【时间】2022年11月1日
【地点】深圳市宝安纯中医治疗医院 寰枢关节半脱位诊室
【患者】徐俊贤,女,80岁
【案号】0000069842830
【主诉】头晕、脑鸣8年。
【病史】胆囊癌5个月,子宫切除术后30年,鼻窦炎8年,中耳炎8年。8年前不慎摔倒,头部着地,而后出现头晕、脑鸣,先后在江西南昌、黑龙江哈尔滨、广西南宁、广东深圳、北京、河南洛阳、吉林长春等多地就诊,诊断为“寰枢关节半脱位”,予针刺、针刀、牵引、中药熏蒸、水蛭吸血、手法正骨、中药、西药等治疗,在北京罗氏正骨治疗后眩晕症状消失,3日后复发,其他治疗无效。家属帮忙按摩颈枕交界处诸症减轻。
【症状】头晕,脑鸣,失眠多梦;鼻流清涕;双耳流脓,听力下降;咽干;眼睑浮肿、视物不清、睁眼困难;走路失稳、双上肢无力、手指精细动作困难;时有左侧枕部头皮麻木。
【体征】项僵,双侧斜方肌紧张,压痛(+-);双侧后斜角肌紧张,压痛(+),按压左侧后斜角肌头晕加重,按压右侧后斜角肌脑鸣减轻;左侧头后大直肌紧张,压痛(+),C2右侧横突后方压痛(+),颈部屈伸旋转时头晕、脑鸣变化明显,整体呈减轻趋势。
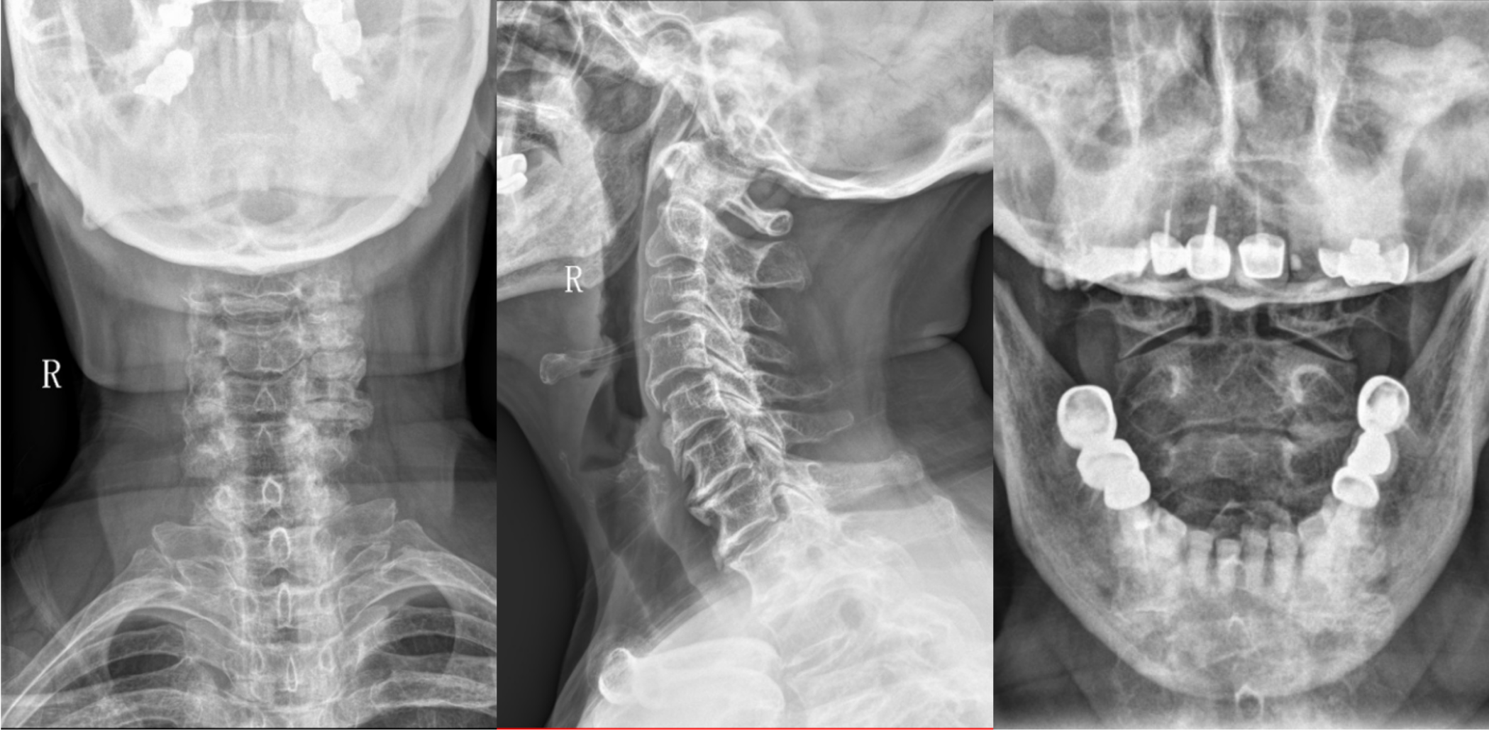
【影像】颈椎X线片见颈椎骨质疏松,广泛性骨质增生,多节段失稳,C4-5、C6-7明显,C6-7椎间隙变窄,寰枢外侧关节对合不全,枢椎棘突偏左。

【诊断】寰枢关节半脱位;颈椎病
【治疗】松解颈枕部肌肉。
【结果】治疗后头晕、脑鸣消失,颈枕部舒适。
【回访】第二日晨起太阳穴上1/3区域头晕、程度轻微,脑鸣未出现,左侧枕部头皮麻木消失,失眠多梦减轻。
【讨论】患者症状重而繁杂,分类之后发现与颈椎相关症状并不多。鼻流清涕考虑为鼻窦炎所致;双耳流脓、听力下降与中耳炎相关;走路失稳、双上肢无力、手指精细动作困难考虑受年龄及中枢神经系统影响可能较大;时有左侧枕部头皮麻木考虑为枕大神经卡压;头晕、脑鸣、失眠多梦、眼睑浮肿、视物不清、睁眼困难、咽干等症状或与颈椎相关。
北京罗氏正骨治疗后症状消失、家属帮忙按摩颈枕交界处诸症减轻、按压左侧后斜角肌头晕加重、按压右侧后斜角肌脑鸣减轻、颈部屈伸旋转时头晕、脑鸣变化明显证实头晕、脑鸣与颈椎相关。治疗后头晕、脑鸣消失,颈枕部舒适;第二日晨起头晕轻微,范围缩小,脑鸣未复现,左侧枕部头皮麻木消失,失眠多梦减轻。证实头晕、脑鸣、失眠多梦、枕部头皮麻木与颈椎相关。而眼睑浮肿、视物不清、睁眼困难、咽干或与颈椎没有明显相关性,需进一步临床观察。
患者X线片见两侧寰齿间隙差不明显,寰齿前间隙无明显增宽,而其临床表现却是寰枢关节半脱位的常见症状,且手法正骨后可缓解,让我们不得不重新思考现在寰枢关节半脱位X线诊断标准的可靠性。北京罗氏正骨手法治疗后症状消失,说明理筋正骨手法治疗本病有效,而本次治疗只理筋而未正骨,同样取得疗效,证实理筋治疗本病有效,而正骨治疗本病的有效性及“正骨”的起效机理则有待进一步探讨。
【按语】伤科疾病治疗不断的强调“筋骨并重”。然何时需要理筋?何时需要正骨?何时需要理筋+正骨?理筋、正骨的起效机制是什么?有待于我们深入研究。