现在很多人的体检的胸片都改成了胸部CT,因为CT在肺部检查中看的更清楚。
很多人都会发现肺部结节,一些肺结节只有3-4mm。
也有很多人都听说磨玻璃结节最后会发展成肺癌。
那么,这样的结节到底有没有危险,到底是不是肺癌,应该如何处理?
根据中华医学会数据,2022 年中国的所有恶性肿瘤新发病例中肺癌排名第1位,占18.06%,而肺癌死亡人数占中国恶性肿瘤死亡总数的 23.9%。
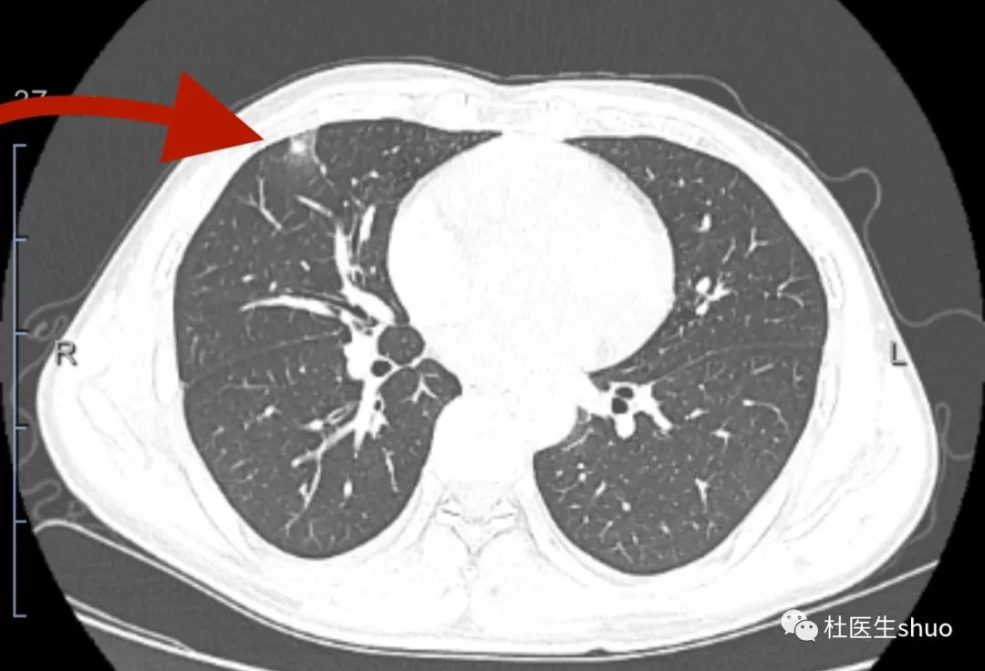
37岁男性右肺中叶部分实性结节

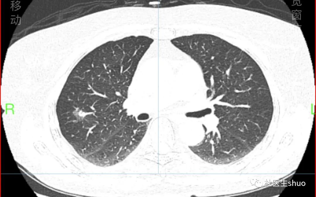
65岁女性右肺上叶部分实性结节

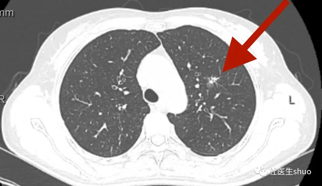
54岁女性左肺上叶部分实性结节
这几位患者都是部分实性结节,切除后都是肺腺癌,查出肺结节需重视,而3-4毫米的肺结节则不必过于担心。
事实上,肺部磨玻璃结节属于惰性病变,发展缓慢,往往呈3至5年增长1至2毫米的“龟速”。这就使得肺部磨玻璃结节患者选择手术的窗口期大为延长。
很多人在自己检查出肺结节后,尤其是3-4毫米大小磨玻璃结节的时候,常常非常纠结。
这个结节现在不做手术,那将来会不会发展成肺癌?
那它变大以后,会不会导致手术效果不好,应不应该立刻做手术?
现在做了以后,我以后会不会重新又长出一个新的小结节?
首先,小磨玻璃影确实有可能是良性病变,比如炎症、肺间质纤维化等。通过定期观察,许多病灶可能会自行消失。
然而,我们也要注意,部分磨玻璃影可能代表早期肺癌或癌前病变。虽然癌变风险较低,但仍需谨慎对待。
即便最终发展为癌症,早期癌症进展缓慢,手术治疗效果也很好。
3~4毫米的磨玻璃结节,没有任何担心的必要。就算等到他发展起来再做手术,也是绝对安全的,
当然这个背后需要专业的知识,才能帮助科学的决策制定。
当体检发现3-4mm磨玻璃,与其不断的纠结、四处检查,不如找个靠谱的医生长期随访下去。
什么样的人会得肺癌,肺癌的危险因素有哪些?
吸烟
吸烟可显著增加肺癌的发病风险,开始吸烟时的年龄越小、每日吸烟量越大、持续时间越长,引发肺癌的风险越大
二手烟或环境油烟吸入史
亚洲人群中非吸 烟女性的肺癌发生率显著高于欧美人群,推测可能 与二手烟暴露和厨房等场所的环境油烟暴露有关
职业致癌物质暴露史
长期接触氡、砷、 铍、铬、镉及其化合物等高致癌物质者更易患肺癌。石棉暴露可显著增加肺癌的发病。另外,二氧化硅和煤烟也是明确的肺癌致癌物。
个人肿瘤史
既往罹患其他恶性肿瘤者可能携带异常基因突变,基因突变可增加肺癌的发病风险。
肺癌家族史
父母被诊断为肺癌的个体患肺癌的风险明显升高
慢性肺部疾病史
慢性阻塞性肺疾病、肺结核]和肺纤维化等慢性肺部疾病患者肺癌发病率高于健康人群。
发现肺结节该怎么办?以下是肺结节的复查流程图

[1] 中华医学会肿瘤学分会, 中华医学会杂志社. 中华医学会肺癌临床诊疗指南(2023版) [J] . 中华医学杂志, 2023, 103(27) : 2037-2074. DOI: 10.3760/cma.j.cn112137-20230510-00767.
