随着社会经济的发展和科技的进步,特别是近10来年智能手机、平板电脑的迅猛发展,使得掌上娱乐进一步普及,手机及平板逐渐成为小孩子的常规玩具,以前常多见于办公室白领的颈椎病,近年来发病人群逐渐低龄化,青少年、幼儿出现颈项部不适也越来越常见,下面介绍一个典型案例。
时间:2020年6月18日
地点:宝安纯中医治疗医院骨伤科
患者:陈某某,男,5岁9月。
主诉:头晕、颈部不适1周。
病史:患儿1周前玩平板电脑后出现头晕、颈部不适,遂告知家长,家长让患儿休息后症状未有明显缓解,于是带其前往当地医院就诊。接诊医生查体及拍片后诊断为寰枢关节半脱位,后经熟人介绍,遂专门乘飞机到我科就诊。
症状:头晕、颈部不适,低头时可加重,休息稍减轻,左侧旋颈不利,偶有恶心欲吐,纳一般,眠欠佳。
体征:颈项部肌肉紧张,右侧头后大直肌、头上斜肌、头夹肌、颈夹肌压痛(+),头左旋受限,生理反射存在,病理反射未引出。
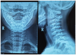
影像:自带当地医院及我院所摄X线片影像均提示寰枢关节半脱位。(左为外院,右为我院)


诊断:寰枢关节半脱位
治疗:
1、理筋:松解颈部肌肉,后枕部肌群及颈侧群肌肉为主。
2、正骨:定向仰正法,松动寰枢关节。
3、调衡:旋转、仰头抗阻训练。
结果:一次理筋后觉颈部不适明显减轻,一次正骨后觉头晕消失,至今未复诊。
讨论及机理探讨:
该病案反映了现如今大部分家长带小孩的现状,忙于工作或无耐心陪同小孩,此时一个简单的手机或平板就能让小孩“安静”一段时间。但小孩仍处于生长发育时期,骨未坚,筋未强,且小孩子自制性、自律性差,不知不觉就会长时间沉迷于掌上娱乐且长时间保持不良姿势。因此,久而久之就易发颈椎病。长期的低头弯腰导致颈项部肌肉慢性劳损,引发关节错位,出现症状。
治疗时以“辨构诊断、调衡治疗”为理念,以理筋正骨调衡为治疗方法。松解相对短缩的后枕部肌群(头后大直肌、头上斜肌、头夹肌)及颈侧群肌肉(颈夹肌、前中后斜角肌)为主;平卧位定向仰正法正骨,恢复寰枢关节的的正常解剖位置,同时通过三向牵伸松解关节周围粘连的关节囊、韧带、肌肉,调整轻微错位的下位颈椎间小关节;旋转、仰头抗阻法调衡关节相关肌肉,防止复发。最后嘱患儿家长注意小孩子平时的坐姿及掌上娱乐时间。
相关解剖:
寰枢关节:
颈椎有7节,其中第1颈椎又名寰椎,第2颈椎又名枢椎,所以第1、2颈椎构成的关节称为寰枢关节,其包括3个滑膜关节,2个在寰椎侧块,1个在正中复合体。分为寰枢外侧关节(由寰椎侧块的下关节面与枢椎上关节面构成)及寰枢正中关节(由枢椎齿突与寰椎前弓后方的关节面和寰椎横韧带构成)。

头后大直肌:
起点:枢椎棘突。止点:枕骨下项线。
功能:后伸并摇动和倾斜头部,将头转向同侧。
头后小直肌:
起点:枢椎后弓结节。止点:枕骨下项线。
功能:后伸并摇动和倾斜头部。
头上斜肌:
起点:寰椎横突。止点:枕骨上下项线之间。
功能:后伸并摇动和倾斜头部,使头向同侧侧屈。
头下斜肌:
起点:枢椎棘突。止点:寰椎横突。
功能:将头转向同侧。

头夹肌:
起点:项韧带下1/2,第7颈椎~第4胸椎棘突。止点:乳突和上项线侧部。
功能:单侧收缩使头和颈部向同侧旋转、侧方屈曲,双侧同时收缩使头和颈部后伸。
颈夹肌:
起点:第3~6胸椎棘突。止点:第1~3颈椎横突。
功能:同头夹肌。

前斜角肌:
起点:第3~6颈椎横突前结节。止点:第1肋斜角肌结节。
功能:肋骨固定,一侧收缩可使头颈部屈向同侧,头部和颈部旋转至相对侧;两侧收缩上提第1肋,助深呼吸,屈曲头部和颈部。
中斜角肌:
起点:第2~7颈椎横突后结节。止点:第1肋上面中份。
功能:同前斜角肌。
后斜角肌:
起点:第6、7颈椎横突后结节。止点:第2肋。
功能:肋骨固定,一侧收缩可使头颈部屈向同侧,头部和颈部旋转至相对侧;两侧收缩上提第2肋,助深呼吸,屈曲头部和颈部。

作者:刘剑宏 齐伟 张成 周钰健 孟庆森