
体检报告上经常看到结节,有的写磨玻璃结节,那到底什么是磨玻璃结节?
首先,磨玻璃是为了描述肺部结节形态学表现的一个口头用语。这种形态向是磨花了的玻璃,似雾非雾,朦朦胧胧。
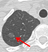
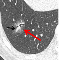
磨玻璃结节(GGN):
是指密度轻度增加,呈云雾状、结节状密度增高影,但病变密度又不足以掩盖其中走行的血管和支气管影。磨玻璃结节无实性成分称为纯磨玻璃结节(pGGN),含有实性成分称为混杂性磨玻璃结节(mGGN)。
纯磨玻璃结节
混合性磨玻璃结节
发现磨玻璃结节后的处理原则
1. 考虑恶性的磨玻璃结节,如胸外科医生或影像科医师把握度较大则应及早手术切除。
2. 如果把握度不大但倾向恶性,可首先随访3个月,持续存在的pGGN呈分叶状、边缘毛糙、内部密度不均匀或有空泡征等,mGGN 随访没有变化或增大增浓,均建议手术切除。
3. 对于确定良性的磨玻璃结节,年度随访复查即可。
4. 对于难以确定其性质的磨玻璃结节,则需进行——随访观察。
即使是恶性,当随访过程中,发现变化,出现恶性征象,在手术也来得及。
1)纯磨玻璃结节(pGGN)的随访原则: 以5mm为界。
(1)pGGN直径≤5mm者:建议在6个月随访胸部CT,随后行胸部CT年度随访。
(2)pGGN直径>5 mm 者:建议在3个月随访胸部CT,随后行胸部CT年度随访;
(3)如果直径超过10 mm,需非手术活检和(或)手术切除。
如果结节增大(尤其是直径>10 mm),或出现实性成分增加,通常预示为恶性转化,需进行非手术活检和(或)考虑切除;
2)混杂磨玻璃结节(mGGO)的随访原则
对于mGGN,除评估mGGN 病灶大小外,其内部实性成分的比例更加重要。当CT扫描图像中实性成分越多,提示侵袭性越强。
(1)直径≤8 mm者:
建议在3、6、12和24个月进行CT随访,无变化者随后转为常规年度随访。如果混杂性结节增大或实性成分增多,通常提示为恶性,需考虑切除。
(2)直径>8 mm 者:
建议在 3 个月重复胸部CT检查,适当考虑经验性抗菌治疗。若结节持续存在,随后建议使用PET-CT、非手术活检和(或)手术切除进一步评估。
(3)对于 6 mm 及以上实性成分的 mGGN,应考虑3-6个月行CT扫描随访来评估结节。
需注意的是:PET-CT不推荐用来描述实性成分≤8 mm的混杂性病灶;
mGGN直径>15 mm者可直接考虑进一步行PET-CT评估、非手术活检和(或)手术切除。
-------------------------------------------------------------------------------------
赵宏波,中国医学科学院肿瘤医院深圳医院(深圳市肿瘤医院)胸外科副主任医师,外科教研室秘书。
从事胸部肿瘤的外科治疗近二十年,临床经验非常丰富,已主刀完成各科胸部手术5000余例。擅长肺癌、肺小结节、食管癌、贲门癌和纵膈肿瘤等的微创治疗和综合治疗。国家卫健委“笹川奖学金”获得者,以“高级访问学者”身份在日本国立癌症中心研修,取得日本临床修炼医资格并主刀手术。兼任世界华人肿瘤医师协会胸部肿瘤专业委员会青年委员兼副秘书长、广东省抗癌协会食管癌专业委员会委员、广东省医师协会肿瘤外科分会食管学组副组长、广东省医师协会胸外科分会快速康复学组委员等职。多次受邀参加国际学术会议,国内外核心期刊发表论文多篇,主持完成市级科研攻关项目1项,主持在研白求恩科研基金1项。
师从日本国立癌症中心胸外科日月裕司教授,亲自动手开展临床工作。