
长期吸烟或从事特种行业的人到医院体检后有的会提示有肺大泡。
肺大泡是肺大泡指的就是我们的肺部,由于各种原因导致的肺泡腔内的压力增大,肺泡壁破裂相互融合,在肺组织内形成的一种囊腔。
大部分肺大泡不会带来临床危害,一部分患者剧烈运动后容易诱发气胸,这种情况要提前处理。
但我在临床上会碰到一种十分类似肺大泡的肺癌,这是一种最容易误诊和漏诊的肺癌类型。
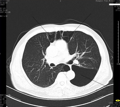
这是一个囊腔型肺癌的随访变化过程
不仔细看非常容易误诊为肺大泡,如果当做肺大泡来处理,临床结局就非常不一样了。
这个病人的最后病理是浸润性腺癌。
临床工作中从形态学上把这种肺癌叫做囊腔型肺癌。
囊腔型肺癌的囊腔一般壁比较厚的,且不均匀,生长缓慢,随访过程中空腔可增大、缩小或不变。
囊腔型肺癌占肺癌患者中的比例2%左右,漏诊率高达22%。
如果仔细观察,能早期发现,手术的效果是非常好的。
========================================
赵宏波 中国医学科学院肿瘤医院深圳医院胸外科副主任医师,外科教研室秘书。
从事胸部肿瘤的外科治疗近二十年,临床经验非常丰富,已主刀完成各科胸部手术4500余例。擅长肺癌、肺小结节、食管癌、贲门癌和纵膈肿瘤等的微创外科治疗和各种疑难手术治疗。国家卫健委“笹川奖学金”获得者,以“高级访问学者”身份在日本国立癌症中心研修,取得日本临床修炼医资格并主刀手术。兼任世界华人肿瘤医师协会胸部肿瘤专业委员会青年委员兼副秘书长、广东省抗癌协会食管癌专业委员会委员、广东省医师协会胸外科分会委员、广东省医师协会胸外科分会快速康复学组委员等职。国内外核心期刊发表论文9篇,主持完成市级科研攻关项目1项,主持在研白求恩科研基金1项。
师从日本国立癌症中心胸外科日月裕司教授,亲自动手开展临床工作。