
一个人拥有三个肾脏确实是罕见的。临床上常见到单侧肾,常为先天性,在胎儿发育时一边肾胚未移行及发育所致。
前几天刚刚(2020年5月6日)在《新英格兰医学杂志》(NEJM)上发表的一份病例报告,并有图片可见,让人确信真有这回事。
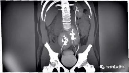
巴西有一名男子因腰部疼痛去医院就诊。圣保罗的Do Rim医院的医生们,为了找到腰痛的原因,行腰部 CT扫描。腰部扫描不仅仅看到了腰椎,腹部器官也可以看到。扫描结果显示,其椎间盘突出或“滑落”,就是腰椎之间的垫状椎间盘部分移位了。阅片时医生发现奇怪的东西在腹部:有三个类似肾脏的器官。随即做了尿液、血液检查,做了肾脏造影。最后确实是肾脏,有三个,而不是两个,都有功能的(即是排尿功能)。左边的肾脏看起来很正常,与其他绝大多数的人的位置一样,也是通过左输尿管与膀胱直接相连。而右边靠近骨盆的地方有两个融合的肾脏,有两条输尿管与膀胱相连。NEJM报告的作者说,患者没有尿频、尿急、夜尿多等症状,平时未有腰痛腰酸等不适症状。查肾功能、尿蛋白都正常。作者说,由于这种情况通常不会引起症状,人们也不知道自己是这种情况,除非是通过不相关的医学测试或体检意外发现的。这名男子的多余肾脏也不需要任何治疗和特别的护理。但报道称,由于椎间盘突出使背部疼痛,医生开具了止痛药进行治疗。
搜索中国知网、万方、pubmed。2013年发表在Internet Journal of Radiology上的一篇类似病例的报告显示,拥有三个肾脏的情况很少见,医学文献中报告的病例不到100例。这种情况被认为是在胚胎发育期间出现的,当时有一个肾脏的结构一分为二了。
我想有三个肾脏的人,肾功能储备更强大,排毒功能更好,是吗?是不是会活得更长寿?是不是比其他人更年轻?还是三个肾比二个肾活得累赘?不得而知,希望过几十年后可见其可喜的报道。

你可能还喜欢看看以下内容:
4.痛风的非药物治疗
