肺磨玻璃结节到底是个啥?
得了肺磨玻璃结节该怎么办?
小李进行了一年一次的常规体检,拿到体检报告的他不断纠结,只见体检报告上写着:CT检查提示左肺上叶有磨玻璃结节,大小7mm。
发现肺结节、肺部磨玻璃结节该挂哪个科?
胸外科

体检报告上显示肺结节,让我找胸外科医生就诊,这种肺结节到底要不要手术?
肺部磨玻璃结节有良性病变和恶性肿瘤之分。

良性磨玻璃肺结节(多为感染性)可以在一定时间内消散、缩小、消失,所以良性的肺部磨玻璃结节是不需要开刀的。
首次胸部CT检查发现的肺部磨玻璃结节阴影,不建议急于做开胸手术,一定要留出一个观察的窗口期。
长期且持续存在、实性成分比例增加的肺部磨玻璃结节,这种结节就需要注意了。

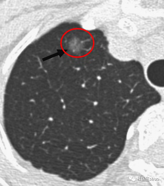
什么是磨玻璃结节?
从胸部CT上看,肺部磨玻璃结节的影像表现类似磨玻璃,呈现云雾状的圆形、类圆形病灶或不规则阴影。
肺部磨玻璃结节是一种基于密度改变的影像学表现,只要是引起肺泡腔充气程度的任何改变,都可以在CT影像上形成磨玻璃结节。
磨玻璃结节只是影像学上一种客观的描述,不代表疾病本身或者预示着病情走向。

查出“磨玻璃”怎么办?
如果是首次胸部CT检查发现的肺部磨玻璃结节影,一般倾向于以定期复查胸部CT为主要手段,不建议手术干预。
如果持续复查多次胸部CT,提示结节增大或磨玻璃结节实性比例增加时,可考虑外科手术。
特别是影像学提示可能是微小浸润腺癌、浸润腺癌时,建议手术治疗。

必须立刻手术吗?
事实上,肺部磨玻璃结节属于惰性病变,发展缓慢,往往呈3至5年增长1至2毫米的“龟速”。这就使得肺部磨玻璃结节患者选择手术的窗口期大为延长。

但是,肺部磨玻璃结节腺癌生长速度、恶性程度的个体差异化原因,至今尚不明确。对于无法辨明病理阶段的结节,建议定期随访观察CT,动态看变化。
肺结节如果有大小、形态、密度的改变,请及时胸外科就诊。
体检发现肺部磨玻璃结节,需要胸外科医生通过影像学特征、液体活检项目检测等多维度评估,推断病理性质,进而选择治疗方法。

还可以读读这些文章:
胸外科常见疾病
肺结节与肺癌

多点在看?