
•儿童的锁骨骨折的受伤机制
是由于小儿肩膀受伤,横向挤压造成锁骨骨折的
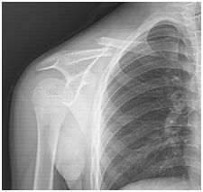
•儿童的锁骨骨折的受伤时的临床表现
受伤后孩子诉肩膀疼痛,患肢拒动,按压锁骨疼痛明显
•儿童的锁骨骨折的治疗
1.一般儿童的锁骨骨折大部分只需要保守治疗,极少需要手术治疗
2.保守治疗
八字绷带固定
儿童锁骨带固定

3.手术治疗适应症
怀疑有血管神经损伤
骨折移位明显的
4.手术方法
成人是钢板固定
儿童最适合弹性髓内钉治疗


•儿童锁骨骨折的注意事项
1.儿童因为骨头会生长塑形,所以骨头不需要对的严丝合缝,锁骨骨折只需要骨折分离不明显,骨折断 端 短缩重叠矫正即可,后期一般会恢复很好,1-2年后患儿发育塑形后会恢复原样的
2.大部分患儿不需要手术治疗
3.儿童锁骨骨折睡觉姿势最好仰卧位或者健侧卧位,禁止俯卧位和患侧侧卧位睡觉