南方医科大学深圳医院骨科中心 小儿骨科
儿童先天性髋关节脱位畸形疾病复杂多变,每个人的情况都不一样,治疗复杂,不同的年龄段有不同的治疗方法,在外科手术治疗中,由于畸形情况和手术方式的复杂与多变性,外科医生需要针对病变进行精确测定,因此术前制定针对不同髋关节畸形患者的精确化手术方案非常必要。先髋严重畸形会引起患肢短缩跛行,股骨头坏死,髋关节活动受限,骨性关节炎,严重影响日常活动,危害很大,如果治疗不当会留下终生病废。
目前随着影像技术的发展及3D技术的成熟,个体化设计及制造的生产效率显著提高,在对复杂疾病的治疗中发挥越来越大的作用,比传统的需要临床医生术中探查、通过触摸感觉病变情况,凭借丰富的临床经验和手术技巧来完成手术更精准,更能个性化治疗,减少人为误差,极大增加了手术的安全,大幅度提高了手术的治疗效果,是以后医疗发展的一个趋势。有幸的是我们南方医科大学深圳医院骨科有自己的数字化3D打印中心实验室,是深圳市重点实验室,解决了骨科很多疑难疾病,从而弥补传统个体化治疗效率上的不足。

三D打印机

三D打印模型收藏架
近期我院小儿骨科专业把数字化3D打印应用到儿童先天性畸形的矫治过程中,取得了显著的效果。近期治疗一例儿童发育性髋关节脱位畸形(俗称先髋)术后复发翻修的治疗中,取得了很好的效果。患儿2岁时在当地医院行截骨重建手术,效果不理想,随着年龄的增长病情逐渐加重,患者家属很着急无助,发育性髋关节脱位(DDH)是是儿童最严重的先天性骨骼畸形,治疗困难,术后翻修的病例更是难上加难,很是棘手,术前详细的检查规划很关键。我们用的3D打印机将患儿的骨盆和股骨一比一完整的打印出来,并在计算机上模拟手术操作,准确获得术前截骨部位和截骨后骨块旋转及移位的角度与距离,可以通过多次重复操作选择最理想的位置,获得准确的测量数据,并且术前在3D打印的模具上预截骨,使得手术操作更加精确,最大限度的避免了由于骨块旋转及位移角度不足或者过度造成的术后再脱位或者撞击相关问题。从而可以明显提高手术成功率,减少并发症发生。

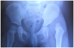
第一次术前


第二次术前

术前模型

术前模拟截骨矫形

术后DR
随着技术的进步,3D打印技术越来越成熟,在医学上的应用越来越广泛,特别是对先天后天的骨骼畸形的治疗上帮助更大,南方医科大学深圳医院骨科中心设有深圳市3D打印重点实验室,在这方面做了大量的临床研究工作,解决了骨科上很多疑难病患,特别是对儿童的先天和后天畸形的治疗有很大的帮助,使手术更加有的放矢,减少了人为的失误,手术更加安全有效。
3D打印技术运用使骨科的治疗更加数字化、精准化、个性化和微创化。