门诊遇到这样一位患者,
就诊后小心翼翼从包里拿出一个“传家宝”,
打开一层一层细致包裹的纸巾,里面惊现一只虫子的尸体,
还是碎尸以后的不完全尸体。
这究竟是道德的沦丧还是人性的扭曲?让我们一起抽丝剥茧,拨开这个谜团。

“严刑拷问”之后,才发现这个“尸体”来源于下体,
患者自觉瘙痒难耐,每天像只小猴子一样抓个不停,
外用了妇炎洁、洁尔阴等药物之后还是反反复复发作,
又因为这个特殊部位难以启齿,
偶然之间查看下体时才突然发现有类似的虫子附着在毛发上,
那么这个虫子到底是是什么?它来自哪个星球?
怎样才能彻底端了它的老巢?让我们逐一聊聊这些问题。

这个小虫子名叫阴虱,主要寄生在人体,
反复叮咬吸血引起的传染性皮肤病。
本病主要是性传播疾病,因患者或其配偶有不洁性接触史,
或发病前曾在外留宿,亦可通过被褥、床单等物品间接接触传播。

这个病的主要表现是阴毛部剧烈瘙痒,
晚间为甚,其配偶或者性伴侣可有类似症状,主要局限于耻骨部位,
也可发生在肛门周围、下腹部、腋部等处。
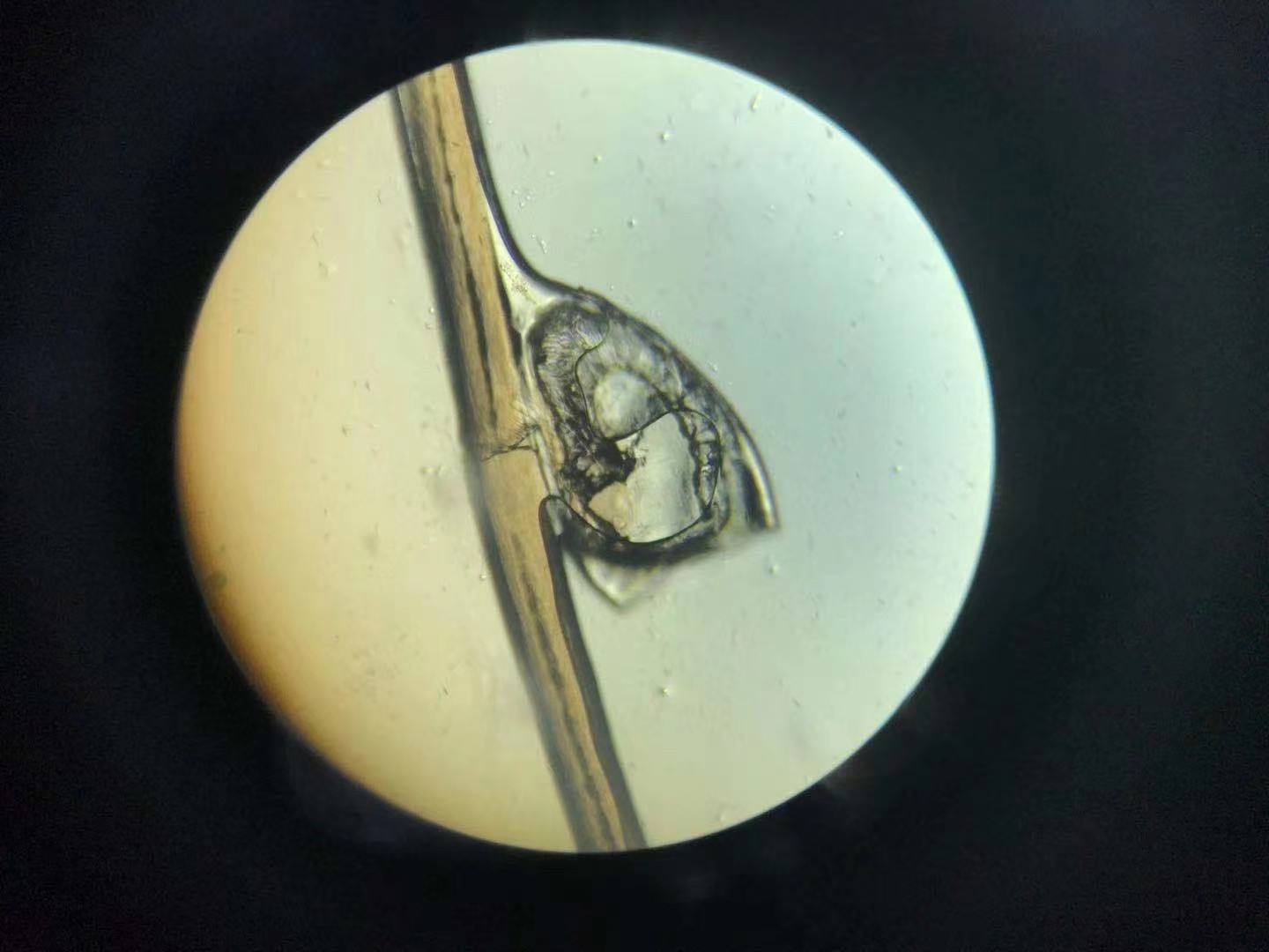
可见阴毛上黏附灰白色砂砾样颗粒(虱卵)、
和缓慢移动的阴虱,阴虱也可一半钻入皮内,一半露在皮外。
皮肤上可见散在抓痕和血痂,或片状蓝色出血性瘀斑,
患者内裤上可有点状污褐色血迹,为阴虱吸血处出血所致。
过度搔抓可继发毛囊炎和疖。
下图是实验室检查出来的几枚非常标志的阴虱。
画面可能会产生不适,胆小勿入。


那么这个问题要怎样预防以及治疗呢?
首先,这个病有传染性,应防治并重,避免与患者接触,
严格消毒及烫洗、煮沸贴身内裤及床单被罩。
其次,治疗上应先刮去阴毛并将剃下的毛用火焚烧掉,
再外涂硫磺软膏及百部酊等药物,每天两次。
最后,可配合具有清热解毒、
凉血杀虫灯功效的中药(如蛇床子、百部、苦参等)进行坐浴治疗,
能收到更良好的效果。

TIPS:得了这个病不要怕,最重要是及时就医,
不要自行乱用药,失治误治,严重可能继发过敏或者毛囊炎等疾病。