
肋骨骨折能判几年?被人打了怎么办?
肋骨骨折是常见的损伤,指肋廓骨断裂或出现裂纹。最常见病因是因跌倒、交通事故、撞击或暴力击打。
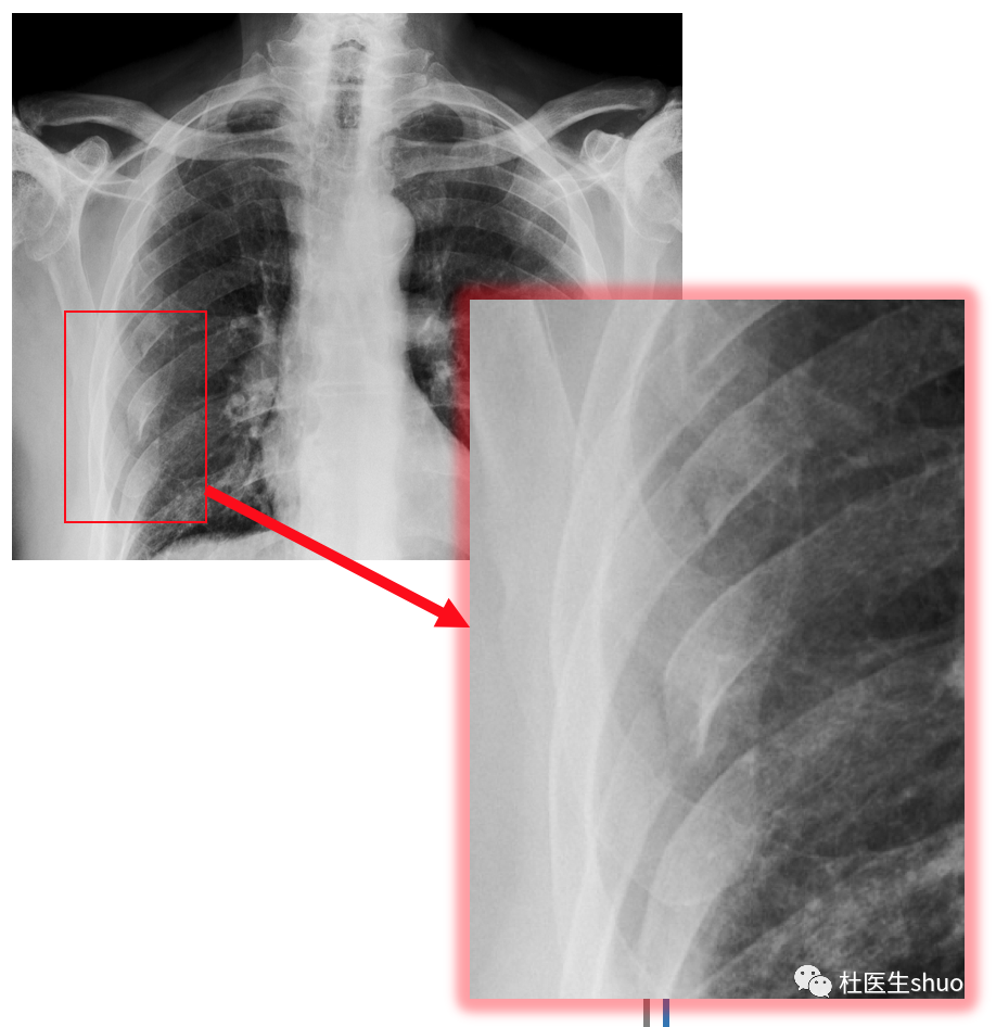
人的肋骨共12对,共同形成坚固的铜墙铁墙,保护胸部内的肺、心脏、肝脏等器官不受伤害。

肋骨骨折的症状
一、局部疼痛
局部疼痛是肋骨骨折最明显的症状,并且随咳嗽、深呼吸或身体转动等运动而加重,有时患者可自己听到骨摩擦音,或感觉到骨摩擦感。
二、咳痰困难
疼痛以及胸廓稳定性受破坏,可使呼吸动度受限,呼吸浅快和肺泡通气减少。
患者不敢咳嗽,痰潴留,从而引起下呼吸道分泌物梗阻,可引起肺不张和肺炎,这在老弱患者或原有肺部疾患的患者尤应予以重视。
一般情况下咳嗽并不会导致骨折,但如果是特别剧烈或长时间的咳嗽,即便是健康的年轻人,也可能发生肋骨骨折。
火气大,容易发生冲突,有些人脾气火爆,容易在小事上发怒,一旦情绪失控便难以自制,很容易与人发生口角或肢体冲突。咳嗽都可以引发肋骨骨折,击打别人比你想象的更容易造成骨折。

打赢坐牢,打输住院,那么肋骨骨折能判几年?
注:本文不适用于法律咨询,具体情况请咨询律师。需要注意的是,本文提到的标准只是对人体损伤程度的大致评估。在法律上,人体损伤的赔偿金额和责任划分还需要考虑其他因素,例如事故责任、医疗费用等。因此,在具体的法律案件中,可能还需要根据法律法规和司法实践进行具体的评估和判断。
司法部2013年8月30日发布了《人体损伤程度鉴定标准》,关注杜医生shuo公众号,回复“损伤鉴定”获取原文。文中有关肋骨骨折的内容如下:
根据《刑法》第二百三十四条【故意伤害罪】故意伤害他人身体的,处三年以下有期徒刑、拘役或者管制。
犯前款罪,致人重伤的,处三年以上十年以下有期徒刑;致人死亡或者以特别残忍手段致人重伤造成严重残疾的,处十年以上有期徒刑、无期徒刑或者死刑。本法另有规定的,依照规定。
剧烈咳嗽就可能导致肋骨骨折,肋骨骨折还是比较常见的。打架肋骨骨折2处以上,就构成了故意伤害罪。


还可以读读这些文章:
胸外科常见疾病
肺结节与肺癌
肿瘤/化疗
肠癌
结肠息肉
其他

多点在看?