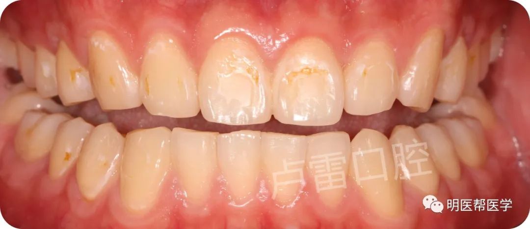
矫正治疗后牙面有黄色斑点状脱矿现象,影响美观。采用 微创数字化全瓷贴面修复上颌牙 术前、术中、术后对比。
全瓷贴面修复目的:改变 上颌前牙的颜色和外观,颜色要求与其他牙齿颜色接近、略微白。
第一步,修复前拍照、比色和设计方案

上颌前牙修复术前拍照片

正面微笑照片 
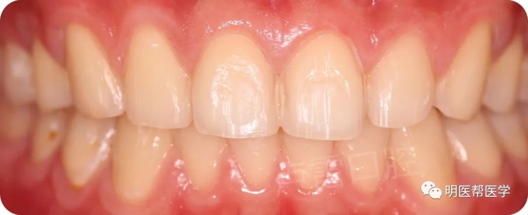
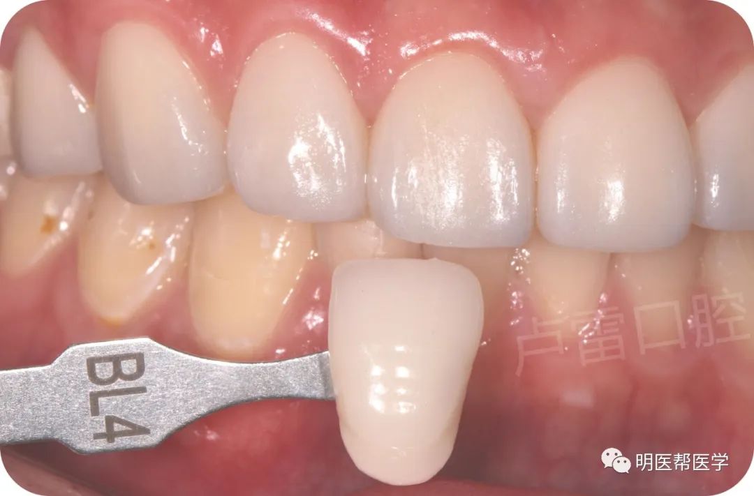
第二步,牙面清洁、抛光、牙体预备。

修复术中牙体抛光照片 

第三步,数字化扫描,数字化设计和制作

全套设计制作仪器设备

数字化口内扫描
电脑设计全瓷贴面形态

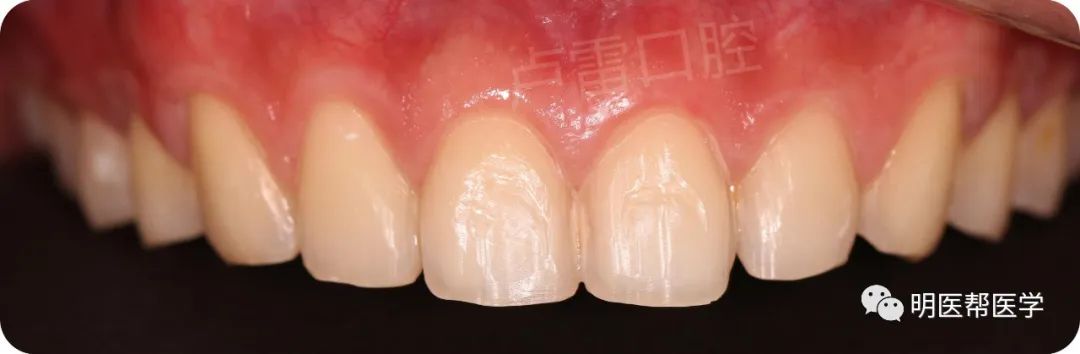
第四步,制作完成后检查全瓷贴面完整性和透光性。

检查完成性和透光性 


模型上试戴
第五步,粘固数字化全瓷贴面
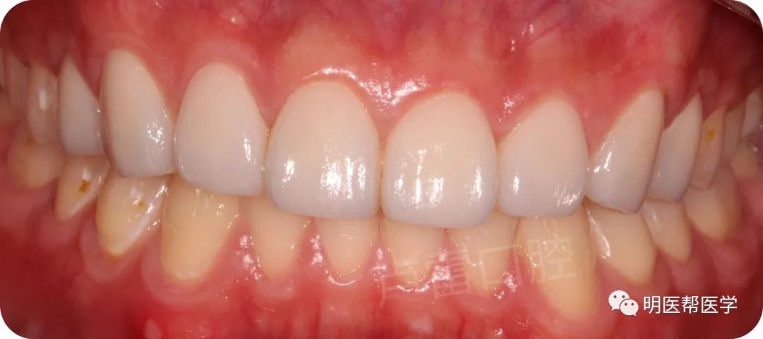
修复后正面照片

修复后侧面照片

全瓷贴面修复后 微笑照片

数字全瓷微创全瓷贴面修复术前和术后对比照片

1、数字化全瓷贴面修复,通过口腔牙齿数字扫描,替代了传统修复取模,避免了取模时候的恶心等不适。杜绝了取模失误及模型变形等误差。
2、数字化全瓷贴面修复,是通过扫描后电脑设计德国进口瓷睿刻研磨生成。替代了传统的石膏模型上制作,杜绝了石膏变形导致修复体边缘不密合和人工误差,修复体制作更密合。
3、数字化全瓷贴面修复,可以在牙椅旁即可制作完成,单颗修复体全程1个多小时即可戴牙,当天使用。大大缩短了就诊时间和来就医次数,节约的时间。
4、数字化全瓷贴面修复,硬度和使用寿命与全瓷冠修复体同等。还不需要把真牙齿磨小,属于微创修复。现在的医疗技术提倡保留更多的牙体组织,减少不必要的磨除过多的牙体,增加牙齿使用寿命。
5、数字化全瓷贴面,修复颜色与真牙协调逼真,可以现场调改修复体颜色。可以达到与真牙难以区分。
