【时间】2023年01月17日
【地点】深圳市宝安纯中医治疗医院骨伤科
【患者】傅某,男,62岁。
【案号】000007920334
【主诉】心慌3天。
【病史】7月前劳累后出现心慌、背痛,曾在我科手法正骨治疗后缓解。3天前走路过多后出现心慌,血压升高,曾在阜外、港大医院就诊,各种检查未见明显异常。
【症状】心慌,胸背疼痛,呼吸不畅,做俯卧撑及提重物时背痛加重。
【体征】T2-4棘突处软组织肿胀,压痛(+),T2-3棘突左侧旁开1CM压痛(+),胸椎前屈加重,侧卧位T5棘突左侧条索,压痛(+),引发心慌,手停即止。
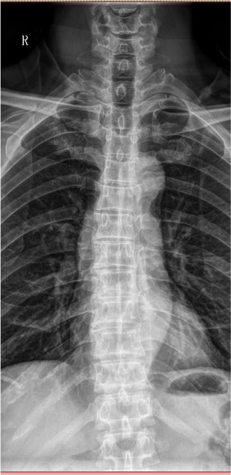
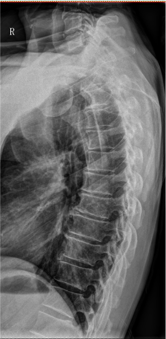
【影像】胸椎正侧位X线片见胸椎退行性变,胸椎轻度侧弯。


【诊断】胸椎小关节紊乱
【治疗】松解胸背部肌肉,调衡胸椎。
【结果】首次治疗心慌减轻,二次治疗心慌立止。
【讨论】患者心慌、胸背疼痛、呼吸不畅,当先考虑心脑血管疾病。3天前发病时曾在阜外、港大医院就诊,各种检查未见异常,排除了心脑血管疾病。7月前因此症在我科以“胸椎小关节紊乱”予正骨治疗后缓解,故继续以原方案正骨治疗。
松解胸背部肌肉后,行坐位双侧提拉法松动胸椎关节,术中闻及关节弹响,心慌减轻而未消失,知其紊乱关节动而未复,故嘱其隔日复诊。患者治病心切,次日便来复诊。予充分松解胸背部肌肉后,行坐位单侧提拉复位法。右侧提拉复位时闻及胸椎关节弹响,放手心慌顿止,呼吸顺畅,胸背疼痛明显减轻,因症状大部缓解,故左侧提拉复位不必再施。
胸椎坐位提拉复位法为临床常用手法,对复位胸椎关节疗效确切。对于部分年龄较大或关节灵活性差的患者,双手交叉置于头后方之后肩关节外展后伸受限,故提拉手法操作困难,加之患者恐惧不易成功。本患便属于上述情况,首日手法复位不全,疗效不佳,故次日改用单侧提拉法一侧提拉便复位成功。
胸椎单侧坐位提拉法为双侧提拉法的一半,理论上效果应弱于双侧提拉法,实则不然。因患者单手置于后头部,患者更易放松,胸椎也能挺的更直,便于复位。提拉时对颈椎前屈的压力较小,不会引起患者应激性对抗,进一步增加复位的几率。两侧分开操作,单侧胸椎关节被拉开的几率和幅度更大,成功率更高。
胸椎单侧坐位提拉法疗效虽好,但对术者的力度撑控要求更高。因其单侧操作,过度发力容易造成肌肉拉伤或形成新的关节紊乱,必须力发便收,中病即止,且单次治疗不可重复操作。
【按语】胸椎小关节紊乱可引发心慌、呼吸不畅等临床症状,但不是所有心慌、呼吸不畅均由胸椎小关节紊乱所引起。松解类手法可以效不更方,但正骨类手法当中病即止。