骨软骨瘤,医学上称为骨软骨外生骨疣(Osteochondroma),是一种在骨骼生长板附近的良性骨肿瘤。它由骨性基底和其上的软骨帽组成,通常单发,但也可能多发,后者常见于一种称为多发性骨软骨瘤病的遗传性疾病中。
发病机制: 骨软骨瘤的确切病因尚未完全阐明,但普遍认为它与骨骼生长过程中的局部生长异常有关。在儿童和青少年的生长高峰期,骨软骨瘤可能随着骨骼的快速生长而增大。
临床表现: 大多数骨软骨瘤无症状,可能在X线检查中偶然发现。然而,当肿瘤较大或位于关键解剖位置时,可能对周围结构产生压迫,导致疼痛、神经刺激症状、血管受压或关节活动受限。在极少数情况下,骨软骨瘤可能会恶变为软骨肉瘤,尤其是当肿瘤迅速增大或出现疼痛时。
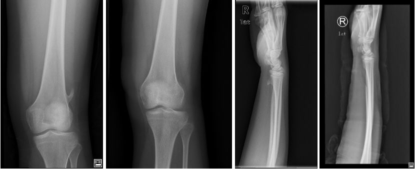
诊断方法: 骨软骨瘤的诊断主要依赖影像学检查。X线片可以显示肿瘤的骨性基底和软骨帽,而MRI则有助于评估肿瘤的软组织成分,尤其是在症状明显或疑似恶变时。CT扫描也可以提供关于肿瘤骨性结构的详细信息。
治疗策略: 治疗骨软骨瘤的策略需个体化,并非所有患者均需要手术。手术时需要考虑的因素包括:①肿瘤的大小、位置、生长速度;②是否引起明显临床症状或并发症。而对于无症状的小骨软骨瘤,通常采取观察等待的非干预策略,定期进行影像学检查以监测肿瘤的变化即可。
手术治疗: 对于症状性骨软骨瘤或有恶变风险的肿瘤,手术切除是主要的治疗手段。手术不仅能够去除病灶,还能缓解由肿瘤引起的症状和功能障碍。手术方法包括肿瘤切除术和在某些情况下可能需要的重建手术。

术后管理: 术后患者需进行适当的物理治疗以恢复关节活动度和肌肉力量。定期的随访包括临床检查和影像学评估,以监测肿瘤的复发或恶变。
预后考量: 大多数骨软骨瘤的预后良好,手术切除后复发率低。然而,对于多发性骨软骨瘤病患者,由于肿瘤数量多,监测和治疗更为复杂。
总结: 骨软骨瘤是一种相对常见的良性骨肿瘤,其管理依赖于肿瘤的临床行为和患者的症状。对于无症状的小骨软骨瘤,观察等待是合理的选择;而对于症状性或有恶变风险的肿瘤,手术切除配合术后康复和定期随访是确保患者长期健康的关键。