只要你活着,或早或晚,都会碰上这个问题——牙龈出血。在中国,35-44岁中年人的牙龈出血检出率为87.4%。
如果任其发展下去,结果很可能是牙齿脱落——中国65-74岁老人中,牙齿缺失比例高达86%。
2017年9月,卫计委发布了第四次全国口腔健康流行病学调查,公布了这组数字。
“通过这一次流调,口腔医学工作者也在反思,为什么会出现中年人群口腔牙周情况较差的状况。这么多年来,开展大众口腔健康教育,很重视青少年儿童这一块,而对中年人群不够重视,加上中年人群因为各种各样的工作压力、社会环境,自身重视得也不够。所以,今后我们要在中年人群下一点功夫。”
——中华口腔医学会第五届理事会名誉会长王兴
牙科医生也常常吐槽:想说服一个人做口腔检查太困难,对方会觉得你就是想赚他的钱。
确实,在大多数人的观念里,牙龈出血、牙龈肿痛、口腔溃疡压根儿不是病,只是“上火”的表现。即便已经不堪其扰,依旧只是个小问题。就如同冬天手背皲裂,不是什么大事,买护手霜来擦就好了;牙龈出血,不是什么大事,买能“治”它的牙膏来用就好了。
在中国就有这样一款牙膏,十多年前甫一问世,标价就高达20多元。在米线才卖2元一碗的年代,以势如破竹的姿态,迅速撬开了市场。它的名字对国人来说,如雷贯耳:云南白药牙膏。

相比海报,你一定更熟悉这一种画风:
民族品牌,“良心”牙膏
这支牙膏到底有多好用?
看看超市里那琳琅满目的牙膏货架,一定有一片格外显眼的蔚蓝色海洋属于它。这支牙膏一年内能卖出上亿盒,年销售额超40亿元。
再来看看广告里的云南白药牙膏,简直无所不能:
2005年,刚进入牙膏市场的云南白药,被定位为一款“全效牙膏”,主打治疗牙龈出血、口腔溃疡、牙龈肿痛、牙龈萎缩、牙龈炎、牙周炎、口臭、蛀牙等口腔问题。一上市便开启了一轮轮紧锣密鼓的营销造势。


这些广告在上市初期迅速提升了牙膏的销量。当时也有质疑的声音:制药公司涉足日化领域,会不会是门外汉?
但在一轮轮成功的营销之下,云南白药巧妙地将“跨界”这一劣势扭转为优势——医药科技的背景加持,顶着“国家机密”、“民族骄傲”这样的光环,创造出一个不同于普通牙膏的新品类——“非传统口腔全能保健牙膏”,巧妙地将自己的调性和竞品区分开来。
医生实名diss云南白药牙膏

近日,科普医生博雅称,云南白药牙膏的主要成分中含有氨甲环酸,这种药物主要作用是止血凝血。云南白药中草药牙膏的止血功能是因为加入了西药成分。
事情的起因是在一个购物活动中。当博雅医生在购买牙膏时,意外发现云南白药牙膏的配方表里,赫然写着“氨甲环酸”四个大字。并指出,这是血液科医生常用的止血药,并且还是处方药。

独立评论人、《人生三段论》作者老徐时评称,这是挂羊头卖狗肉式的虚假或者误导式的宣传。
牙龈出血是牙周病,应该去看牙医,而不是用带止血药的牙膏。血是止住了,但你的牙周病还在继续,停用了带止血的牙膏,你还是会继续出血,长期用可能还会耽误口腔疾病的治疗。这件事给中医养生保健和中草药产品的宣传推广敲响了警钟。

《心外传奇》作者李清晨说,并不是说云南白药加了氨甲环酸它就有效就能用了,手术过程中氨甲环酸不能轻易用。要是你的牙龈出血都已经到了需要用氨甲环酸的地步了,你早该去看牙医去了。
《心外传奇》作者李清晨微博截图

这到底是怎么一回事?
氨甲环酸:处方药,有止血效果
去过医院或药店买药的朋友应该都知道,我们能在药店买到的,都是非处方药,而处方药是必须凭执业医师或执业助理医师处方才可调配、购买和使用的药品。

我们不一样,我们贵得有理由
从宣传来看,云南白药牙膏就是牙龈出血、牙龈肿痛、口腔溃疡等常见口腔问题的解药。这三大口腔问题加起来几乎覆盖了全国人民,需求量大且迫切,如果花20多块钱就能解决困扰多年的口腔问题,消费者当然愿意买单。
我们再来看消费者的观点。
随便点开一个云南白药牙膏的淘宝链接,你就能看到这种评价:


图片来源:天猫
消费者对这款牙膏的功效深信不疑。
这么看来,云南白药牙膏几乎实现了全国65000名注册牙医的梦想——让老百姓免受牙周疾病的困扰。
你的牙龈究竟为何出血?
牙龈出血是由牙周病引起的牙龈病理状态,这是牙医们都知道的常识。它对于牙齿的破坏极大,是导致牙齿松动、脱落的元凶。人们常说的“老掉牙”其实并不科学,掉牙不是因为上了年纪,而是牙周病长期发展造成的。

引起牙周炎的罪魁祸首是牙菌斑和牙结石。大量实验研究、流行病学资料和临床观察早已证明:只有清除牙结石、控制牙菌斑,才能治疗牙周病。
刷牙、任何牙膏绝对不可能根除牙结石和牙菌斑。
想要治好牙龈出血,只有通过洗牙,清除掉牙齿上的菌斑结石,牙龈恢复健康,当然就不会再出血。如果是重度牙周炎,还需要进行龈下刮治或根面平整,清除牙龈里面的结石,再通过药物或牙周手术处理牙周袋。
问题出现了:牙周炎是牙周支持组织(牙龈、牙周膜、牙槽骨和牙骨质)的慢性炎症,一般在早期只会出现刷牙出血、牙龈红肿疼痛、口臭等症状。牙周炎可以伴随你数十年,大部分时间里无痛无痒,很多人误以为这是“牙龈上火”。

写到这里你一定明白了,掩盖牙龈出血,就是在耽误治疗时间。
回头来看,云南白药牙膏的原理就很简单了——用止血剂控制出血。
“你看,我们确实把血给止住了。”

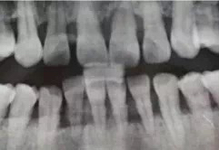
牙周炎有多可怕?
这位中年女士因为牙周炎导致许多牙齿晃得厉害,平日咀嚼都成问题,实在疼得受不了才来看牙。

牙龈萎缩,牙齿松动
朋友早就建议她洗牙,她不敢,怕洗出血,洗完牙缝变大、牙齿松动。
这么严重的患者并不少见——牙医在对抗牙病的道路上,一口牙一口牙地洗;被牙周病迫害的患者,仍旧一个一个地来。
如果十多年前没有云南白药牙膏那些铺天盖地的广告,耽误治疗的患者,大概会少一些。


云南白药牙膏现任代言人:黄X明、井X然
洗牙清除牙结石,预防牙周炎

牙结石/牙菌斑大多数都长在牙齿靠近牙龈的地方,这些位置刷牙是刷不到,而且牙结石非常牢固,牙刷也刷不掉。同时牙结石/牙菌斑本身多孔,如何海绵一样吸纳大量细菌毒素,引起牙周炎症,使得牙龈脆弱,导致水肿出血。
而洗牙就是去除龈上牙结石/牙菌斑最有效的办法。
洗牙清除了牙结石/牙菌斑,抵制细菌蔓延,使得口腔环境变好,能有效地防治了口腔疾病的发生。
洗牙也是最省钱口腔检查。
我们先来算下 洗牙,大概在300-400元左右~ 每年洗个1-2次,最多也就七八百;如果不愿意花这个钱,最后补牙啦、牙周治疗、甚至种植牙都要上万了~
有些盆友可能觉得洗牙太贵,囊中羞涩,或者平时太忙没时间,一直持观望态度,迟迟不肯去医院。
而洗牙不仅可以清除牙结石,清新口气,还能全面检查口腔状况,蛀牙什么牙齿疾病早发现早治疗!