
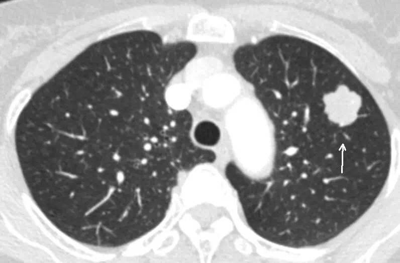
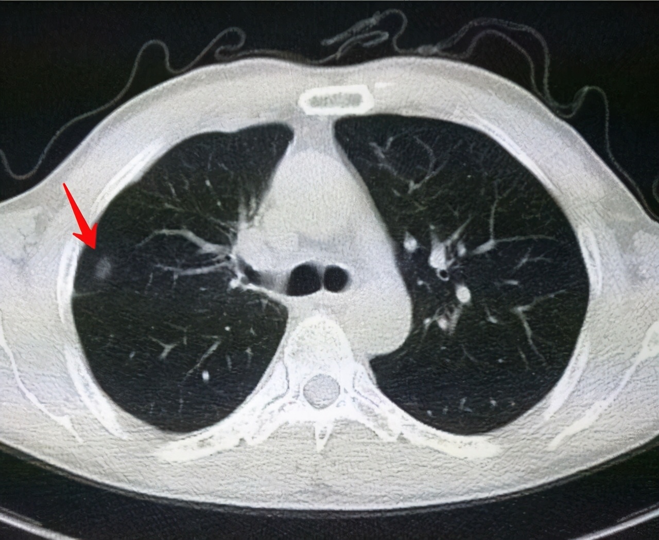
肺肿瘤
肺结节良性率大于90%,比较麻烦的是有1.2%的可能为肺癌。作为肿瘤科医生,一般都是支持手术切除,宁杀错勿放过,一旦是恶性肿瘤、后悔就晚了。当然,现在还没有取得太统一的意见,下面详细地说一下。

先说直径大于30mm的肺肿块,这个不用犹豫了,只要能手术,赶紧手术切除。
直径在10-30mm的肺结节,如果能通过药物治疗有明显效果,或者是典型的良性结节,这种可以不用手术切除,其余的一概支持切除。

比较麻烦的是比较小的磨玻璃结节。手术切除似乎有过度治疗的嫌疑,不切除也不放心,担心它长大或者癌变。
单纯的磨玻璃小结节,直径小于5mm,暂时不用切,注意复查,半年复查1次。

磨玻璃结节
直径在5-10mm的磨玻璃结节,暂时不用手术,3个月复查1次。
结节可以通过药物进行治疗,如果是炎性结节一般可以缩小甚至消失的。如果出现结节长大,或从磨玻璃样的结节逐渐长成实性结节,不用犹豫了,切除吧。毕竟如果癌变了就麻烦了。