踝扭伤很常见,但是如果诊断不明确,漏诊误诊,就容易耽误病情。
时间:2022年9月23日
地点:宝安纯中医治疗医院骨伤科
患者:王某某,男,38岁。
主诉:左足疼痛3月。
现病史:患者3月前不慎摔倒致左足疼痛,当时及时到外院就诊,拍片检查提示未见明显骨质异常,未作任何处理,嘱患者回家自行休息。患者经长时间休息后症状有所缓解,但遗留左足外侧疼痛,久行、久站后明显,现为求治疗,遂来就诊。
症状:左足外侧疼痛、久行、久站后明显,休息后稍缓解。
体征:左侧第4、5跖骨基底部稍肿胀、压痛(+)。
处理:因患者于我处就诊时诉上次检查拍的片子已经遗失,考虑到长时间疼痛未缓解,为保险起见,遂复查片子。


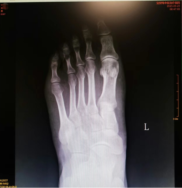
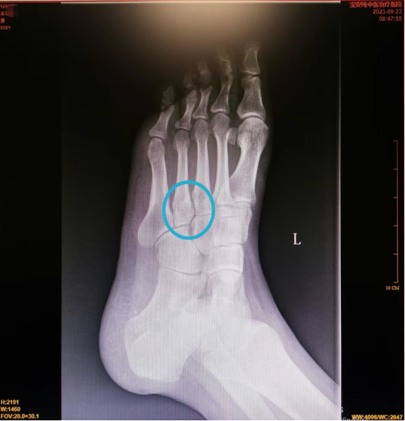
辅助检查:2023-09-23我院右侧足部正斜位片:左足第3跖骨体、第4跖骨基底部骨质密度不均,内见线状影周围骨质密度增高,余足部诸骨骨质未见异常。 考虑左足第3、4跖骨陈旧性骨折,请结合临床病史。
诊断:1、左第3跖骨体陈旧性骨折 2、左第4跖骨基底部陈旧性骨折
治疗:建议休息、减少患肢行走,适当热敷及功能锻炼,不适随诊。
本病例疑惑的就是第一次拍片竟然没发现骨折,考虑可能骨折线隐匿或拍摄片子时忘了拍斜位片,因为正位片上确实很难发现骨折。而没有明确诊断,导致患者没有适当休息、制动,导致3月后仍可见骨折线存在,耽误了病情。