
干燥综合征(siccasyndrome,SS)是一个主要累及外分泌腺体的慢性炎症性自身免疫病,表现为口干、眼干等。也叫舍格伦综合征(Sjögren综合征)。
干燥综合征标志物抗Ro/SSA抗体和抗La/SSB抗体,被美欧共识小组(American-European Consensus Group,AECG)、美国风湿病协会-欧洲风湿病防治联合会(American College of Rheumatology/European League Against Rheumatism,ACR/EULAR)和圣地亚哥(San Diego)标准列为诊断的必要指标之一。SS的诊断标准可参考“干燥综合征自我诊断”。
现在有一个抗体被视为SS的新标志物--抗α-胞衬蛋白抗体(anti-α-fodrin antibody)。
它敏感度高、特异性强。日本东京的学者Watanabe-T等检测了9例原发性SS(pSS)、15例继发于红斑狼疮(LE)的SS(sSS)和44例LE患者的抗α-fodrin抗体并分析了与某些临床表现的相关性。结果pSS中7/9阳性、sSS中9/15阳性、LE中3/44阳性。在SS中抗α-fodrin抗体的敏感性为67%、特异性为93%。敏感性高于SS-B,提示该抗体是SS 诊断的重要抗体之一。由于抗α-fodrin抗体在LE患者中很少阳性,故该抗体较抗SS-A抗体对SS有较高的诊断价值。抗α-胞衬蛋白抗体可作为原发性和继发性SS的标志性抗体。认为这一抗体可能在病理生理学上与SS患者的某些外分泌腺特征性表现有关。

怎样有关?得从开始说起。
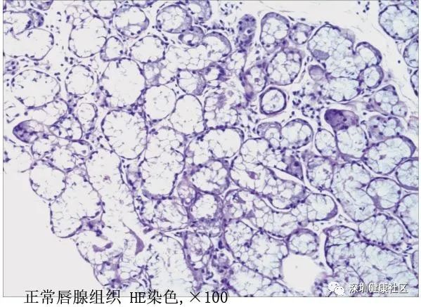
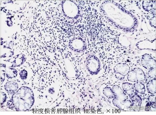
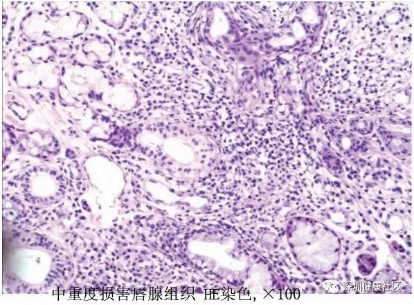
1997年,在切除胸腺3天后的SS动物模型NFS/sld小鼠中首次发现抗α-胞衬蛋白的自身抗体。1997年Hayashi等在SS患者血清中发现了一种针对唾液腺导管上皮细胞的器官特异性自身抗体。它是以α-胞衬蛋白为靶抗原。α-胞衬蛋白能从干燥综合征模型小鼠唇腺中提取到的种特异性自身抗原物质。经鉴定为人类骨架蛋白,是细胞骨架的一部分,它锚定在胞浆膜上,与肌动蛋白、钙调蛋白和微管结合,参与细胞器的构成、分子转运和分泌。α胞衬蛋白,是240kDa的器官特异性抗原,是SS患者涎腺组织中的一种特异性自身抗原。
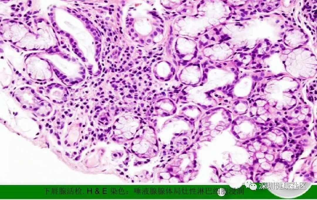
此外,抗α-胞衬蛋白抗体还可对SS炎性活动状况的作出评估,其抗体滴度常与唾液腺淋巴细胞浸润程度密切相关。
对于抗α-胞衬蛋白抗体敏感性的研究也有不同的结论。其IgG和IgA抗体的阳性率取决于该病SS是根据ACR/EULAR标准还是严格的圣地亚哥标准进行诊断的。
虽然如此,还有更多的工作要做。目前,抗α-胞衬蛋白抗体仍不可完全取代其他抗体在SS诊断中的意义,可作为SS诊断的联合检测指标。而在其他抗体阴性、临床高度疑诊为SS的患者,抗α-胞衬蛋白抗体阳性有一定的辅助诊断价值。


又有最新的研究发现,有针对SS特异性的病理性自身抗体,毒蕈碱型乙酰胆碱受体的自身抗体,特别是M3毒蕈碱型乙酰胆碱受体(M3R)抗体。将来可能又成为SS的新标志物。
参考文献
[1]赵小莹,白宁,陈群等.干燥综合征患者血清抗α-胞衬蛋白、抗SSA/SSB抗体、IFN-γ及TNF-α与唇腺病理损害相关性研究[J].陕西医学杂志.2020,49(2):241-246
[2]罗静,李小峰主译.Yehuda Shoenfeld,Pier Luigi Meroni,M.Eric Gershwin主编.自身抗体[M].人民卫生出版社.2019.5
[3]Shiboski CH, Shiboski SC, Seror R, et al. 2016 American college of rheumatology/European league against rheumatism classifica-tion criteria for primary sjögren′s syndrome: a consensus and data-driven methodology involving three international patient cohorts[J]. Ann Rheum Dis, 2017, 69(1): 35-45.
[4]陶谦,梁培盛.干燥综合征诊断标准的演进[J].口腔疾病防治 2019.27(5):273-279
[5]范文强,王文翔,吴洁.抗α-胞衬蛋白IgA和IgG抗体联合检测诊断干燥综合征的价值[J].中华实用诊断与治疗杂志.2014,28(10):1015-1016
