青少年人群由于处在生长发育时间,精力旺盛且好动,因此难免容易出现各种运动损伤,其中因为在学校参与的运动多与跑跳相关,所以膝关节疼痛相关疾病的发病率也比较高,此时要小心胫骨结节骨骺炎这个常见疾病。
胫骨结节骨骺炎,又称胫骨粗隆骨软骨病,是由于胫骨结节反复牵拉的微创损伤所致的骨突炎,多见于10~15岁体育爱好者及青少年运动员,是年轻运动员膝部最常见的运动劳损。男性多于女性,可单侧也可双侧发病,经常参与体育运动的青少年发病率约为10%~20%,而且常并发高位髌骨畸形。

从解剖角度看,儿童的胫骨近端骨骺为软骨,前缘呈舌状下缘,称为舌状骨骺。该处的骨化中心在11岁左右出现,约16岁左右骨化中心才与胫骨近端骨骺融合成为胫骨结节。在成为胫骨结节处,该处较薄弱,而且骨骺正处于髌韧带的止点,剧烈运动下,股四头肌的强烈或长期持续牵拉容易导致髌韧带出现过度牵拉损伤,导致舌状下缘的骨骺出现损伤、撕脱。进而影响该处的血液循环,引起骨质增生,导致胫骨结节增大,明显向前突出。不少成年人胫骨结节突出明显,就是由于此病引起。



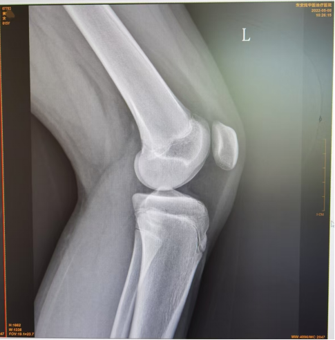
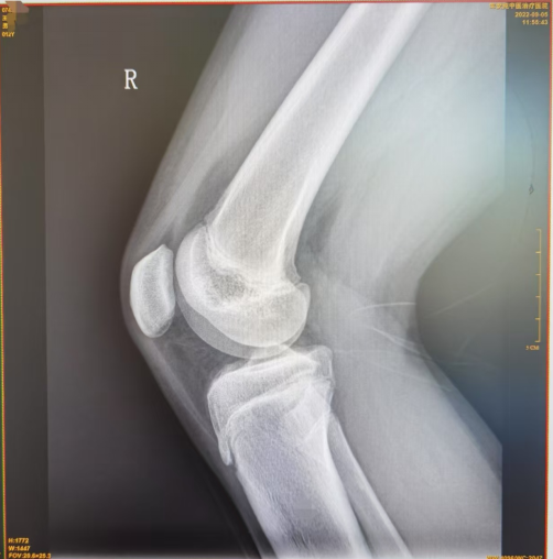
图1可见胫骨结节处无明显损伤,图2可见胫骨结节前缘舌状下缘少许分离,图3可见胫骨结节前缘舌状下缘明显分离且向前凸起。
该病的主要症状为髌骨下方、胫骨近端前方疼痛、胫骨结节肿胀和局部压痛,跑跳运动后加重,上楼梯、斜坡及屈膝、下蹲时疼痛明显。
中医理疗可以取得不错的疗效,主要通过手法理筋正骨、针刺缓解股四头肌的紧张,从而减轻胫骨结节处的压力,使症状好转。