下前牙,伸长前磨牙的⽅式整平,低角患者希望更多通过升⾼后牙的⽅式整平SPEE曲线。⽔平向:以16、26为基准,不设计扩弓调整上下颌牙弓宽度。第⼀:参考Wala嵴(如图1-14所示),看颊侧是否有⾜够的骨量,通过测量FA点与 Wala Radge 的距离或参考CBCT进⾏判断)、磨牙的转矩(如图1-14所示),可以在电⼦扫描模型中的后视图当中进⾏观察(如图1-15)。后牙舌倾是扩弓的有利条件。如果磨牙已经是颊倾的状态,则不建议再设计扩弓,可在处⽅表当中向技师表明“以 16、26横向宽度为基准,维持现在的磨牙牙弓宽度”。

第⼆:正面微笑审美(如图1-16、1-17所示)。患者对颊廊的要求,微笑时⼝角处的⿊⾊间隙较⼤会显的微笑不够饱满,显露更多的后牙及颊间隙稍小时微笑会更加美观。扩弓量设计过⼤所带来的影响在设计扩弓时候要考虑到患者基骨的条件,颊侧骨量、磨牙转矩及患者对颊廊的个性化要求。如果矫治⽅案设计过量的扩弓,但在临床实际当中未实现,过宽的牙套戴⼊窄于矫治器的牙弓,会持续对前牙施加挤压的⼒量,导致前牙唇倾、脱套图(如1-18、图1-19所示)。

中线:上中线正,对齐上下中线,中线通过面中线确定。附件:使用矩形附件,此病例前牙内收量较⼤,所以前牙要设计强支抗,13、23、33、43设计HOOK,支抗钉-皮筋,增前前牙支抗,辅助磨牙远移。1、 合理的移动序列比支抗钉更加重要,尽量设计少量多轮的远移⽅式(1㎜V-PATTERN或ZC)。3、矫治过程当中要时刻关注前牙的转矩及已推到位的后牙是否发⽣了近中移动。