
肺磨玻璃结节是一种在胸部X光或CT扫描中可见的影像学表现,通常表示肺部组织中存在一些异常变化。在门诊中,患者常会询问医生关于这一发现的含义,尤其是是否这些结节会自行消失。
肺磨玻璃结节的自行消失是可能的,但是发生的频率相对较低。据研究表明,初次发现的磨玻璃结节中,大约有5-6%的患者在短期随访(通常为2-3个月)后观察到结节的消失或缩小。这些患者通常具有一些共同特征,例如肺部局部炎症或少量积血,这些因素可能导致了磨玻璃结节的出现。经过一段时间的随访,炎症或积血逐渐被吸收,导致结节的消失。
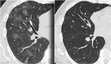
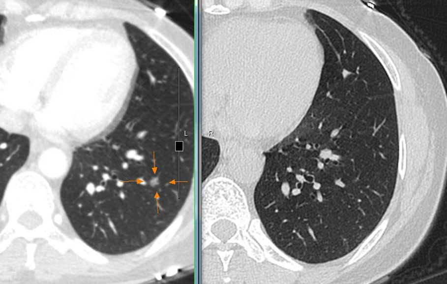
这是我前一段时间在门诊碰到的一名患者,经过门诊治疗后肺部结节消失了。
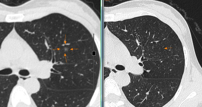
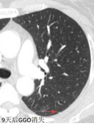
另外一个患者治疗后,随访3个月结节完全消失。
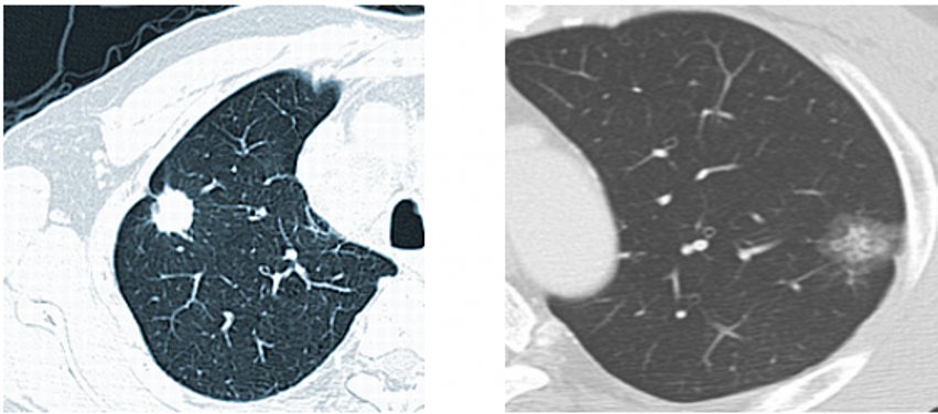
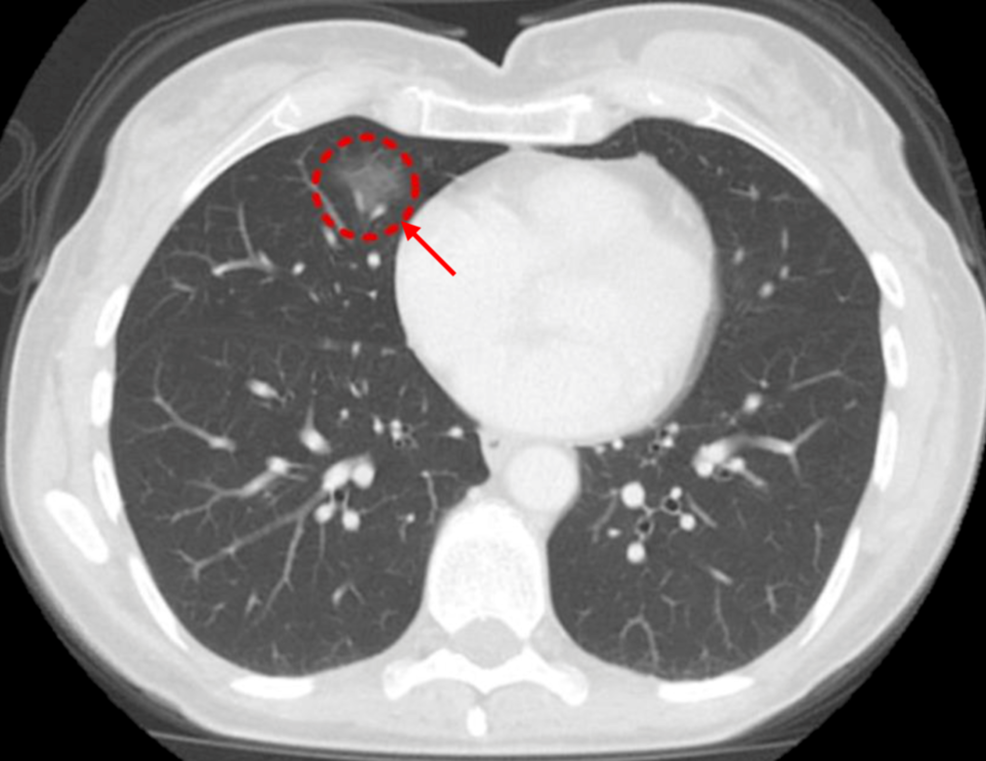
这个患者,单纯门诊定期随访,一年后结节不见了。
然而,值得注意的是,这类患者的数量并不多。因此,对于首次发现磨玻璃结节的患者,尤其是在结节特别典型的情况下,医生通常建议至少进行一次随访。这有助于确认结节是否稳定或有进一步的变化。
那么,哪些磨玻璃结节可能会自行消失呢?具备以下特征的结节通常有较大可能性自行消失:结节未成形,与周围组织边界不清晰,更像是炎症反应,CT值偏低,密度散在,没有明显的实质性成分。此外,近期出现感冒、发烧、发水痘或肺部感染的患者也可能出现磨玻璃结节。因此,如果最近患有感冒、发热或肺部感染,最好避免进行CT检查。
关于结节自行消失的时间问题,一些患者可能会问:“我已经发现了半年/1年的结节,还会自行消失吗?”绝大多数会自行消失的磨玻璃结节通常在初次发现后的2-3个月内消失。而发现时间超过半年的结节,一般不太可能自行消失。
因此,在了解肺磨玻璃结节可能自行消失的情况下,患者和医生应密切关注结节的进展,并根据情况进行进一步的评估和治疗。