
随着CT等影像检查的进步,越来越多的人在体检时被发现存在肺结节,因为担心肺结节转变成癌,很多人对这些结节一直提心吊胆。哪种肺结节最易转变成肺癌?今天,就带领大家,深度了解肺结节的分类!
肺结节分类
在薄层CT上,根据肺结节的密度大小,将肺结节分为以下三种:
1
纯磨玻璃结节
纯磨玻璃结节,影像表现像磨砂玻璃一样,看起来影像比较虚。
2
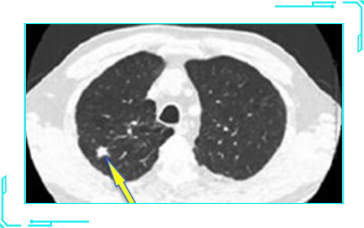
部分实性磨玻璃结节
部分实性磨玻璃结节就如同一个荷包蛋,磨玻璃成分类似其中的蛋清,而实性且密度较高的部分则类似蛋黄。
3
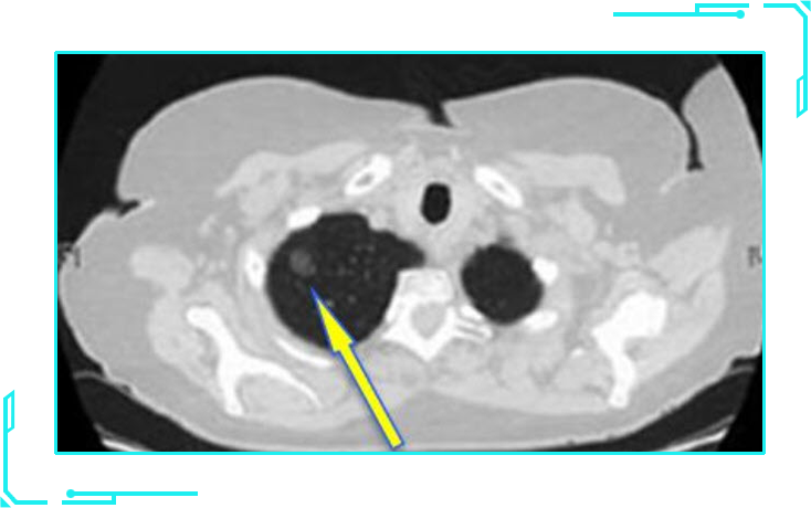
纯实性结节
纯实性结节类似于单独分离的蛋黄,是一个实性且密度较高的病灶。
发现肺部结节后怎么办?
一旦发现肺部结节,首先应到三甲医院复查薄层CT,并到医院的胸外科进行随诊。
小于一厘米的肺结节,整体恶性程度偏低,肺结节小于五毫米恶性程度为0%-1%,肺结节在11-20毫米之间,恶性程度为33%-64%,当肺结节大于20毫米时恶性程度为64%-82%。
发现肺结节后的随访策略
根据不同的结节类型,大小,需要遵循不同的复查随访策略:
如何进行肺结节复查?
如果要定期随访自己的肺结节情况,那么CT就是最好的复查手段。但门诊经常有病人对做CT检查心存顾忌,主要原因来自于CT的辐射。
CT和X线都存在一定的辐射,CT比X线辐射略大,所以备孕期、孕妇和婴幼儿应该尽量避免CT或X线检查。但成人一般一年做几次检查(10次以内)都是没有问题的,患者朋友应该调整好心态,配合检查。
各种CT该如何选择?
1
低剂量CT
目前证据显示,低剂量CT是筛查肺癌的有效手段,主要优点是辐射剂量小,其辐射剂量大约是普通CT的1/4左右。
2
普通CT平扫
普通CT平扫是目前临床应用最广的CT检查手段,绝大多数基层医院都有配备,普通CT平扫扫描的层距通常为8-10mm。低剂量CT和普通CT都常用作体检胸部检查,优点是检查快、设备要求低,缺点是层距过宽,可能造成小结节的漏诊。
3
高分辨CT
高分辨CT是指层距较小的CT,一般层距小于5mm,与常规CT相比,精度更高,分辨率更强,可以看清肺内细小结构,可用作肺结节特别是磨玻璃结节的随访。
4
肺结节薄层CT(首选)
肺结节薄层CT是放射科专门针对肺结节开设的检查项目,层距小于2mm,对肺结节的分辨率更高,还可以精确测定结节的密度,通过三维重建可精确测量结节的体积、与血管的关系、边缘等,有利于良恶性的判断,可用于肺结节的明确诊断及随访检查。
5
增强CT
一般肺结节不需要增强CT检查,但动态增强CT特别是结节动态增强CT对鉴别孤立性结节具有一定的意义,具体应由经验丰富的呼吸科医师或胸外科医师把握。
6
PET/CT
PET/CT主要可用于肺癌高危实性结节或部分实性结节的诊断,多个结节时还可为选择哪个结节进行活检提供参考意见,主要原理是肿瘤细胞具有较高的葡萄糖摄取和代谢,缺点是价格昂贵,不推荐作为肺结节的常规随访。
------------------------------------------------------------------------------------------------