输尿管结石初发时往往引起剧烈的肾绞痛,这多是由于结石在输尿管内移动引起,疼痛逐渐缓解有时并非意味着结石已排出,随着结石停留在输尿管内时间的延长,输尿管会逐渐适应,有时不进行解痉治疗,肾绞痛也会逐渐缓解,而这种无痛性的输尿管结石往往会使患者丧失就医的警觉,不急于进一步治疗;从而导致输尿管完全梗阻,最终因长时间肾脏重度积水、压力增高压迫肾实质,造成肾实质萎缩,皮质菲薄,最终肾功能丧失。而人体由于有对侧正常肾脏的代偿,常常不会有肾功能不全的临床表现,最终患者多是由于体检或因其他疾病就诊时才发现肾脏已萎缩,这种情况往往令患者后悔和医生惋惜,但此时已于事无补,多数只能切除患肾。
第一例 双侧输尿管结石 双肾重度积水 肾功能失代偿
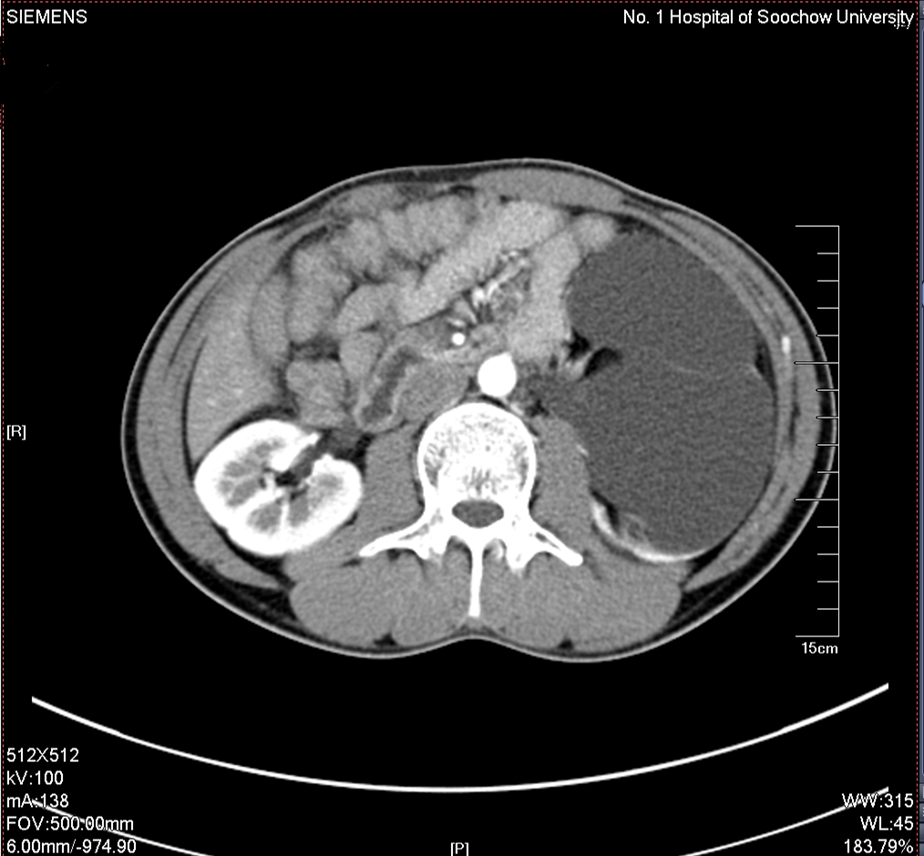
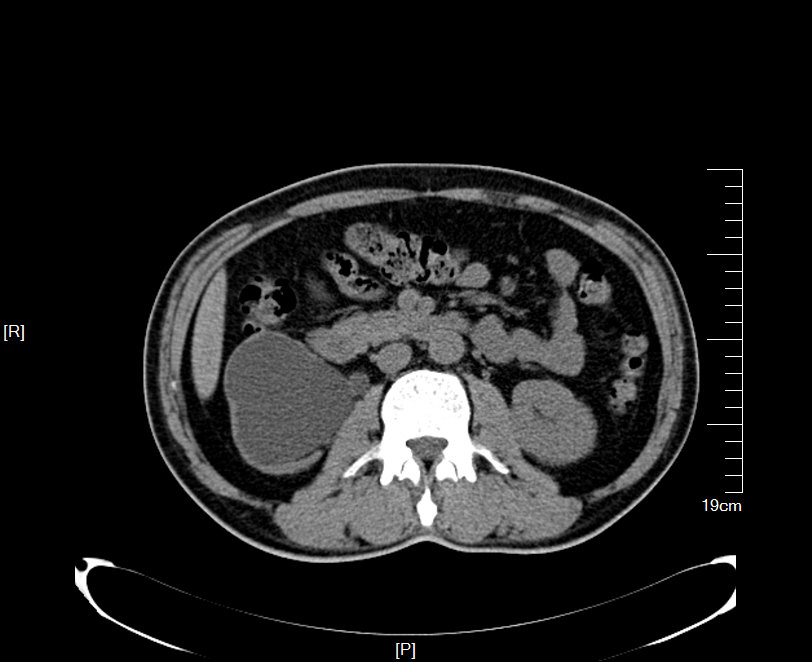
2016年02月手术患者,男性,47岁,河北人,农民,主诉双侧腰部酸胀一年余,伴尿少三天;五年前曾因输尿管结石在当地予以震波碎石3次,后疼痛缓解后未重视,五年来未予以复查,三天前出现尿少,腰部酸胀加重与当地医院就诊后发现病情危重遂来我院求诊,CT:双侧肾脏重度积水,皮质菲薄,双侧输尿管上段扩张明显,双侧输尿管中段结石,左侧结石约1.7cm,右侧约2.8cm左右,GFR:左侧11.7ml/min,右侧16.1ml/min。肾功能:Cr 516umol/L;术前诊断:双侧输尿管结石 双肾重度积水 肾功能失代偿;行双侧经皮肾穿刺造瘘术,保护肾功能,十天后Cr下降至236umol/L,方行双侧输尿管镜检,但由于输尿管梗阻时间太长,输尿管迂曲扩张明显,中段输尿管与周围脏器严重黏连,输尿管镜无法顺利上行,遂行双侧输尿管切开取石术+双侧输尿管裁剪成型术。
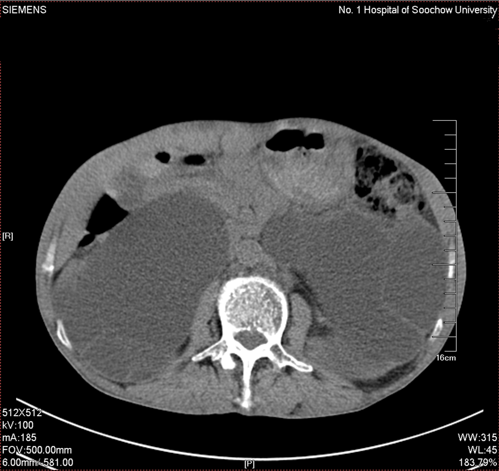
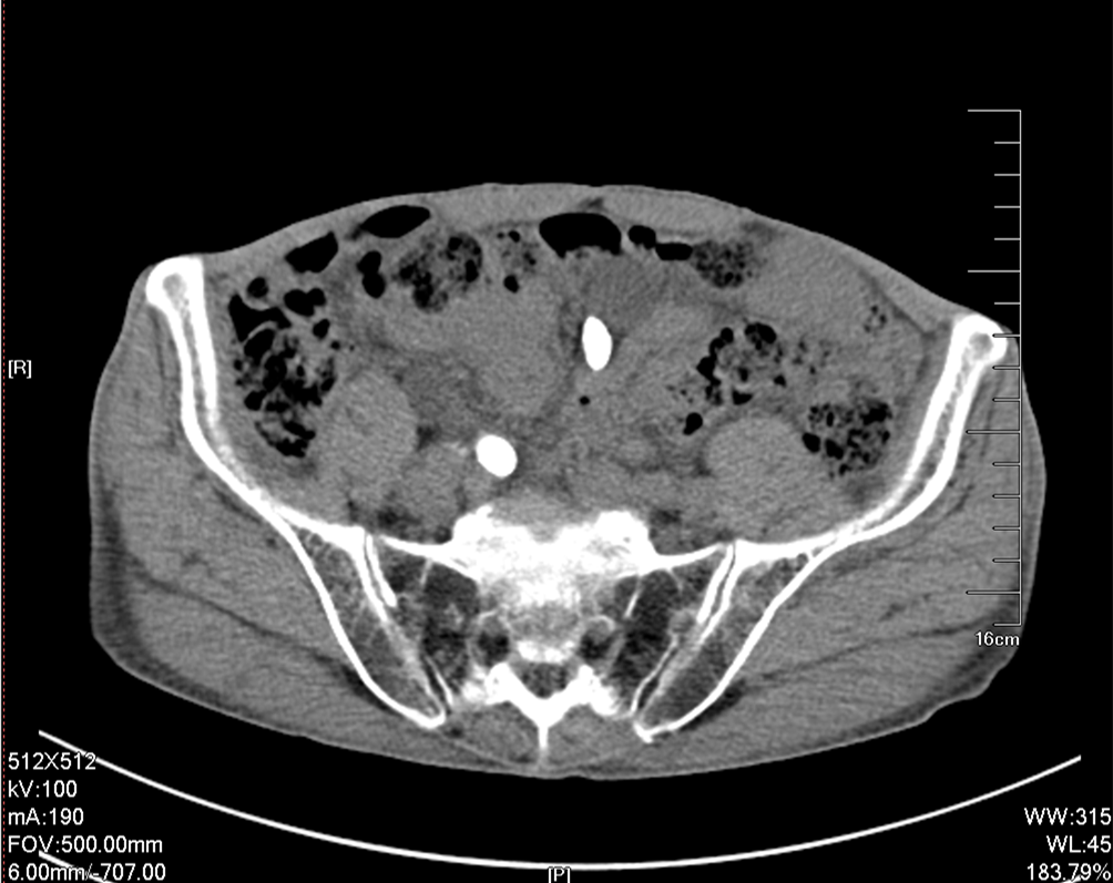
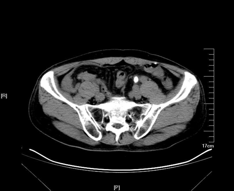
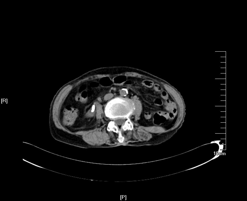
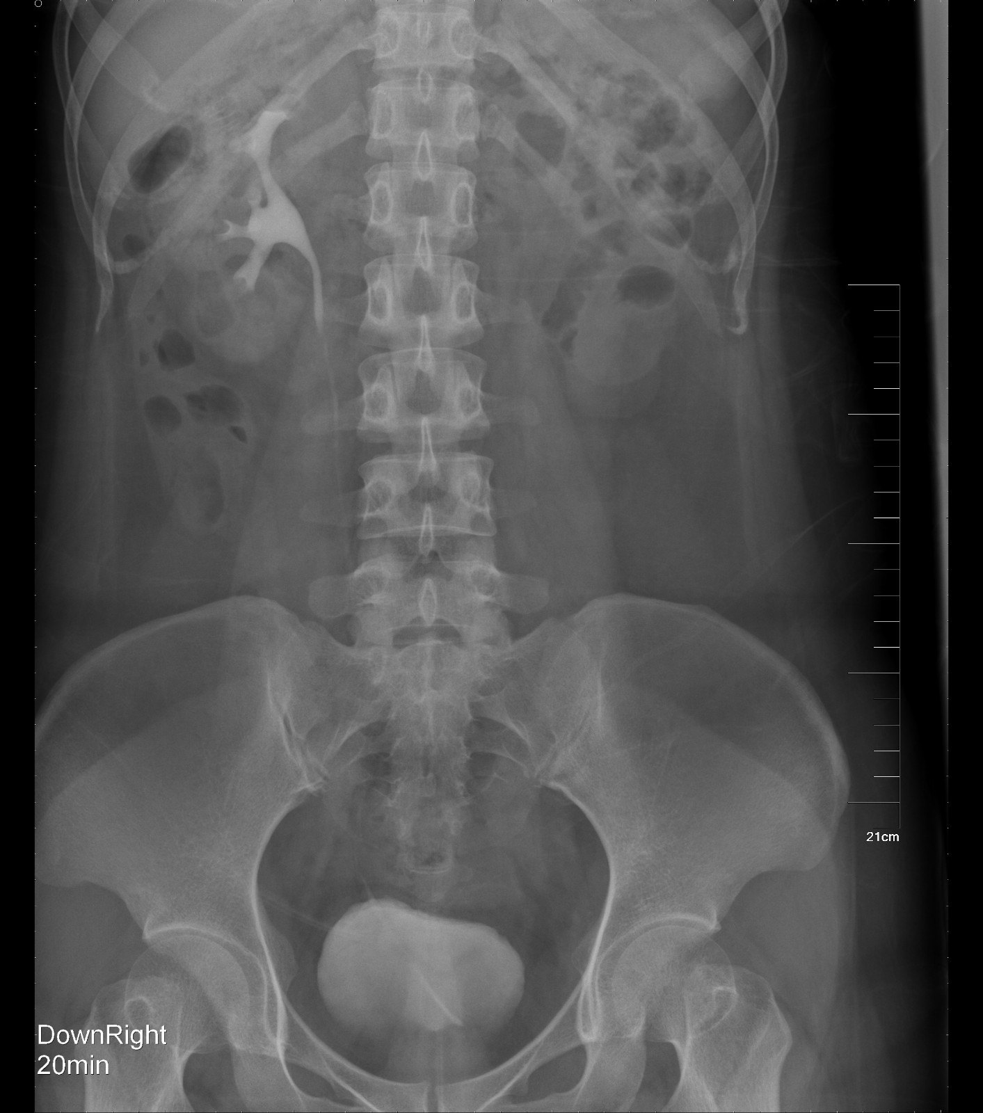
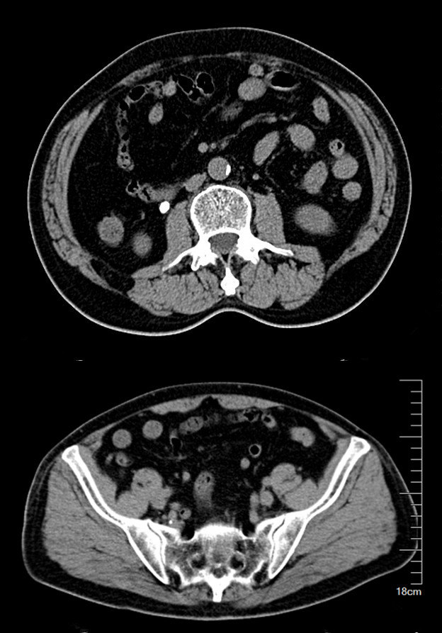
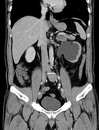
CT检查提示:双侧肾脏重度积水双侧输尿管中段结石 双侧输尿管上段积水扩张


入院后行双侧经皮肾穿刺造瘘术,保护肾功能,十天后Cr下降至236umol/L,顺行造影检查发现双侧输尿管迂曲扩张明显,双侧输尿管结石完全梗阻,造影剂无法进入膀胱。

双侧输尿管切开取石术+双侧输尿管裁剪成型术,术中见上段输尿管因梗阻扩张似肠管,与周围脏器黏连明显,输尿管切开见结石周围包裹息肉,取石钳完整取出结石,双侧输尿管裁剪成型并留置内支架支撑。

术后KUB见双肾造瘘管,及双侧内支架管固定妥善

正常人输尿管长约25cm左右,该患者输尿管迂曲扩张,长达35-40cm左右,裁剪部分输尿管成型
结石分析提示:一水草酸钙结石;术后病理如下:

该患者由于双侧输尿管结石梗阻时间太长,不完全梗阻达五年,近期开始出现完全梗阻,虽经积极抢救治疗,但最佳时机已失,肾脏已经失代偿,出院时Cr还波动在至230umol/L左右,治疗过程中患者与家属相当配合医生的治疗,医患双方都已尽力,但已无法改变肾脏已失代偿的现实,后续治疗的原则是尽可能保护其剩余肾单位的功能,延长其发展至尿毒症的时间,治疗前景不容乐观。
第二例 右输尿管下段多发结石 右肾萎缩 肾功能不全
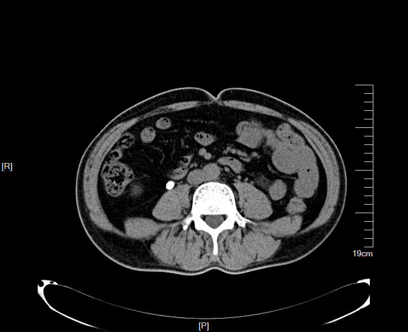
2016年04月手术患者,女性,32岁,昆山人,五年前曾因右输尿管结石引起肾绞痛于当地消炎补液解痉排石处理,疼痛缓解后未于重视,其间从未予复查,2周前出现右腰痛,与当地诊所就诊后予以震波碎石无效,并出现发热,急诊来我院就诊,CT:右肾萎缩,右侧肾脏积水,右侧输尿管多发结石形成石街约4.5*1.5cm,GFR:右侧17.2ml/min,左侧43.2ml/min。因左侧健肾代偿,肾功能正常:Cr 132umol/L;术前诊断:右输尿管下段多发结石 右肾萎缩 肾功能不全,鉴于右输尿管结石梗阻时间太长,肾功能不全,已处于失代偿期,最终也只能行右侧输尿管下段切开取术,解除输尿管下段梗阻,尽可能保护已经萎缩的肾脏,该患者预后不良。
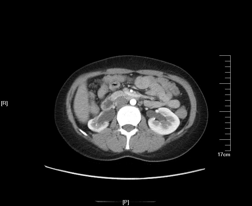
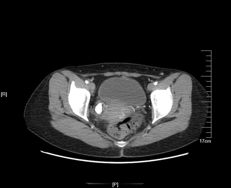
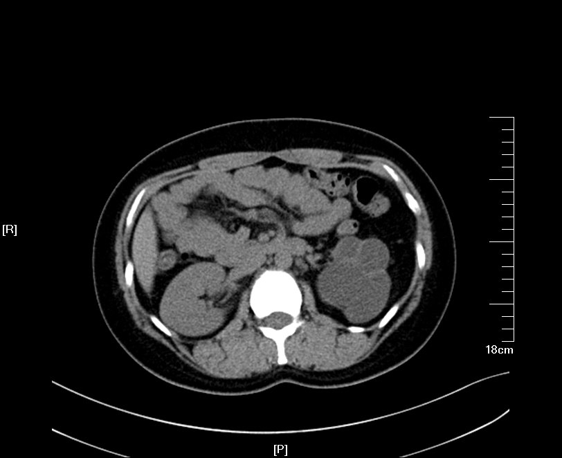
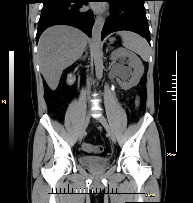
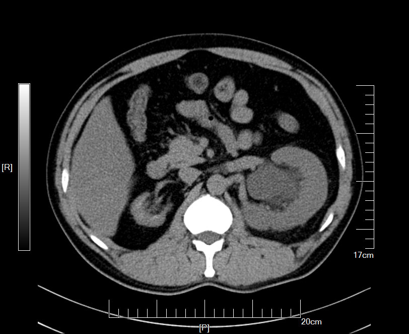
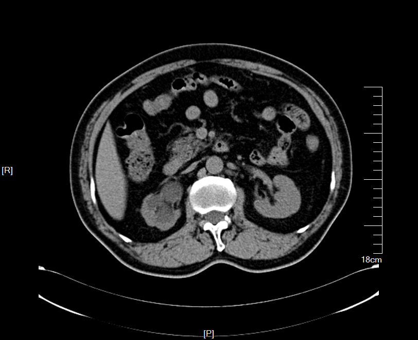
增强CT检查提示:右侧肾脏积水,右肾萎缩,右输尿管下段多发结石


KUB提示右输尿管下段结石呈石街样排列,引起右输尿管完全梗阻,导致右肾萎缩

术中完整取出长串的石头

结石分析结果

第三例 左输尿管结石 左肾重度积水 左肾无功能
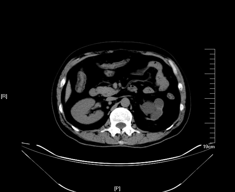
2016年04月手术患者,男性,37岁,盐城人,十七年前曾因左输尿管结石引起肾绞痛在当地予以多次震波碎石,疼痛缓解后未于重视,其间未予复查,一直于当地务农,自称今年来苏打工,招工体检时发现左肾重度积水一周来院求诊;CT:左侧肾脏重度积水,皮质菲薄,左侧输尿管结石约1.5cm,GFR:左侧4.89ml/min,右侧56.9ml/min。因右侧健肾代偿,肾功能正常:Cr 98umol/L;术前诊断:左输尿管结石 左肾重度积水 左肾无功能,鉴于左输尿管结石梗阻时间太长,左肾已几乎无功能,呈现皮囊肾样改变,最终只能行腹腔镜下左侧肾输尿管切除术,一并取出皮囊肾和输尿管及结石。
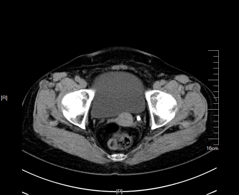
增强CT检查提示:左侧肾脏重度积水 皮质菲薄,几乎已无功能

左侧输尿管结石约1.5cm

GFR:左侧仅4.89ml/min,与增强CT检查相符

术中见左肾如皮囊样,已无正常的肾实质

皮囊肾体积过大,切开清理积水,增加腹腔镜下操作空间

游离肾静脉,发现因长期压迫,肾实质萎缩影响,肾静脉也已萎缩

仔细游离将萎缩的动脉离断,多重夹闭防止出血

完整切除左皮囊肾和输尿管及结石,术中可见皮囊肾如同放了气的气球萎缩一般。

第四例 双侧输尿管结石 右肾萎缩 右肾无功能 左肾积水
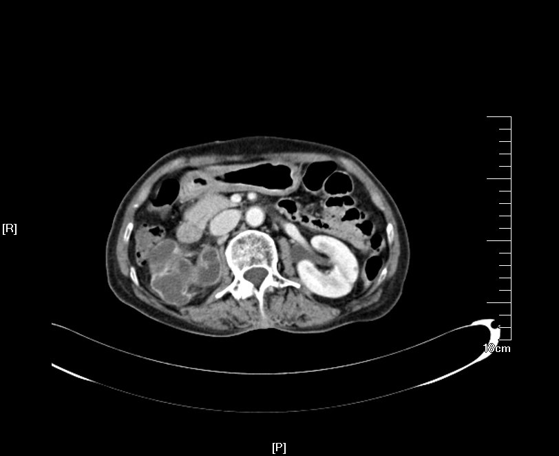
2016年09月手术患者,男性,83岁,太仓人,双侧腰酸不适五年伴体检发现双侧输尿管结石一周入院,五年来患者自觉双侧腰酸,一直未予重视,近期自觉双下肢浮肿且左侧腰痛明显加剧,遂参加社区免费体检时发现双侧输尿管结石遂来院就诊,CT:右肾萎缩无功能,左侧肾脏代偿性增大,左肾积水扩张,双侧输尿管结石,左侧约1.5cm,右侧约2.0cm GFR:左侧41.27ml/min,右侧5.2ml/min。肾功能:Cr 571umol/L;术前诊断:双侧输尿管结石 右肾萎缩 右肾无功能 左肾积水,鉴于右输尿管结石梗阻时间太长,右肾已几乎无功能,萎缩固缩,且肾功能已失代偿,遂只能急症先输尿管镜处理左输尿管结石,保护左侧肾脏,待肾功能稳定后再处理右侧输尿管结石及右肾,患者预后不容乐观。
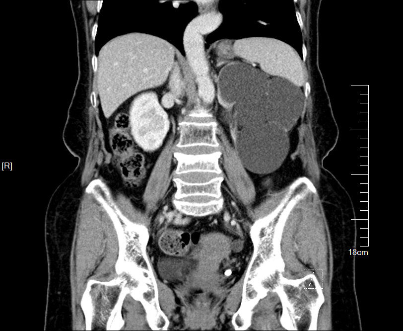
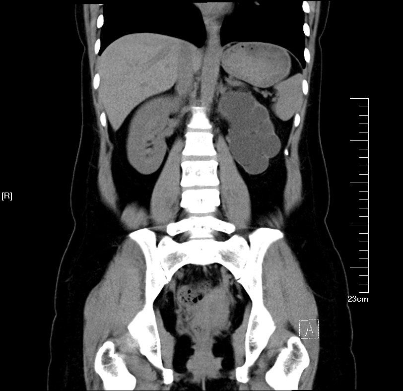
CT检查提示:右肾萎缩无功能,左侧肾脏代偿性增大,左肾积水扩张,双侧输尿管结石



术中输尿管镜下寻及梗阻的输尿管结石

钬激光将大部分结石粉末化,留置支架管保护肾脏

第五例 左输尿管下段结石 左肾重度积水 左肾无功能
2017年02月手术患者,女性,73岁,河北人,体检发现左侧输尿管结石,左肾积水两周入院,两年来患者自觉双侧腰酸,一直未予重视,近期来子女住地参加当地社区免费体检时左肾重度积水遂来院求诊;CT:左侧肾脏重度积水,皮质菲薄,左侧输尿管结石约1.1*0.8cm,GFR:左侧0ml/min,右侧49.6ml/min。因右侧健肾代偿,肾功能正常:Cr 112umol/L;术前诊断:左输尿管下段结石 左肾重度积水 左肾无功能,鉴于左输尿管结石梗阻时间太长,左肾已无功能,实质萎缩,呈皮囊样改变,最终只能行腹腔镜下左侧肾输尿管切除术,一并取出皮囊肾和输尿管下段结石。
增强CT检查提示:左侧肾脏重度积水 皮质菲薄,左肾无功能

左侧输尿管下段结石约1.1*0.8cm


左肾GFR竟然为0ml/min,提示左肾完全无功能


术中见左肾如皮囊样扩张,正常的肾实质已消失
![1497274872271298.jpg 2017-06-12_0930[00_04_48][20170612-211947-1].JPG](https://content-resource.91160.com/resource/160jmxhdf/200417607/331037/30.jpg)
皮囊肾体积巨大,切开菲薄皮质并吸出积水,增加手术操作空间
![1497275198299329.jpg 2017-06-12_0930[00_11_27][20170612-212429-1].JPG](https://content-resource.91160.com/resource/160jmxhdf/200417607/331037/31.jpg)
可见左肾重度积水,肾内有囊性分隔
![1497275259515497.jpg 2017-06-12_0930[00_08_55][20170612-212205-4].JPG](https://content-resource.91160.com/resource/160jmxhdf/200417607/331037/32.jpg)
仔细游离左肾动脉离断,多重夹闭防止出血
![1497275308198306.jpg 2017-06-12_0930[00_05_18][20170612-212338-0].JPG](https://content-resource.91160.com/resource/160jmxhdf/200417607/331037/33.jpg)
游离肾静脉多重夹闭并离断
![1497275339976633.jpg 2017-06-12_0930[00_11_38][20170612-212933-6].JPG](https://content-resource.91160.com/resource/160jmxhdf/200417607/331037/34.jpg)
术中可见皮囊肾如同放了气的气球萎缩一般。
![1497275372799555.jpg 2017-06-12_0930[00_08_49][20170612-213329-8].JPG](https://content-resource.91160.com/resource/160jmxhdf/200417607/331037/35.jpg)
完整切除左皮囊肾和输尿管下段结石

第六例 右侧输尿管结石 右肾萎缩 右肾无功能 右肾重度积水 慢性肾炎
2017年03月手术患者,男性,52岁,常州人,右侧腰酸四年伴体检发现右侧输尿管结石三天入院,四年来患者自觉右侧腰酸,由于患者长期务农自认为腰肌劳损一直未予重视,近期自觉胸闷气急,于当地社区拍胸片提示右输尿管结石,遂来院就诊,CT:右肾萎缩,右肾积水扩张,右侧输尿管结石约1.5cm左右,双肾小结石约0.4-0.5cm左右,GFR:左侧7.89ml/min,右侧0ml/min。肾功能:Cr 516umol/L;尿常规:蛋白尿++,术前诊断:右侧输尿管结石 右肾萎缩 右肾无功能 右肾重度积水 慢性肾炎,鉴于右输尿管结石梗阻时间太长,右肾已几乎无功能,而且患者有蛋白尿慢性肾炎,肾功能已失代偿,患者与家属认为由于肾功能已失代偿,希望尽可能保护已几乎无功能的右肾,以拖延发展至尿毒症需血透的时间段,经科室讨论同意其要求,遂先行右侧经皮肾穿刺造瘘术,引流肾积水,控制感染,再行右输尿管镜检钬激光碎石,患者预后很差,发展至尿毒症期只是时间问题了。
CT检查提示:右肾萎缩,右肾积水扩张,右侧输尿管结石约1.5cm左右,双肾小结石约0.4-0.5cm左右


GFR:左侧7.89ml/min,右侧0ml/min,提示右肾无功能,左肾功能也失代偿

右侧经皮肾穿刺造瘘术,引流肾积水,控制感染

术中输尿管镜下发现右输尿管结石由于梗阻时间太长,已被息肉包裹,引起输尿管完全梗阻
![1497442499888454.jpg 2017-06-14_1202[00_08_07][20170614-195328-1].JPG](https://content-resource.91160.com/resource/160jmxhdf/200417607/331037/41.jpg)
予以钬激光将结石粉碎,完全恢复右输尿管的连续性,但由于就诊太晚,预后很差,日后血透治疗已不可避免
![1497442541208520.jpg 2017-06-14_1202[00_10_42][20170614-200022-0].JPG](https://content-resource.91160.com/resource/160jmxhdf/200417607/331037/42.jpg)
第七例 左输尿管上段结石 左肾萎缩 左肾无功能
2017年04月手术患者,男性,55岁,张家港人,体检发现左侧上段输尿管结石,左肾积水五年,五年前患者于当地单位体检发现左侧上段输尿管结石,左肾积水自觉无明显症状,一直未予重视,也未行震波碎石治疗,该患者每年都体检,自觉结石小而且无明显主观症状也不治疗,对医生建议其尽快治疗的意见置若罔闻,两周前患者再次年度体检,当地医生对其说左侧肾脏已萎缩无功能,患者才在子女陪同下来我院进一步检查;CT:左侧肾脏萎缩无功能,重度积水,皮质菲薄,左侧输尿管上段结石约1.5*1.0cm,Cr 89umol/L;术前诊断:左输尿管上段结石 左肾萎缩左肾重度积水 左肾无功能,鉴于左输尿管上段结石完全梗阻时间近五年,左肾完全萎缩,为防止结石刺激引起癌变,只能行腹腔镜下左侧萎缩肾切除术,切除左萎缩肾、输尿管上段结石及输尿管。
CT检查提示:左侧肾脏实质萎缩、重度积水,左肾无功能


清晰游离肾动静脉多重夹闭并离断

术中可见左萎缩肾与周围脂肪和腹膜脏器黏连明显

寻及嵌顿的左输尿管上段结石并切除

术后标本显示左萎缩肾已无正常形态,只有依稀轮廓存在

由于梗阻时间太长,萎缩肾合并感染明显,术后当晚患者即出现高热,心率偏快的等尿源性脓毒血体征,予以积极抗感染控制炎症,病情方趋于平稳。


术后病理明确萎缩肾,结石分析提示为混合型结石,患者需根据预防建议调整饮食结构、适当运动、定期复查防治对侧肾脏结石发作,积极保护肾脏功能。



第八例 右侧输尿管结石 右肾萎缩 右肾无功能 右侧脓肾 左肾多发囊肿
2017年07月手术患者,女性,88岁,昆山人,右侧腰酸不适三年伴发热两周入院,三年来患者自觉右侧腰酸未予重视,两周前自觉右侧腰痛明显加剧,且出现发热畏寒,体温波动于38-39度左右,于当地社区卫生站消炎补液解痉无效后,来院就诊,CT:右肾皮质萎缩,右肾积水,左肾多发囊肿,右侧输尿管结石约2.0cm GFR:左侧60.12ml/min,右侧6.87ml/min。肾功能:Cr 87umol/L;尿常规:WBC 1620/HP,C反应蛋白189,术前诊断:右侧输尿管结石 右肾萎缩 右肾无功能 右侧脓肾,左肾多发囊肿;鉴于右输尿管结石梗阻时间太长,右肾已几乎无功能,且炎症指标明显升高,右肾区叩击痛明显,考虑脓肾可能性极大,遂行右侧经皮肾穿刺引流术,引出脓液200ml,积极控制感染一周,最终行腹腔镜下右侧肾输尿管切除术,一并取出右侧脓肾和输尿管及结石。
CT检查提示:右肾萎缩无功能,右肾呈弥漫炎性改变,右肾积水扩张,右输尿管上段结石


第九例 左侧输尿管下段小结石 左肾萎缩 左肾无功能
2018年03月手术患者,女性,24岁,兰州人,左侧腰酸不适两年入院,两年来患者自觉左侧腰酸后发现输尿管下段结石,于当地行震波碎石治疗后好转未予重视,两周前招工体检发现左肾皮质萎缩,左肾重度积水,左侧输尿管下段小结石约0.4cm GFR:左侧4.85ml/min,右侧87ml/min。肾功能:Cr 82umol/L;术前诊断:左侧输尿管下段结石 左肾萎缩无功能;鉴于左输尿管结石梗阻时间太长,左肾已几乎无功能,最终行腹腔镜下左侧肾输尿管切除术,患者很年轻,因为一枚仅0.4cm的小结石导致一侧肾脏的丢失,相当可惜。
增强CT检查提示:左侧肾脏重度积水 皮质菲薄,左肾无功能

左侧输尿管下段小结石仅仅4毫米大


KUB+IVP提示左肾不显影,左输尿管下段小结石由于直径太小,仅仅4毫米,密度较低,在X线下几乎不显影。


GFR:左侧仅4.85ml/min,提示左肾功能已经彻底丧失。

第十例 左侧输尿管上段结石 左肾重度积水 右肾萎缩 右肾无功能
2018年12月手术患者,男性,36岁,杭州市人,双侧腰酸不适五年入院,五年前患者曾于外院因双侧输尿管结石行右输尿管镜钬激光碎石+腹腔镜下左输尿管切开取石术,术后一直未予重视未到医院及时复查,两周前患者自觉左侧腰酸遂到当地医院体检B超发现左输尿管上段结石2.0*1.0cm,左肾集合系统分离2.9cm,右肾萎缩,右肾结石,于当地行震波碎石治疗后左肾疼痛加剧,遂急诊来我院求治疗,术前诊断:左输尿管上段结石 左肾积水 右肾结石右肾萎缩无功能;鉴于患者外院行右输尿管镜钬激光碎石后未及时定期复诊,可能出现继发右输尿管狭窄闭锁最终导致右输尿管完全梗阻,右肾萎缩无功能,而且患者已出现高血压,最终一期行左输尿管软镜下钬激光碎石,保护好左肾功能后二期行腹腔镜下右侧萎缩肾切除术,患者相对年轻,预后不容乐观,需要长期密切随访,保护好仅存的左肾,防止尿毒症的发生。
增强CT检查提示:右肾萎缩无功能,左输尿管上段结石,左肾重度积水



2020年03月手术患者,男性,66岁,苏州市人,右侧腰酸不适一年入院,术前诊断:右输尿管上段结石 右输尿管下段结石 右肾积水 右肾结石右肾萎缩,GFR:左侧37.9ml/min,右侧20ml/min,双侧肾脏功能均受损,鉴于右输尿管多发结石梗阻时间较长,右肾萎缩,而且患者左侧肾功能也比较差,遂行右输尿管镜下钬激光碎石术,解除右输尿管的梗阻,恢复上尿路连续性,保护剩下不多的右肾单位,从而维持患者总肾功能的稳定,该患者幸运的是社区体检及时的发现了,右输尿管完全梗阻的时间较短,右肾功能没有完全伤失,从而争取到挽救的时机,避免了切除肾脏的风险,目前定期随访监测中。
增强CT检查提示:右侧肾脏重度积水 皮质菲薄,右肾大部分实质已萎缩

KUB提示右输尿管上段结石,和右输尿管下段结石并存,如同河流上的两道堤坝,引起右输尿管完全梗阻,导致右肾萎缩


GFR:左侧37.9ml/min,右侧20ml/min,双侧肾脏功能均受损,右侧更为显著。

术中见右输尿管下段狭窄并发结石引起梗阻
![1587096848435801.jpg 2020-04-15_1052[00_05_47][20200417-115853-0].JPG](https://content-resource.91160.com/resource/160jmxhdf/200417607/331037/69.jpg)
![1587096593733319.jpg 2020-04-15_1052[00_05_04][20200417-115349-2].JPG](https://content-resource.91160.com/resource/160jmxhdf/200417607/331037/70.jpg)
钬激光将梗阻结石粉碎,恢复尿路连续性。
![1587096717388345.jpg 2020-04-15_1052[00_08_05][20200417-115513-5].JPG](https://content-resource.91160.com/resource/160jmxhdf/200417607/331037/71.jpg)
输尿管上段结石嵌顿时间较长,结石和息肉交错生长。
![1587096649573217.jpg 2020-04-15_1052[00_05_20][20200417-120021-2].JPG](https://content-resource.91160.com/resource/160jmxhdf/200417607/331037/72.jpg)
将结石清除后输尿管内可见大量息肉增生
![1587124060200629.bmp 2020-04-15_1304[00_03_48][20200415-214657-2].BMP](https://content-resource.91160.com/resource/160jmxhdf/200417607/331037/73.jpg)
留置内支架管,保持尿路通畅,促进肾功能恢复。


左输尿管下段三枚结石呈石街样排列,引起输尿管完全梗阻,导致左肾实质萎缩,左肾重度积水。


采取钳夹结合钬激光碎石,减少对输尿管壁的损伤,恢复输尿管的连续性。
![1591195759187324.jpg 2020-06-03_0914[00_05_20][20200603-215435-3].jpg](https://content-resource.91160.com/resource/160jmxhdf/200417607/331037/78.jpg)
![1591195818128858.jpg 2020-06-03_0914[00_04_24][20200603-220817-3].jpg](https://content-resource.91160.com/resource/160jmxhdf/200417607/331037/79.jpg)
![1591195875198027.jpg 2020-06-03_0914[00_10_01][20200603-214342-2].jpg](https://content-resource.91160.com/resource/160jmxhdf/200417607/331037/80.jpg)

经过积极的挽救性治疗该患者保住了左肾,得到了患者及家属的认可,但并不是所有患者有这样的好运,在尿路结石的治疗过程中患者需要加强重视,不要一味依靠排石处理,以免耽误最佳治疗时间。

就诊经验:结石患者不能因为肾绞痛的消失,而忽视了对输尿管结石的重视,目前对输尿管结石诊断最准确的是平扫CT,此外肾结石的患者需定期随访B超,防止肾结石排石过程中结石梗阻在输尿管位置,避免以上情况的发生,而输尿管结石患者一定要确认输尿管结石已排除,肾积水已缓解,不能以疼痛消失为标准,否则一颗老鼠屎会坏了一锅粥呀。
临床手术经验总结于编著的《外科学》中向广大医学院校的大学生、研究生推广学习,以期取得良好教学效果。

