

食管是咽和胃之间的一段肌性食物通道。食管上端在第6颈椎下缘续于咽,沿脊柱前方下行,于第11胸椎体左侧连于胃贲门。
食管癌是一种地域性分布很强的恶性肿瘤,世界各国和地区的发病率相差很大。我国高发,排在恶性肿瘤的第4位,年新发病例15万以上,占世界年发病例总数的一半多。
美国和欧洲等西方国家的发病率明显低于亚非地区。而且,即使是在我国,高发区和低发区食管癌发病率也相差几十倍至几百倍。

总之,食管癌的流行病学特点主要有:
1、有明显的地域和人群分布,我国主要分布于太行山区河南、河北和山西省,大别山区的鄂皖交界地区,四川盆地和川西北,江苏省的苏北地区,闽粤交界地区和新疆哈萨克族居住地。
2、食管癌高发区的中心区域发病率最高,向四周梯度降低。
3、贫困地区高于富裕地区农村高于城市。
4、有色人种高于白人。
5、亚非国家高于欧美国家。
6、男性高于女性,有家族史高于无家族史者。
7、高发区正常人群的上皮细胞重度增生者常见。
8、食管癌的发生率随着年龄增长而增加(多数为60-70岁)。

食管癌准确的病因仍不完全清楚。
多数认为,食管粘膜上皮肿瘤的发生是由于多种因素联合作用、长期慢性刺激的结果。
①食管鳞癌发病高危人群共有的饮食特点是:
进食过快、食物过热、高淀粉食物、很少或不吃蔬菜和水果。
②其他可能的因素还包括:
水土和食物中缺乏某些微量元素,亚硝酸盐类积蓄,食物结构不合理导致维生素和必要脂肪酸缺乏和各种原因导致食管粘膜长期慢性损伤,口腔卫生不良,长期嗜酒,大量吸烟,长期食用受霉菌(黄曲霉素)污染的食物,以及遗传等因素(河南林县食管癌患者中有家族史的占24%-61%)。
③同食管腺癌发生关系最密切的是Barrett食管。
所谓Barrett食管,就是食管胃结合部的食管鳞状上皮被胃反流物造成的食管粘膜损伤-愈合反复发生,从而导致柱状上皮化生的现象。
这种柱状上皮不是先天保留下来的柱状粘膜,而是后来获得的,并有一个反复再修复的过程。
一般认为,合并严重发育不良的Barrett食管是一种癌前病变,同浸润性腺癌有着密切的关系,需手术切除。
食管癌多半发生在食管中段。
上段、中段、下段食管癌的发生比例分别为15%、50%和35%。病理类型以鳞癌为主,约占95%。
近年来,流行病学显示,在我国仍以鳞癌为主,发病率有一定的下降趋势。
但是,在欧美食管癌的发病率却呈上升趋势,其中主要是食管腺癌。目前,欧美食管腺癌同鳞癌的比例各占一半。其中原因还不清楚,有人认为食管腺癌的增加可能同Barrett食管和肥胖有一定关系。
二、症状
1、早期症状
食管癌的早期症状多不典型、没有特异性、时好时坏和反复出现。常见不适包括:
①大口固体食物梗噎感。
这是一种最常见的早期症状。一般在第一口进食时出现,以后即消失,几天到几个月出现一次,容易被忽视。也有持续出现的,但多误为咽炎或食管炎,自服消炎药后能缓解,实际上不服任何药物,症状亦可缓解,因为该症状的发生不是由于疾病的机械梗阻所致,而是病变部位的炎症,神经反射、食管痉挛等因素有关。随着病情进展,出现症状的间隔时间逐渐缩短,症状更趋明显。临床上极易误诊。

②食管内异物感。
约有15-21%的患者吞咽时自觉食管内有异物感。部分病人进食时感觉有异物黏附在食管壁上,吐不出、咽不下的不适感。异物感的部位多与食管病变的部位一致。
③胸骨后疼痛、不适或梗噎感。
进食后或不进食时出现轻度胸骨后疼痛感,时有时无,进食热食时更易出现。有时候吞咽食物时在某一部位停滞或轻度梗噎感。
④下段食管癌还可以出现剑突下或上腹部不适,呃逆、嗳气。

2、中晚期症状
绝大多少食管癌患者到医院就诊时已经是中晚期。中晚期食管癌的临床症状主要包括:

①吞咽困难
90%左右的患者都是出现此症状后来医院就医,而且吞咽困难症状随时间流失呈进行性加重。开始进食大块食物时出现,逐步发展为进食米饭大小食物时也需要开水或稀饭冲下,随后发展为只能进食半流质或流质饮食,严重者最后滴水不进。这个过程一般仅需3-6个月。
②梗阻
严重者进食时完全梗阻,并常伴有持续性口吐泡沫样粘液。这是由于食管癌的浸润和炎症反射性引起食管腺和唾液腺分泌增加所致。粘液积存在食管内可导致返流、呕吐甚至引起呛咳,严重者出现吸入性肺炎。
③疼痛
多为进食时吞咽痛,晚期者出现持续性胸骨后或背部疼痛,其性质为钝痛或隐痛,亦有烧灼痛或刺痛,并伴有沉重感。疼痛的部位同病变的部位可以不一致。疼痛常常提示肿瘤已经有外侵,引起食管周围炎、纵隔炎,但也可以是肿瘤引起食管深层溃疡所致。疼痛严重不能入睡或伴有发热者,不但手术切除的可能性小,而且应注意肿瘤穿孔的可能。
④出血
少数食管癌病人也会因呕血或黑便而来医院就诊。肿瘤可浸润大血管特别是胸主动脉而造成致死性出血。对于有穿透性溃疡的病例特别是CT检查显示肿瘤侵犯胸主动脉者,应注意出血可能。
⑤声音嘶哑
常是肿瘤直接侵犯或气管食管沟淋巴结转移后压迫喉返神经引起。
3、其他全身症状、转移症状和并发症
①体重下降和发热。
因梗阻而进食减少,营养情况日趋低下,消瘦、脱水常相继出现。肿瘤扩散时也会出现体重下降,发热等情况。肿瘤热多半发生在午后,38度左右,体温在早晨和上午往往正常。
②肿瘤浸润穿透食管侵犯纵隔、气管、支气管、肺门、心包、大血管等,引起纵隔炎、脓肿、肺炎、肺脓肿、气管支气管瘘、致死性大出血等。
③全身广泛转移引起的相应症状。
如肺转移时,出现咳嗽、胸闷、呼吸困难等;腹腔淋巴结转移时,出现腹痛,食欲下降等,肝转移时,出现右上腹痛、食欲下降、黄疸、腹水、大出血、昏迷等。
④恶液质、脱水、衰竭。
表现为极度消瘦和衰竭,常伴有水电介质紊乱。
三、体征
1、浅表淋巴结肿大
锁骨上淋巴结肿大是食管癌患者的常见体征。颈段和胸段食管癌都有发生锁骨上淋巴结转移的可能。多数肿大淋巴结非常坚硬,如石质,固定。颈部淋巴结转移相对较少,主要来自颈段和上胸段食管癌。偶尔也有腋下淋巴结转移。除此之外,其他部位浅表淋巴结转移的概率非常低。

2、声带活动受限或固定
如果患者有声嘶,需行间接或直接喉镜检查,看是否有声带活动受限或固定。声嘶的原因大多是由于气管食管沟淋巴结肿大压迫或侵犯喉返神经所致,有时也有可能为肿瘤直接侵犯喉返神经。
3、转移部位的相关体征
肿瘤转移到其他部位可能会出现相对应的体征。如有骨骼疼痛,了解疼痛部位是否有局部压痛。
4、一般状况
应该注意患者全身营养状况,有无发热、贫血及恶病质情况。
四、检查方法
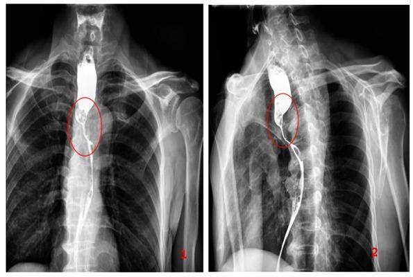
1、X线钡餐检查,也叫食管片。
优点是简便,准确性高,病人痛苦少,不但可观察食管病灶部位,长度,梗阻程度,溃疡大小与深度,有无穿孔和瘘管形成,而且可观察食管粘膜和食管动力学改变。

2、CT断层扫描/磁共振(MRI)。
它不仅能看到病灶的部位、长度,还能看到食管壁的厚度、肿瘤外侵、同邻近脏器的关系、颈部或纵隔淋巴结的转移情况以及肺部转移情况。
3、食管腔内超声(EUS) 。
它对病灶的T分期准确性高,约为70%-80%;同时对食管旁淋巴结转移的诊断率也高于CT扫描,高达70%以上。
4、食管镜检查和活检
食管镜检查是诊断食管癌比较可靠的方法。它可以在直视下观察肿瘤的大小、形态和部位,同时还可在病变部位活检或刷片检查。
5、正电子发射计算机断层显像(PET):
它能发现原发灶和区域淋巴结转移,尤其对远处淋巴结和远处脏器转移有更高的敏感性。这一检查在欧美国家已被视为常规。
6、腹部CT/B超:
发现或排除腹部转移灶。
7、ECT:
如有怀疑骨转移,应该进行ECT检查。
8、食管拉网:
如果食管镜等无法取到病理时,食管拉网是取得细胞学诊断的另一方法。
9、血常规、肝肾功能、心电图等。
这些检查是为了评估患者的一般状况,为治疗选择提高参考。
五、预防
1、改变饮食习惯
食管黏膜比较娇嫩,而且对热不敏感,高于65°C的饮食会烫伤黏膜。
过于热烫、粗糙的食物在通过食管,接触黏膜上皮时,会烫伤食管黏膜上皮,使黏膜上皮发生破损、溃烂、出血等病变。
不要进食过快,不要狼吞虎咽,不要吃饭菜速度过快。
要禁食隔夜蔬菜、腐烂水果、发霉的粮食、市售的咸鱼咸肉和腌菜,以及煎、炸、烤的食品。
饮水要注意水源,自来水也要防被污染,否则也会致癌。

吸烟的致癌面广,形成癌症可引起消化、呼吸、泌尿系的癌症。长期大量饮酒难免不食入致癌物。有的酒含亚硝胺、黄曲霉素等致癌物,还有醛醇等间接致癌物。

蛋白质缺乏会出现食管粘膜增生,容易恶变;脂肪缺乏时有碍必须脂肪酸和脂溶性维生素的吸收,影响健康和降低免疫功能。要多吃新鲜蔬菜和水果,前者不能代替后者,因烹调中常破坏大量维生素和微量元素。

患食管癌的病人常缺乏铁、钼、锌、锰、硒等微量元素和维生素A、B2、C;阿司匹林能防此病,故高危人群可在医师的指导下,补充相关的微量元素、维生素和药物来预防。
患食管炎、白斑、息肉、憩室、贲门失弛缓症等,由于组织学改变、功能变异、局部受刺激,容易恶化形成癌症。一定要密切观察、积极治疗和采取有效措施预防。每年一次的胃镜检查,是发现早期食管癌至关重要的手段。