
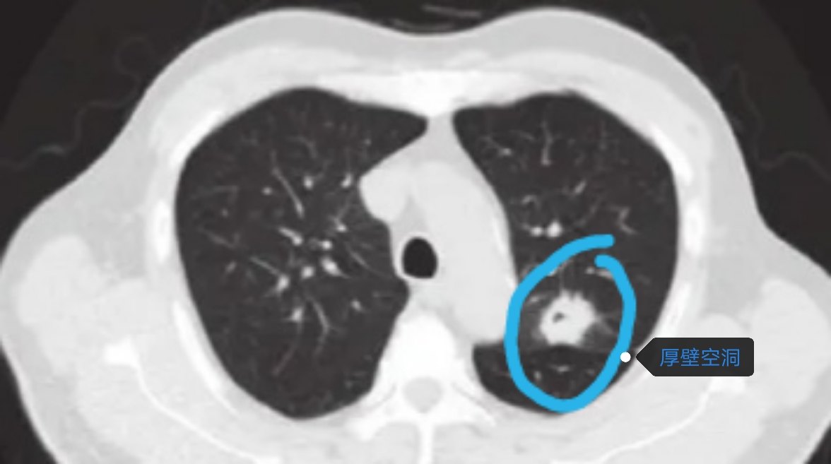
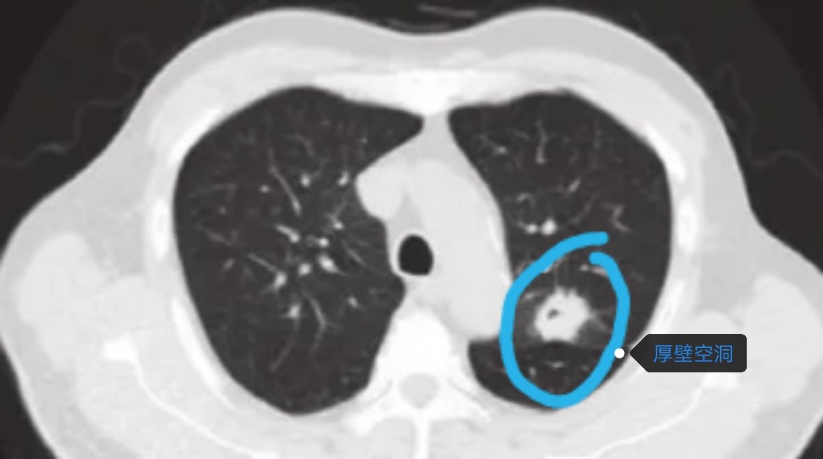
空洞型肺癌主要表现在CT上形成一个空洞,空洞壁厚薄不一,很薄的薄壁空洞看起来像肺大疱,厚壁空洞看起来像是肺炎实变后的眼睛?,空洞的形成机制仍不十分清楚,目前普遍认为厚壁空洞是由于肿瘤组织的缺血、感染及坏死导致肿瘤中央组织缺失后形成空洞 ;薄壁空洞的形成一般认为由于肿瘤细胞沿肺泡壁向细支气管生长或脱落堵塞细支气管,由于细支气管缺乏软骨,肿瘤细胞间接起到了活瓣作用,随着肿瘤细胞对肺泡壁的破坏以及肺泡腔内气体的逐渐增加,肺泡壁破裂,相互融合,形成薄壁空腔。但是,薄壁空洞的定义仍然没有统一的标准,目前多数学者将 4 mm 作为薄壁与厚壁的分界。
空洞的评价内容包括:病变位置、整体形态(不规则、圆形/类圆形)、边缘形态(分叶征、毛刺征)、邻近结构改变(血管集束征、支气管征、胸膜牵拉征)、空洞内壁是否光整、空洞内部结构(分隔、血管穿行)、有无肺气肿,病变密度(实性、非实性);病变最大径、病变最大面积、空洞最大径、空洞最大面积、空洞所占比例、空洞壁的最大厚度、空洞壁增厚的角度。
CT 上表现为磨玻璃结节成分时,病理类型多为原位腺癌、微浸润性腺癌或附壁为主型浸润性腺癌,这些肿瘤成分生长缓慢,代谢活性较低或肿瘤细胞密度较低,因此 PET-CT 中摄取相对较低,结果往往提示为阴性,当实性成分>8 mm 时,PET-CT 才会显示出摄取,因此, PET-CT 对于薄壁空洞型肺腺癌,尤其是实性成分较少、空洞体积较大的病变而言,检测意义不大,但厚壁空洞由于实性成分大,检查容易出现阳性结果。
厚壁空洞型肺癌穿刺取病理容易有阳性结果,但薄壁空洞型肺癌不一定会有较高的阳性率,要注意穿刺引起的气胸和种植转移,腔镜下切除快速冰冻病理可以取得比较准确的诊断,同时根据病理结果决定进一步切除范围。