长骨内生性软骨瘤与原发性软骨肉瘤
软骨性肿瘤是常见的骨肿瘤,其中内生软骨瘤发生于髓腔内,约占良性骨肿瘤的10%~25%,最常累及手足的短管状骨,其次为长骨。软骨肉瘤是最常见的骨原发性恶性肿瘤,约占恶性骨肿瘤的20%,最常累及骨盆( 如髂骨),发生于手足短管状骨的极少见[1]。由于软骨肉瘤和内生性软骨瘤均可发生在长骨,且两者的治疗原则不同,所以在临床中正确鉴别两种疾病很有必要性。我们可以通过以下三个方面对其进行鉴别:
临床特征
两者的好发部位不同:内生性软骨瘤是位于髓腔内的软骨性肿瘤,多发生于手足短管状骨,其次发生于长骨。而软骨肉瘤是发生于骨的恶性成软骨性肿瘤,最常累及骨盆,其次累及长骨。
两者的好发年龄不同:软骨肉瘤患者年龄往往较内生软骨瘤者偏大。
两者临床表现不同:软骨肉瘤患者会有疼痛症状,而内生性软骨瘤常无症状,大多数是偶然发现或骨折后就诊发现。
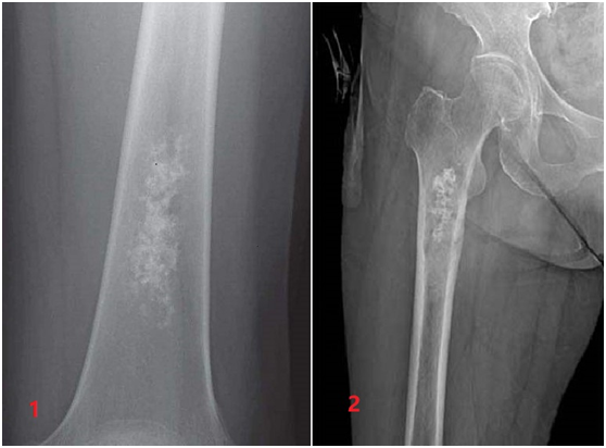
影像学特征
软骨肉瘤表现为皮质膨胀、侵蚀、破坏,病变界限不清,边缘模糊,呈云絮状密度(图1)。内生软骨瘤表现为边界清楚的髓腔内圆形或卵圆形病灶,密度不均,呈爆米花样,见矿化点,无皮质膨胀、增厚、破坏及软组织包块(图2)。

病理学特征
目前应用的软骨肉瘤分级系统将其分为3级[2],Ⅱ级以及Ⅲ级软骨肉瘤与内生性软骨瘤通过组织形态学鉴别不难,但Ⅰ级软骨肉瘤与内生性软骨瘤形态学具有相似性,通过细胞学难以鉴别,主要鉴别依据来源于二者的生物学行为。与软骨肉瘤相比较,内生软骨瘤呈非浸润性生长:①“软骨岛”形成(图3)。低倍镜下,肿瘤性软骨形成相对独立的软骨结节,由正常或相对正常的宿主板层骨和骨髓组织分隔。②呈现良性软骨瘤独特的包绕方式,即良性肿瘤性软骨周围部分或完全由宿主骨包绕。软骨肉瘤则可以侵入骨髓腔,可完全替代骨髓组织,并见其浸润并包围正常宿主骨小梁[3]。

治疗与预后
内生软骨瘤多采用病灶刮除术,而软骨肉瘤对放、化疗不敏感,目前主要进行手术治疗,二者的预后与手术方式及切除范围密切相关。
总之,对于Ⅰ级软骨肉瘤与内生性软骨肉瘤通过简单的形态学难以加以区分,需要结合临床资料、影像学检查、病理检查来综合分析,最终作出正确诊断。
参考文献
[1]Lee F. Y., H. J. Mankin, G. Fondren, et al. Chondrosarcoma of bone: an assessment of outcome. J Bone Joint Surg Am, 1999, 81(3): 326-338.
[2]Ishida T., F. Kikuchi and R. Machinami. Histological grading and morphometric analysis of cartilaginous tumours. Virchows Arch A Pathol Anat Histopathol, 1991, 418(2): 149-155.
[3]Urist M. R., F. th Earnest, K. M. Kimball, et al. Bone morphogenesis in implants of residues of radioisotope labelled bone matrix. Calcif Tissue Res, 1974, 15(4): 269-286.

微信号 华西骨与软组织肿瘤治疗中心