胃癌免疫联合化疗治疗案例

王颖医生 发布于2022-07-12 17:42 阅读量1186

本文由王颖原创

晚期胃癌患者免疫联合化疗案例

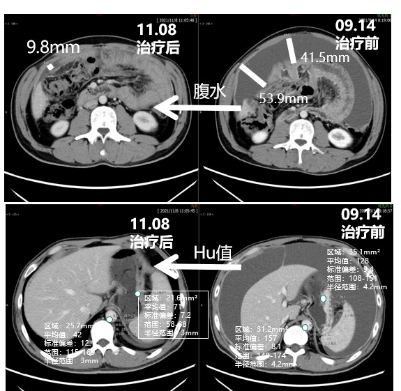
1. 治疗2月后CT评估显示肝转移病灶从18cm缩小至7cm

2. 腹水显著减少;患者体感、生活质量显著改善




图片发自160App

CT评估显示肝转移病灶从18cm缩小至7cm


图片发自160App

腹水显著减少


图片发自160App

晚期胃癌患者免疫联合化疗案例


1. 治疗2月后CT评估显示肝转移病灶从18cm缩小至7cm


2. 腹水显著减少;患者体感、生活质量显著改善

相关疾病: