
肺癌是全球最常见的恶性肿瘤之一,其死亡率位于第一位,外科手术是非小细胞肺癌(NSCLC)的重要治疗手段,其术后定期随访是早期发现和治疗肿瘤复发转移或第二原发肿瘤的有效方法,可提高患者的生活质量,改善预后。但是,很多肺癌术后的患者并不清楚该如何到医院进行术后定期随访……
1、随访的检查手段
手术后到医院门诊接受病史问诊及体格检查是疾病诊疗的基本要求,也是NSCLC患者术后复查随访的基本要求,有助于系统了解患者病情及初步发现是否有复发、淋巴结转移等变化。除此之外,还有一系列影像学检查和抽血化验也具有重要的临床意义。
01
肺癌肿瘤标记物便于对复发进行监测,且起着重要作用,故推荐患者每次随访均进行标志物复查监测。
02
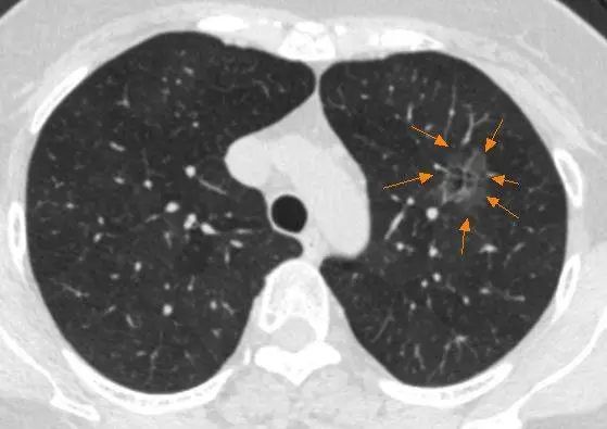
胸部CT是肺癌术后最常用的临床影像学复查手段,必要时可采用胸部增强CT。
03
在全身复查中,腹腔脏器、颅脑、骨骼作为全身远处转移的高发部位,其重要性不容忽视,应作为复查重点。腹部可采用CT平扫或B超进行检查;全身骨扫描可以发现可疑的骨骼病灶;NSCLC无症状脑转移患者越来越多地被发现,可能是因为颅脑磁共振成像(MRI)被越来越广泛地使用,故颅脑检查以增强 MRI 为佳。
04
全身正电子发射断层成像(PET)检查在无症状复发病灶诊断上有较高的敏感度及特异性。当一些良性病变(如肺不张、肺实变和放射性纤维化)在标准CT影像中难以与肿瘤区分时,全身PET-CT或PET-MR可以区分真正的恶性肿瘤,因此可根据患者病情、意愿、经济能力等做出选择。
05
支气管镜作为侵入性有创检查,不作为常规推荐,当患者病情变化或必要时可酌情选择,如出现术后肺不张、咯血或者术后病理提示支气管残端轻度不典型增生等。其它有创检查及细胞学检查,只有当其它影像学等无创检查无法明确病变时再择优选择。
06
肺功能检测可以作为术后肺功能剩余及锻炼恢复的检测指标。肺癌生活质量评分被越来越多的NSCLC随机对照试验纳入,在临床肿瘤学中变得越来越重要。
07
循环肿瘤细胞(circulating tumor cell,CTC)
循环肿瘤DNA(circulating tumor DNA,ctDNA)
液体活检
可能是NSCLC早期复发监测的有用指标,但仍限于临床研究阶段,因此不做为常规监测项目,我们期待更多的临床数据支持其预测复发的价值。
2、随访的方案建议
目前,手术是肺癌的主要治疗方式之一,术后根据其病理分期、高危因素、基因突变等因素决定其术后的辅助治疗方案,而不同的因素及其治疗方案对其术后复发模式存在一定的影响,需要采用不同策略的随访方案。
随访方案A、B、C
原位癌
目前对NSCLC原位癌的复发模式研究甚少,基于临床上原位癌复发频率较低。
推荐:
患者每年进行1次常规全身健康体检,以胸部普通平扫CT替代胸部X线片检查。
Ⅰ期(术后无需辅助治疗,驱动基因阴性)
早期NSCLC患者的手术方式主要包括楔形切除术、肺段切除术和肺叶切除术。在根治性手术后的前2年内,NSCLC复发的几率最大,尤其集中在手术后6~8个月和22~24个月,以胸部为主,其次是脑、骨骼和肾上腺。而且不论 NSCLC 的分期或者有无基因突变,全身多发转移的概率依然不低,故适当的全身复查也是有必要的。
推荐:
①前2年每6个月随访1次,每年第1个6个月方案A,第2个6个月方案B;
②第2年后每1年随访1次,每年方案B。病情变化及必要时可加做方案C。
Ⅱ期、ⅢA 期、ⅢB 期(T3N2M0)
(术后需辅助治疗,驱动基因阴性)
NSCLC 随着分期越往后,肿瘤的复发转移概率随之升高,复发时间也相应缩短,尤其接受辅助化疗以后肿瘤复发转移的各部位概率都可能发生变化,脑和骨转移危险率曲线分别在9~27个月和15~30个月出现峰值。
推荐:
①前2年每3个月随访1次,每年前3个3个月方案A,第4个3个月方案B;
②第3~4年每6个月随访1 次,每年第1个6个月方案A,第 2个6个月方案B;
③第4年后每1年随访1次,每年方案B。病情变化及必要时可加做方案C。
Ⅰ期(术后无需辅助治疗,EGFR突变阳性)
肺腺癌分为3种亚型:低度恶性亚型(贴壁为主型腺癌)、中度恶性亚型(乳头状或腺泡状腺癌)和高度恶性亚型(实性或微乳头状腺癌)。对于I期中度和低度恶性亚型患者,不管表皮生长因子受体(EGFR)突变与否,一般无需进行术后辅助治疗,无需增加其随访频率。
推荐:
同Ⅰ期(术后无需辅助治疗,驱动基因阴性)随访方案。
术后需辅助治疗,EGFR 突变阳性
EGFR阳性接受酪氨酸激酶抑制剂(tyrosine kinase inhibitors,TKI)辅助治疗的患者与接受辅助化疗的患者术后复发的模式存在差异:TKI辅助治疗转移部位最常见于中枢神经系统,高峰期在24~36个月;辅助化疗最常见的是颅外转移,高峰期在9~15个月;而 TKI 辅助治疗颅外转移高峰期在24~30个月,辅助化疗颅内转移高峰期在12~18个月。为了提高术后复查的检出率及延长患者生存时间,可将两者综合考虑拟出更全面的复查方案。
推荐:
①前3年每3个月随访1次,每年前3个3个月方案A,第4个3个月方案B;
②第4~6年每6个月随访1次,每年第1个6个月方案A,第2个6个月方案B;
③第6年后每1年随访1次,每次方案B。病情变化及必要时可加做方案C。
ALK及其它少见突变
EGFR、间变性淋巴瘤激酶(ALK)、鼠类肉瘤病毒癌基因(KRAS)突变患者常见转移部位与驱动基因阴性患者类似,均为胸部、颅脑、骨骼和腹部。ALK及其它少见突变总体上对NSCLC患者表现出较差的预后,故在复查随访时应适当增加随访频率及部位。
推荐:
①术后无需辅助治疗:在Ⅰ期(术后无需辅助治疗,驱动基因阴性)基础上适当增加随访频率;
②术后需辅助治疗:同EGFR阳性,术后需辅助治疗的随访方案。
3、其他
患者在随访期间出现的任何不适都应及时就诊,以免延误病情。在随访中若发现病情进展则按病情需要进一步检查治疗。我们也期待有更多的临床研究结果,来进一步完善术后随访策略,最终转化为患者的生存获益。
参考来源:
[1] 刘伦旭,高树庚,何建行,胡坚,葛棣,李鹤成,康明强,谭锋维,蔡开灿.非小细胞肺癌术后随访中国胸外科专家共识[J].中国胸心血管外科临床杂志,2021,28(01):4-10.
赵宏波 中国医学科学院肿瘤医院深圳医院胸外科副主任医师,外科教研室秘书。
从事胸部肿瘤的外科治疗近二十年,临床经验非常丰富,已主刀完成各科胸部手术4500余例。擅长肺癌、肺小结节、食管癌、贲门癌和纵膈肿瘤等的微创外科治疗和各种疑难手术治疗。国家卫健委“笹川奖学金”获得者,以“高级访问学者”身份在日本国立癌症中心研修,取得日本临床修炼医资格并主刀手术。兼任世界华人肿瘤医师协会胸部肿瘤专业委员会青年委员兼副秘书长、广东省抗癌协会食管癌专业委员会委员、广东省医师协会胸外科分会委员、广东省医师协会胸外科分会快速康复学组委员等职。国内外核心期刊发表论文9篇,主持完成市级科研攻关项目1项,主持在研白求恩科研基金1项。
师从日本国立癌症中心胸外科日月裕司教授,亲自动手开展临床工作。