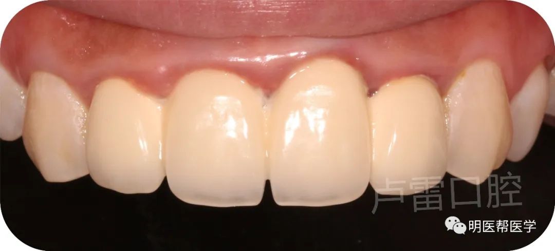
患者多年前因前牙龋坏,做金属烤瓷冠修复体,因修复体边缘不密合,导致清洁困难,牙结石堆积,牙龈出现炎症反应,牙龈红肿,平时刷牙牙龈易出血。原金属烤瓷冠修复体颜色和形态不协调,影响美观和功能。
治疗修复方案:拆除原金属烤瓷冠修复体,治疗牙龈炎及牙齿,重新数字化全瓷冠修复。
术前金属烤瓷冠修复


拆除原金属烤瓷冠修复体后,经牙龈炎治疗和自体牙齿的清理治疗。
牙龈恢复健康

牙龈及牙齿经过治疗后,已经达到再重新修复的条件。
口内数字化扫描

电脑数字化设计制作

根据扫描数据制作生成全瓷冠形态,大小,边缘,咬合关系,


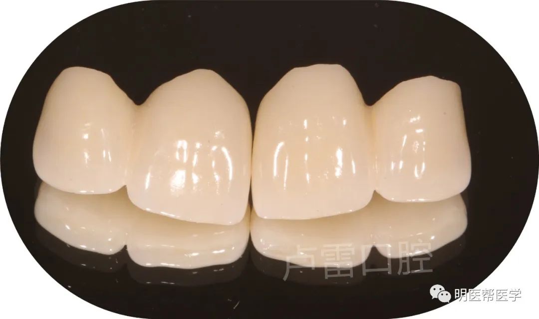
数字化全瓷设计完整后,将设计好的全瓷冠数据传输至瓷睿刻研磨机,选择好瓷块,最终完成。

全瓷冠修复体制作完成

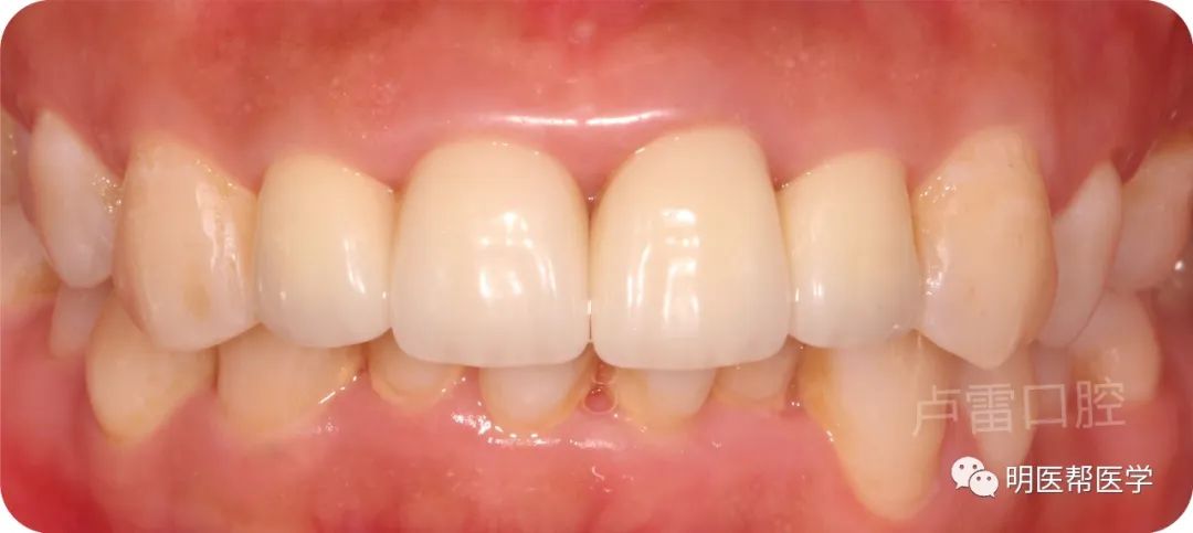
数字化修复后口内观察

全瓷冠修复体 颜色逼真,形态自然,牙龈恢复健康。


数字化全瓷冠修复后左侧右侧


数字化全瓷冠修复后口内牙齿前后对比

数字化全瓷冠修复后微笑前后对比

