
常见纵隔肿瘤的影像诊断
纵隔肿瘤一般很难靠X线平片来确诊,CT特别是增强CT及磁共振(MRI)有更高的诊断价值。以下总结6种常见纵隔肿瘤的诊断要点。
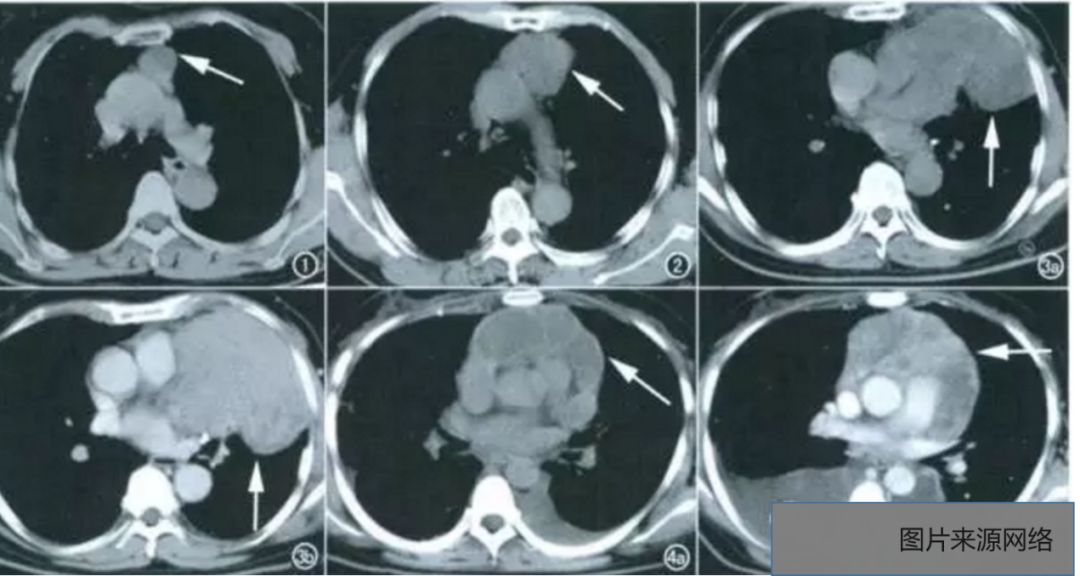
1.胸腺瘤
胸腺
胸腺瘤是前纵隔肿瘤最常见的原发性肿瘤,约占50%。
部位:前纵隔中部偏上。
形状:圆形或分叶状实性肿块。
密度:多均匀,可有坏死、钙化。
边缘:良性清楚,病变周围脂肪间隙存在;恶性不清,病变周围脂肪间隙,消失,胸腔及心包可有积液。
增强扫描:实性部分中等强化,坏死区不强化。
组织学分型:A型和AB型为良性肿瘤,B1型为低度恶性,B2型为中度恶性,B3型与胸腺癌均为高度恶性,侵袭性强。
图1胸腺瘤A;图2胸腺瘤AB;图3胸腺瘤B;图4胸腺癌
2.胸内甲状腺肿
甲状腺解剖结构
前纵隔上部多发,颈胸征;气管等周围结构受压移位;可随吞咽移动;平扫CT值较高,强化明显、时间长;可有钙化及囊变;可有内分泌异常症状。
甲状腺肿瘤影像学表现
3.畸胎瘤
部位:前纵隔实性肿物;
密度:不均,可有脂肪、钙化、牙齿及骨骼影;皮样囊肿为液性密度,可见蛋壳样钙化;
形状:圆形或类圆形,边缘光滑;良性多;恶性者呈边缘不清,可坏死,周围脂肪间隙消失;
CT、MRI多数可明确诊断。
畸胎瘤影像学表现
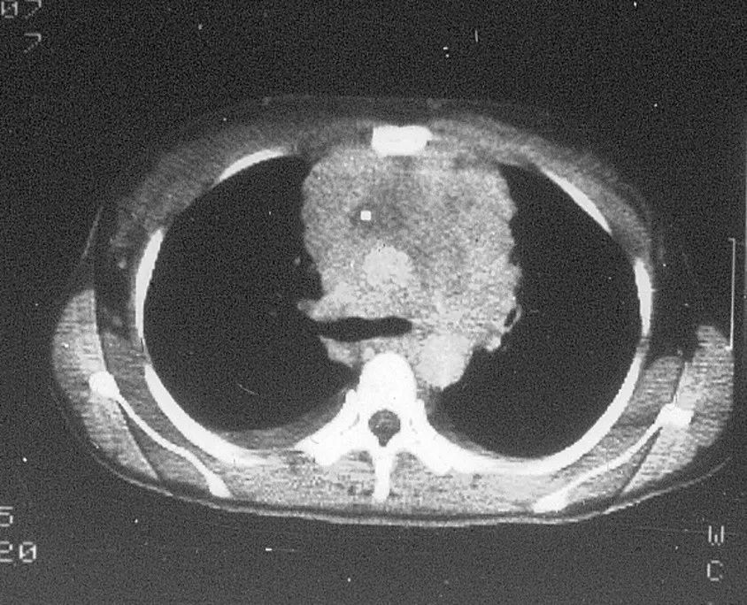
4.淋巴瘤
发生于淋巴结或节外淋巴组织的恶性肿瘤,分何杰金氏病(Hodgkin disease,又称霍奇金淋巴瘤)和非何杰金氏淋巴瘤(non-Hodgkin disease,又称非霍奇金淋巴瘤)。好发于前、中纵隔,多同时侵及多个淋巴结。
纵隔肺门多个淋巴结增大可融合成肿块,呈分叶状,向纵隔双侧突出,有时一侧明显,但很少为单侧。气管受压移位、变窄。可向肺内及胸膜、心包浸润,引起积液。中等强化。
淋巴瘤影像学表现
侵袭性胸腺瘤与恶性淋巴瘤鉴别要点
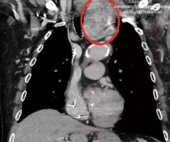
5.后纵隔肿瘤
神经源性肿瘤为后纵隔肿瘤中最常见者。
部位:好发于后上纵隔,侧位片上与脊柱重叠;
形状:多为圆形或椭圆形;
边缘:清楚锐利;
密度:均匀略低。
发生于椎间孔者,可压迫椎间孔使之扩大,并可压迫肋骨头及脊椎,产生边缘光滑的压迹,肿块呈哑铃状,一端在椎管内,另一端在纵隔内。可以产生神经压迫症状。恶性肿瘤呈分叶状,侵蚀邻近骨骼而发生破坏;神经母细胞瘤内可发生钙化;中度强化。
后纵隔肿瘤影像学表现
6.囊肿
包括支气管囊肿、食管囊肿、心包囊肿、囊状淋巴管瘤、胃肠源性囊肿、神经肠源性囊肿、胸导管囊肿(罕见)、脂肪瘤、纤维瘤、黄色瘤等。
各类囊肿都有一定的好发部位,如支气管囊肿多位于隆突下支气管旁与气管旁,心包囊肿多位于心膈角区,胸腺囊肿多位于前上纵隔胸腺部位,食管囊肿、神经肠源性囊肿与胸导管囊肿等多位于后纵隔。
支气管囊肿影像学表现
心包囊肿影像学表现
纵隔肿瘤与纵隔旁肺癌鉴别要点