龋病,是指发生在牙齿的硬组织之上的,而且是慢性发展的,细菌为主要致病因素,渐行性改变的疾病。龋齿一般会造成牙齿硬组织的质地,硬组织的形态和硬组织的颜色的异常,影响患牙的咀嚼功能,或者是美观功能。

龋齿,根据去除龋坏组织并形成窝洞的洞型,可以分为五类:
下面卢主任给朋友讲讲各种龋坏的处理方法,以后补牙也可以参考。
处理方案 1、是首选
2、是次选
3、次次选
处理方案是根据牙齿龋坏面积、龋坏位置、补牙修复材料优缺点、使用寿命、对牙齿起到的保护防止断裂、恢复牙齿咀嚼功能、恢复牙齿美观、等多方面来评估选择处理方案。
第一类是发生在所有的牙齿的窝沟内的龋齿所制备的洞,叫做Ⅰ类洞 (图一)。
图一

处理方案 : 1,树脂材料补牙。
分析:龋坏面积小,周围预留牙壁厚,补牙后材料不易脱落,牙齿也不易崩裂。补牙补牙最佳时期。
第二类是发生在后牙邻面的龋齿所制备的洞,叫做Ⅱ类洞(图二)。
图二

处理方案:1、全瓷嵌体
2、硬度高的材料补牙
3、全瓷冠修复
分析:因为二类洞是两牙之间的边缘洞,洞的周围少了一个面牙壁,而且洞的两边牙壁很薄,容易断裂。1、所以选择硬度高,又可以保护比较薄的牙壁不容易断裂,第一选择是全瓷嵌体,属于微创修复。2、因补牙材料硬度有限,起不到护薄的牙壁,如补牙材料选择不当,补牙后咀嚼比较硬的食物牙齿薄壁容易断裂和补牙材料脱落,导致食物嵌塞,补牙失败。3、全瓷冠修复,需要把牙齿磨小,对牙齿有一定的损害,不适很微创,所以全瓷冠是次次选择。
图三

图四
补牙后牙齿断裂 全瓷嵌体修复

第三类是发生在前牙邻面,但是没有损伤切角的龋齿所制备的洞,叫做Ⅲ类洞。
图五

处理方案:1、树脂补牙
2、全瓷贴面
分析:这类龋坏首选是补牙,这种龋坏咀嚼时候受力小。但是补牙材料的选择和医生的技术很关键,因为是前牙对美观要求比较高,补牙后要做到外表补牙材料与牙齿衔接成为一体,印记少。
如果像下(图六)龋坏面积大就不建议做补牙了,需选择全瓷贴面修复。
图六

(图七)箭头所指的位置两年因大面积龋坏做充填术,先补牙材料颜色发黄,补牙材料与牙齿之间出血裂痕。右图是拆除原补牙材料改做全瓷贴面修复。
图七

第四类是发生在前牙邻面并且损伤了切角的龋齿所制备的洞,叫做Ⅳ类洞。(图八)
图八

处理方案:1、全瓷贴面
2、全瓷冠
3、树脂补牙
分析:因为牙齿切端缺损,这个位置我们在进食的时候前牙是切断食物,受力非常大,补牙材料固位力不够,很容易补牙材料脱落。全瓷贴面和全瓷冠都比补牙材料硬度高,固位佳,切割食物时能承受更大力,所有最佳选择是全瓷贴面。下图九、图十是全瓷贴面术前术后对比。
图九

图十

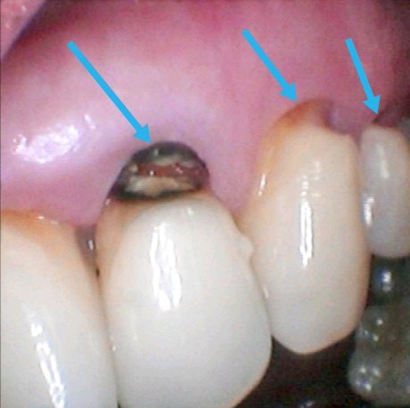
第五类是发生在牙齿的唇侧或者是舌侧的将近牙龈1/3颈部的龋齿所制备的洞,叫做Ⅴ类洞。(图十一)箭头指向
图十一

处理方案:1、补牙
2、全瓷贴面
分析:牙齿颈部龋坏首选是补牙,前提先要改变刷牙的方法和矫正咬紧牙或夜磨牙的的习惯,防止补牙材料受外力作用脱落。(图十二)。
如果龋坏缺损面积过大补牙后影响美观建议做全瓷贴面。
图十二

希望朋友们看完文章对牙齿疾病的治疗有所所了解,我的努力也是值得的。
