

在现代社会,随着生活节奏的加快和工作压力的增大,人们对于自身健康的关注程度也在不断提升。近年来,公众对健康检查的重视程度显著提高,越来越多的人开始意识到定期进行健康检查的重要性。这不仅有助于早期发现潜在的健康问题,还能及时采取预防或治疗措施,从而维护身体健康。
然而,随着健康检查的普及,一些常见的健康问题也逐渐引起了人们的关注。其中,肺结节的问题尤为突出,尤其是被称为磨玻璃结节的类型。这种结节在健康检查中的发现率逐年上升,引起了广泛的关注和讨论。
在社会大众中,关于磨玻璃结节的认识存在一些误解。有些人甚至认为,一旦发现自己有磨玻璃结节,就意味着离肺癌不远了。还有人认为,磨玻璃结节实际上就是一种癌症,只是属于“惰性癌”的类型。

然而,事实真的如此吗?磨玻璃结节究竟是什么?它与肺癌之间到底存在怎样的关系呢?
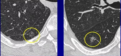
磨玻璃结节是一种在肺部CT扫描中呈现为磨玻璃样影像的结节。它的名称源于其在X光片上的表现,类似于磨砂玻璃的外观。磨玻璃结节可以是良性的,也可以是恶性的,因此不能简单地将其视为癌症的标志。
事实上,磨玻璃结节的形成原因多种多样。它可以是由于肺部感染、炎症、肺纤维化等引起的。在一些情况下,磨玻璃结节可能是肺癌的早期表现,但并非所有磨玻璃结节都会发展成肺癌。
三招辨识磨玻璃结节
一看大小 一般8毫米为警戒线
在医学研究领域,专家们普遍持有一种观点:那些直径不超过5毫米的磨玻璃结节相对来说是较为安全的,其转变为恶性的可能性较低。而一旦结节的直径超过8毫米,这通常被视为一个警戒值,需要引起我们的高度关注。
然而,这是否意味着只要结节的大小有所增加,就一定是在恶化呢?研究者们对此进行了深入探讨,他们认为,只有当结节的直径增加2毫米以上时,我们才有理由怀疑结节正在发生增大变化。

当然,我们必须认识到,2毫米以内的测量误差是在所难免的。例如,如果一位患者今年的检查结果显示结节为4毫米,而明年的结果为6毫米,我们不能仅凭这两个数字就断定磨玻璃结节正在进展。为了确保结果的可比性,CT扫描的设置(如厚度、剂量等)必须保持一致,而且最好在同一屏幕上进行比较。否则,这种差异可能仅仅是因为更换了医院或机器,导致CT扫描条件不同或测量方法不同而引起的误差。
因此,一般建议在首次发现肺结节后,尽量在同一家医院甚至使用同一台机器进行复查和随访,以确保结果的准确性和一致性。
至于是否需要进行手术,我们不能仅仅根据肺结节的大小来做出判断。这是一个复杂的决策过程,需要多学科专家共同会诊,尽可能明确诊断后,才能提出必要的手术建议。在这个过程中,我们需要综合考虑患者的具体情况和风险因素,以确保做出最佳的治疗选择。
二看密度
在医学影像的世界里,CT值是一种衡量肺部结节密度的重要指标。当CT值超过-300hu时,这通常意味着患者可能面临更高的浸润性肺癌风险。
磨玻璃结节,这个名字来源于其在CT扫描中的外观,就像磨砂玻璃一样,让血管和支气管的轮廓在肺部模糊可见。这种结节的特点是肺内密度轻微增加,仿佛是一团轻柔的云雾。
纯磨玻璃结节和混杂性磨玻璃结节的主要区别在于实性成分的比例。纯磨玻璃结节在CT扫描中几乎不显示任何实性成分,或者实性成分不超过5%。而混杂性磨玻璃结节则包含更多的实性成分,这使得它们在CT扫描中更容易被识别。

尽管混杂性磨玻璃结节的数量相对较少,但它们的实性成分比例越高,恶性的可能性就越大。从CT扫描的角度来看,磨玻璃影的浓度是一个关键因素。一般来说,影像越淡,预后越好;影像越浓,预后越差。这是因为更浓的影像通常意味着肿瘤组织成分更多。
根据文献报道,实性结节的恶性概率约为7%,而磨玻璃结节的整体恶性比例约为34%。其中,纯磨玻璃结节的恶性率约为18%,而混杂性磨玻璃结节的恶性比例高达64%。

磨玻璃结节的密度也是一个关键指标。当密度小于-500hu时,结节通常是安全的,主要是原位癌或不典型增生。当密度在-500hu到-300hu之间时,可能存在一些风险,主要是微浸润性肺癌或早期浸润性肺癌。而当密度超过-300hu时,浸润性肺癌的风险就显著增加。
总的来说,磨玻璃结节的性质和风险因人而异,需要医生根据具体情况进行评估和诊断。对于普通受众来说,了解这些基本知识有助于更好地理解医生的建议和治疗方案。
三看生长速度
如何看生长速度呢?随访!
在医学领域,磨玻璃结节的发现可能会引起一些担忧,但重要的是要保持警惕并定期进行随访。首次发现磨玻璃结节后,务必要进行随访检查,特别是当结节的大小和密度发生变化时,我们需要更加关注。

判断磨玻璃结节是良性还是恶性,并不是一件简单的事情。即使是大小和密度这两个标准,也不能仅仅依赖单一指标来做出判断。有时候,磨玻璃结节可能会变小,但同时变得更浓,这并不一定意味着它是良性的。另一方面,如果磨玻璃结节看起来很浓,但这个浓度维持了几年都没有变化,那么它也不一定就是恶性的。
因此,对于普通受众来说,了解这些信息是非常重要的。当我们面对磨玻璃结节的检查结果时,不要惊慌失措,也不要轻信自己的判断。
四看形态
在医学的诊断舞台上,肺部结节的形态特征宛如角色的脸谱,为医生提供了判断其性质的重要线索。肺部结节有多种形态,一般医生根据这些形态来协助判断结节的性质,常见的肺部结节形态有分叶、毛刺、空泡、支气管截断、胸膜凹陷、强化程度。
1. 分叶:这是指结节边缘的凹凸情况,如同树叶的锯齿边缘。清晰的分叶往往指向良性,而不规则的分叶则需警惕恶性的可能。

2. 毛刺:想象一下,如果结节边缘长出了尖锐的小刺,这种“毛刺”状结构通常是恶性的标志,因为它们好似癌细胞的侵略性生长。
3. 空泡:结节内部的小空洞,就像气泡一样,常见于良性结节,但也不可完全排除恶性的可能。
4. 支气管截断:当结节附近的支气管突然中断,就像是一条河流被阻断,这种情况往往需要进一步检查,因为它可能预示着恶性变化。
5. 胸膜凹陷:这是指结节对周围胸膜的牵拉,形成类似凹坑的外观,这种特征在恶性结节中出现的概率较高。

6. 强化程度:通过造影剂注射后的CT扫描,医生可以观察到结节对造影剂的吸收情况,从而评估其血供情况,帮助判断结节的性质。
每一种形态都像是自然界中的一道风景,医生需凭借丰富的经验和敏锐的洞察力,解读这些微妙的差异,从而为患者提供准确的诊断和治疗建议。
五看临床
患者的个人背景信息如同一幕幕生动的背景板,为医生提供了更为全面的病情评估视角。其中,患者的年龄、家族史以及疾病史,尤其是肺部疾病史,都是判断肺部结节性质的重要参考因素。
1. 年龄:年轻患者的肺部结节更倾向于良性,而随着年龄的增长,特别是在老年人群中,结节恶性的概率相对较高。这就像是一部时钟,随着时间的流逝,某些健康风险逐渐增加。
2. 家族史:如果家族中有肺癌或其他相关癌症的病史,那么患者本人发现肺部结节时,医生可能会更加警惕其恶性的可能性。这就像是一张家族遗传的地图,标记着潜在的风险区域。
3. 疾病史:患者以往的疾病史,特别是肺部疾病史,如肺结核、肺炎等,都可能影响结节的性质判断。这些既往的疾病就像是脚印,留下了可能影响当前状况的痕迹。
综合这些信息,医生就像是一位经验丰富的侦探,不仅关注现场的线索,还要考虑案件背后的深层因素。
六看化验,血常规、肿瘤标记物等;
在医学的诊断棋局中,肿瘤标记物等化验指标犹如关键的棋子,为医生提供了判断肺部结节良恶性的重要辅助信息。这些生化指标在血液中的浓度变化,可以反映出体内潜在的病理变化,从而成为医生诊断的有力工具。
肿瘤标记物,如CEA(癌胚抗原)、CYFRA 21-1(细胞角蛋白19片段)和SCC(鳞状细胞癌相关抗原),是检测肺癌常用的指标。当这些标记物的水平异常升高时,可能暗示着肺部结节的恶性潜能。这就像是在一片迷雾中寻找灯塔,肿瘤标记物的异常水平为医生指明了进一步检查和诊断的方向。


除了肿瘤标记物,其他常规化验,如血常规、肝肾功能等,也能提供关于患者整体健康状况的信息。